Antithrombin III / ATIII / SERPINC1 Rabbit Polyclonal Antibody
cat.: ER1803-06
Product Type: Rabbit polyclonal IgG, primary antibodies
Species reactivity: Human, Mouse, Rat
Applications: WB, IF-Cell, IHC-P, FC
Clonality: Polyclonal
Form: Liquid
Storage condition: Shipped at 4℃. Store at +4℃ short term (1-2 weeks). It is recommended to aliquot into single-use upon delivery. Store at -20℃ long term.
Storage buffer: 1*PBS (pH7.4), 0.2% BSA, 50% Glycerol. Preservative: 0.05% Sodium Azide.
Concentration: 1ug/ul
Purification: Immunogen affinity purified.
Molecular weight: 53 kDa
Isotype: IgG
Immunogen: Recombinant protein within Human SERPINC1 aa 150-370 / 464.
Positive control: HepG2, mouse smooth muscle tissue, mouse lung tissue, H22, rat kidney tissue, human liver tissue, human small intestine tissue.
Subcellular location: Secreted.
Recommended Dilutions:
  WB
  IF-Cell
  IHC-P
  FC

1:500-1;1,000
1:50-1:200
1:50-1:200
1:50-1:100
Uniprot #: SwissProt: P01008 Human | P32261 Mouse | Q5M7T5 Rat
Alternative names: ANT3_HUMAN Antithrombin Antithrombin III Antithrombin-III AntithrombinIII AT 3 AT III AT3 AT3D ATIII Heparin cofactor I MGC22579 Serine (or cysteine) proteinase inhibitor clade C (antithrombin) member 1 Serine cysteine proteinase inhibitor clade C member 1 Serine proteinase inhibitor clade C member 1 Serpin C1 Serpin family C member 1 Serpin peptidase inhibitor clade C (antithrombin) member 1 SERPINC1 THPH7
Images
ER1803-06_1.jpg Fig1: Western blot analysis of SERPINC1 on different lysates using anti-SERPINC1 antibody at 1/500 dilution.
Positive control:
Lane 1: HepG2
Lane 2: Mouse smooth muscle
Lane 3: Mouse lung
ER1803-06_2.jpg Fig2: ICC staining SERPINC1 in H22 cells (green). The nuclear counter stain is DAPI (blue). Cells were fixed in paraformaldehyde, permeabilised with 0.25% Triton X100/PBS.
ER1803-06_3.jpg Fig3: ICC staining SERPINC1 in HepG2 cells (green). The nuclear counter stain is DAPI (blue). Cells were fixed in paraformaldehyde, permeabilised with 0.25% Triton X100/PBS.
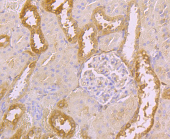
ER1803-06_4.jpg Fig4: Immunohistochemical analysis of paraffin-embedded rat kidney tissue using anti-SERPINC1 antibody. Counter stained with hematoxylin.
ER1803-06_5.jpg Fig5: Immunohistochemical analysis of paraffin-embedded human liver tissue using anti-SERPINC1 antibody. Counter stained with hematoxylin.
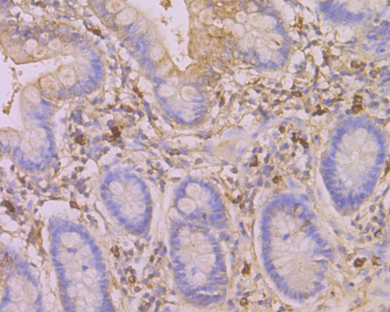
ER1803-06_6.jpg Fig6: Immunohistochemical analysis of paraffin-embedded human small intestine tissue using anti-SERPINC1 antibody. Counter stained with hematoxylin.
ER1803-06_7.jpg Fig7: Flow cytometric analysis of HepG2 cells with SERPINC1 antibody at 1/100 dilution (purple) compared with an unlabelled control (cells without incubation with primary antibody; yellow). Alexa Fluor 488-conjugated goat anti-rabbit IgG was used as the secondary antibody.
Note: All products are “FOR RESEARCH USE ONLY AND ARE NOT INTENDED FOR DIAGNOSTIC OR THERAPEUTIC USE”.