Connexin 43 Rabbit Polyclonal Antibody
cat.: ER1802-88
Product Type: Rabbit polyclonal IgG, primary antibodies
Species reactivity: Human, Mouse
Applications: WB, IHC-P, FC
Clonality: Polyclonal
Form: Liquid
Storage condition: Store at +4℃ after thawing. Aliquot store at -20℃. Avoid repeated freeze / thaw cycles.
Storage buffer: 1*PBS (pH7.4), 0.2% BSA, 50% Glycerol. Preservative: 0.05% Sodium Azide.
Concentration: 1ug/ul
Purification: Immunogen affinity purified.
Molecular weight: 43 kDa
Isotype: IgG
Immunogen: Synthetic peptide within C-terminal human Connexin 43.
Positive control: Mouse testis tissue lysate, human skin tissue, human heart tissue, mouse brain tissue, SH-SY-5Y.
Subcellular location: Plasma membrane. Endoplasmic reticulum. Gap junction.
Recommended Dilutions:
  WB
  IHC-P
  FC

1:500-1:2,000
1:50-1:200
1:50-1:200
Uniprot #: SwissProt: P17302 Human | P23242 Mouse
Alternative names: Connexin 43 Connexin-43 Cx 43 Cx43 CXA1_HUMAN DFNB38 Gap junction 43 kDa heart protein Gap junction alpha-1 protein Gap junction protein alpha 1 43kDa (connexin 43) Gap junction protein alpha 1 43kDa Gap junction protein alpha like GJA 1 Gja1 GJAL ODD ODDD ODOD SDTY3
Images
ER1802-88_1.jpg Fig1: Western blot analysis of Connexin 43 on mouse testis tissue lysate using anti-Connexin 43 antibody at 1/2,000 dilution.
ER1802-88_2.jpg Fig2: Immunohistochemical analysis of paraffin-embedded human skin tissue using anti-Connexin 43 antibody. Counter stained with hematoxylin.
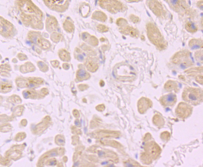
ER1802-88_3.jpg Fig3: Immunohistochemical analysis of paraffin-embedded human heart tissue using anti-Connexin 43 antibody. Counter stained with hematoxylin.
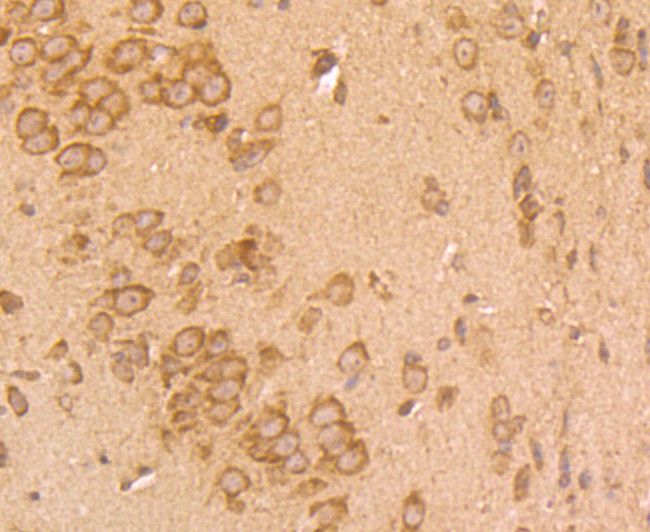
ER1802-88_4.jpg Fig4: Immunohistochemical analysis of paraffin-embedded mouse brain tissue using anti-Connexin 43 antibody. Counter stained with hematoxylin.
ER1802-88_5.jpg Fig5: Flow cytometric analysis of SH-SY-5Y cells with Connexin 43 antibody at 1/50 dilution (purple) compared with an unlabelled control (cells without incubation with primary antibody; yellow). Alexa Fluor 488-conjugated goat anti-rabbit IgG was used as the secondary antibody.
Note: All products are “FOR RESEARCH USE ONLY AND ARE NOT INTENDED FOR DIAGNOSTIC OR THERAPEUTIC USE”.