Fibrillarin Rabbit Polyclonal Antibody
cat.: ER1802-81
Product Type: Rabbit polyclonal IgG, primary antibodies
Species reactivity: Human, Mouse
Applications: WB, FC, IHC-P, IF-Tissue
Clonality: Polyclonal
Form: Liquid
Storage condition: Shipped at 4℃. Store at +4℃ short term (1-2 weeks). It is recommended to aliquot into single-use upon delivery. Store at -20℃ long term.
Storage buffer: 1*PBS (pH7.4), 0.2% BSA, 50% Glycerol. Preservative: 0.05% Sodium Azide.
Concentration: 1ug/ul
Purification: Immunogen affinity purified.
Molecular weight: Predicted band size: 34 kDa
Isotype: IgG
Immunogen: Synthetic peptide within Human Fibrillarin aa 272-321 / 321.
Positive control: Hela cell lysate, HepG2 cell lysate, 293T cell lysate, NIH-3T3 cell lysate, HL-60, human tonsil tissue, mouse liver tissue.
Subcellular location: Nucleus.
Recommended Dilutions:
  WB
  FC
  IHC-P
  IF-Tissue

1:500-1:1,000
1:50-1:100
1:200-1:1,000
1:50-1:1,000
Uniprot #: SwissProt: P22087 Human | P35550 Mouse
Alternative names: 34 kD nucleolar scleroderma antigen 34 kDa nucleolar scleroderma antigen Fbl FBRL_HUMAN FIB FIB1 FLRN Histone-glutamine methyltransferase Nop1p RNA U3 small nucleolar interacting protein 1 RNU3IP1 rRNA 2' O methyltransferase fibrillarin rRNA 2'-O-methyltransferase fibrillarin
Images
ER1802-81_1.jpg Fig1: Western blot analysis of Fibrillarin on different cell lysates using anti-Fibrillarin antibody at 1/1,000 dilution.
Positive control:
Lane 1: Hela cell lysate
Lane 2: HepG2 cell lysate
Lane 3: 293T cell lysate
Lane 4: NIH-3T3 cell lysate
ER1802-81_2.jpg Fig2: Flow cytometric analysis of HL-60 cells with Fibrillarin antibody at 1/100 dilution (red) compared with an unlabelled control (cells without incubation with primary antibody; black). Alexa Fluor 488-conjugated goat anti-rabbit IgG was used as the secondary antibody.
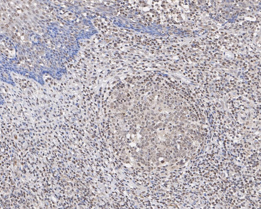
ER1802-81_3.jpg Fig3: Immunohistochemical analysis of paraffin-embedded human tonsil tissue with Rabbit anti-Fibrillarin antibody (ER1802-81) at 1/200 dilution.

The section was pre-treated using heat mediated antigen retrieval with sodium citrate buffer (pH 6.0) for 2 minutes. The tissues were blocked in 1% BSA for 20 minutes at room temperature, washed with ddH2O and PBS, and then probed with the primary antibody (ER1802-81) at 1/200 dilution for 1 hour at room temperature. The detection was performed using an HRP conjugated compact polymer system. DAB was used as the chromogen. Tissues were counterstained with hematoxylin and mounted with DPX.
ER1802-81_4.jpg Fig4: Immunohistochemical analysis of paraffin-embedded mouse liver tissue with Rabbit anti-Fibrillarin antibody (ER1802-81) at 1/1,000 dilution.

The section was pre-treated using heat mediated antigen retrieval with sodium citrate buffer (pH 6.0) for 2 minutes. The tissues were blocked in 1% BSA for 20 minutes at room temperature, washed with ddH2O and PBS, and then probed with the primary antibody (ER1802-81) at 1/1,000 dilution for 1 hour at room temperature. The detection was performed using an HRP conjugated compact polymer system. DAB was used as the chromogen. Tissues were counterstained with hematoxylin and mounted with DPX.
ER1802-81_5.jpg Fig5: Immunofluorescence analysis of paraffin-embedded human tonsil tissue labeling Fibrillarin with Rabbit anti-Fibrillarin antibody (ER1802-81) at 1/50 dilution.

The section was pre-treated using heat mediated antigen retrieval with sodium citrate buffer (pH 6.0) for 2 minutes. The tissues were blocked in 10% negative goat serum for 1 hour at room temperature, washed with PBS, and then probed with the primary antibody (ER1802-81, green) at 1/50 dilution overnight at 4 ℃, washed with PBS. Goat Anti-Rabbit IgG H&L (iFluor™ 488, HA1121) was used as the secondary antibody at 1/1,000 dilution. Nuclei were counterstained with DAPI (blue).
ER1802-81_6.jpg Fig6: Immunofluorescence analysis of paraffin-embedded mouse liver tissue labeling Fibrillarin with Rabbit anti-Fibrillarin antibody (ER1802-81) at 1/1,000 dilution.

The section was pre-treated using heat mediated antigen retrieval with sodium citrate buffer (pH 6.0) for 2 minutes. The tissues were blocked in 10% negative goat serum for 1 hour at room temperature, washed with PBS, and then probed with the primary antibody (ER1802-81, green) at 1/1,000 dilution overnight at 4 ℃, washed with PBS. Goat Anti-Rabbit IgG H&L (iFluor™ 488, HA1121) was used as the secondary antibody at 1/1,000 dilution. Nuclei were counterstained with DAPI (blue).
Note: All products are “FOR RESEARCH USE ONLY AND ARE NOT INTENDED FOR DIAGNOSTIC OR THERAPEUTIC USE”.