EpCAM Rabbit Polyclonal Antibody
cat.: ER1802-80
Product Type: Rabbit polyclonal IgG, primary antibodies
Species reactivity: Human, Mouse, Rat
Applications: WB, IHC-P
Clonality: Polyclonal
Form: Liquid
Storage condition: Shipped at 4℃. Store at +4℃ short term (1-2 weeks). It is recommended to aliquot into single-use upon delivery. Store at -20℃ long term.
Storage buffer: 1*PBS (pH7.4), 0.2% BSA, 50% Glycerol. Preservative: 0.05% Sodium Azide.
Concentration: 1ug/ul
Purification: Immunogen affinity purified.
Molecular weight: Predicted band size: 35 kDa
Isotype: IgG
Immunogen: Synthetic peptide within human EpCAM aa 90-180.
Positive control: Mouse colon tissue lysate, LOVO, MCF-7, rat epididymis tissue, human colon cancer tissue, mouse small intestine tissue.
Subcellular location: Cell junction, Plasma membrane.
Recommended Dilutions:
  WB
  IHC-P

1:500
1:50-1:200
Uniprot #: SwissProt: P16422 Human | Q99JW5 Mouse | O55159 Rat
Alternative names: 17 1A 323/A3 Adenocarcinoma associated antigen Adenocarcinoma-associated antigen Antigen identified by monoclonal AUA1 AUA1 CD326 CD326 antigen Cell surface glycoprotein Trop 1 Cell surface glycoprotein Trop 2 Cell surface glycoprotein Trop-1 CO 17A CO17 1A CO17A DIAR5 EGP 2 EGP EGP2 EGP314 EGP40 Ep CAM Ep-CAM EPCAM EPCAM_HUMAN EpCAM1 Epithelial cell adhesion molecule Epithelial Cell Adhesion Molecule Intracellular Domain (EpCAM-ICD) Epithelial cell surface antigen Epithelial cellular adhesion molecule Epithelial glycoprotein 1 Epithelial glycoprotein 314 Epithelial glycoprotein ESA GA733 1 GA733 2 GA733-2 gastrointestinal tumor-associated antigen 2, 35-KD glycoprotein gp4 hEGP 2 hEGP314 HNPCC8 Human epithelial glycoprotein 2 KS 1/4 antigen KS1/4 KSA Ly74 Lymphocyte antigen 74 M1S 1 M1S2 M4S1 Major gastrointestinal tumor associated protein GA733 2 Major gastrointestinal tumor-associ......
Images
ER1802-80_1.jpg Fig1: Western blot analysis of EpCAM on mouse colon tissue lysate using anti-EpCAM antibody at 1/500 dilution.
ER1802-80_2.jpg Fig2: Immunohistochemical analysis of paraffin-embedded rat epididymis tissue using anti-EpCAM antibody. Counter stained with hematoxylin.
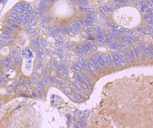
ER1802-80_3.jpg Fig3: Immunohistochemical analysis of paraffin-embedded human colon cancer tissue using anti-EpCAM antibody. Counter stained with hematoxylin.
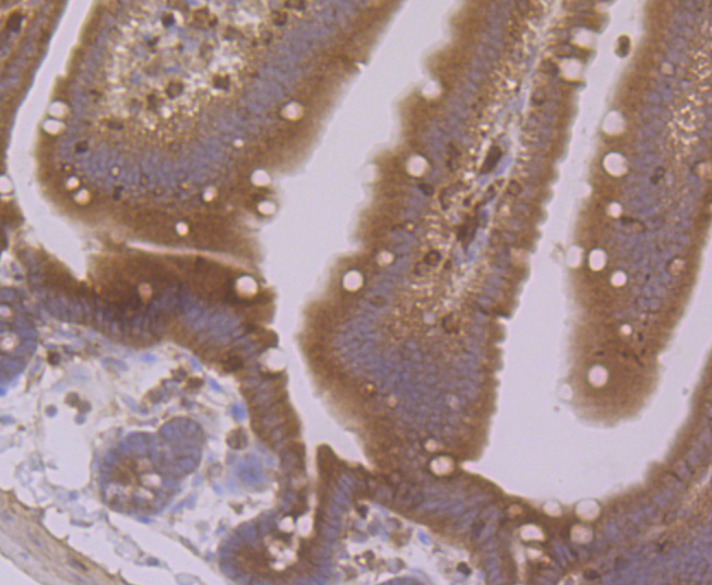
ER1802-80_4.jpg Fig4: Immunohistochemical analysis of paraffin-embedded mouse small intestine tissue using anti-EpCAM antibody. Counter stained with hematoxylin.
Note: All products are “FOR RESEARCH USE ONLY AND ARE NOT INTENDED FOR DIAGNOSTIC OR THERAPEUTIC USE”.