 
	            	| Product Type: | Rabbit polyclonal IgG, primary antibodies | 
|---|---|
| Species reactivity: | Human, Mouse, Rat | 
| Applications: | IF-Cell, IHC-P, FC | 
| Clonality: | Polyclonal | 
| Form: | Liquid | 
| Storage condition: | Shipped at 4℃. Store at +4℃ short term (1-2 weeks). It is recommended to aliquot into single-use upon delivery. Store at -20℃ long term. | 
| Storage buffer: | 1*PBS (pH7.4), 0.2% BSA, 50% Glycerol. Preservative: 0.05% Sodium Azide. | 
| Concentration: | 1ug/ul | 
| Purification: | Immunogen affinity purified. | 
| Molecular weight: | Predicted band size: 67 kDa | 
| Isotype: | IgG | 
| Immunogen: | Synthetic peptide within Human TAK1 aa 560 to the C-terminus. | 
| Positive control: | MCF-7, N2A, SH-SY-5Y, rat brain tissue, human breast tissue, mouse prostate tissue, K562. | 
| Subcellular location: | Cell membrane, Cytoplasm, Membrane. | 
| Recommended Dilutions: IF-Cell IHC-P FC | 1:50-1:200 1:50-1:200 1:50-1:100 | 
| Uniprot #: | SwissProt: O43318 Human | Q62073 Mouse | P0C8E4 Rat | 
| Alternative names: | M3K7_HUMAN MAP3K 7 Map3k7 MEKK7 Mitogen activated protein kinase kinase kinase 7 Mitogen-activated protein kinase kinase kinase 7 TAK1 TGF beta activated kinase 1 TGF-beta-activated kinase 1 TGF1a Transforming growth factor beta activated kinase 1 Transforming growth factor-beta-activated kinase 1 | 
|   | Fig1: ICC staining TAK1 in MCF-7 cells (green). The nuclear counter stain is DAPI (blue). Cells were fixed in paraformaldehyde, permeabilised with 0.25% Triton X100/PBS. | 
|   | Fig2: ICC staining TAK1 in N2A cells (green). The nuclear counter stain is DAPI (blue). Cells were fixed in paraformaldehyde, permeabilised with 0.25% Triton X100/PBS. | 
|   | Fig3: ICC staining TAK1 in SH-SY-5Y cells (green). The nuclear counter stain is DAPI (blue). Cells were fixed in paraformaldehyde, permeabilised with 0.25% Triton X100/PBS. | 
|   | Fig4: Immunohistochemical analysis of paraffin-embedded rat brain tissue using anti-TAK1 antibody. Counter stained with hematoxylin. | 
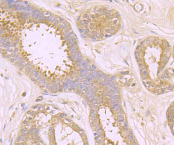
|   | Fig5: Immunohistochemical analysis of paraffin-embedded human breast tissue using anti-TAK1 antibody. Counter stained with hematoxylin. | 
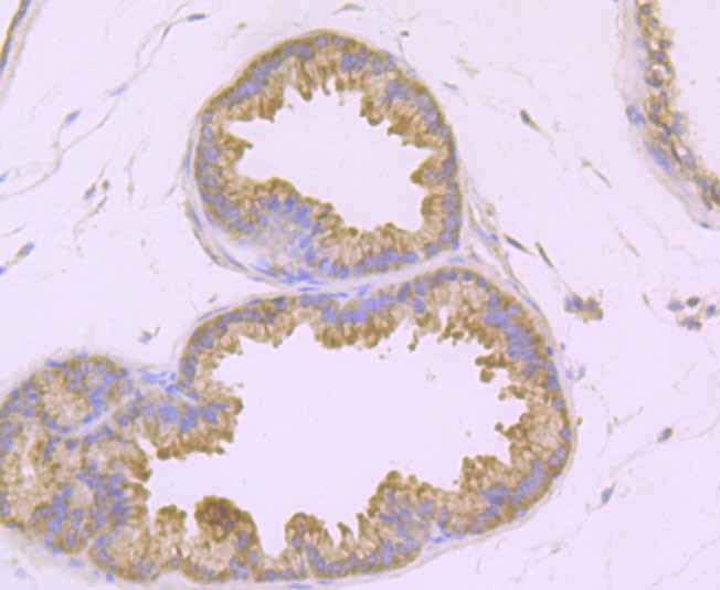
|   | Fig6: Immunohistochemical analysis of paraffin-embedded mouse prostate tissue using anti-TAK1 antibody. Counter stained with hematoxylin. | 
|   | Fig7: Flow cytometric analysis of K562 cells with TAK1 antibody at 1/100 dilution (red) compared with an unlabelled control (cells without incubation with primary antibody; black). Alexa Fluor 488-conjugated goat anti-rabbit IgG was used as the secondary antibody. |