NDUFS3 Rabbit Polyclonal Antibody
cat.: ER1803-14
Product Type: Rabbit polyclonal IgG, primary antibodies
Species reactivity: Human, Mouse, Rat
Applications: WB, IHC-P, FC
Clonality: Polyclonal
Form: Liquid
Storage condition: Shipped at 4℃. Store at +4℃ short term (1-2 weeks). It is recommended to aliquot into single-use upon delivery. Store at -20℃ long term.
Storage buffer: 1*PBS (pH7.4), 0.2% BSA, 50% Glycerol. Preservative: 0.05% Sodium Azide.
Concentration: 1ug/ul
Purification: Immunogen affinity purified.
Molecular weight: Predicted band size: 30 kDa
Isotype: IgG
Immunogen: Recombinant protein within Human NDUFS3 aa 7-239 / 264.
Positive control: LOVO, MCF-7, rat epididymis tissue, human liver tissue, mouse brain tissue.
Subcellular location: Mitochondrion inner membrane.
Recommended Dilutions:
  WB
  IHC-P
  FC

1:500-1:1,000
1:50-1:2,000
1:50-1:100
Uniprot #: SwissProt: O75489 Human | Q9DCT2 Mouse | D3ZG43 Rat
Alternative names: CI 30 CI 30KD CI-30kD Complex I 30KD Complex I 30kDa subunit COMPLEX I, MITOCHONDRIAL RESPIRATORY CHAIN, 30-KD SUBUNIT Complex I-30kD mitochondrial NADH coenzyme Q reductase NADH dehydrogenase (ubiquinone) Fe S protein 3 30kDa NADH dehydrogenase [ubiquinone] iron sulfur protein 3 mitochondrial NADH dehydrogenase [ubiquinone] iron-sulfur protein 3 NADH dehydrogenase ubiquinone 30 kDa subunit NADH-ubiquinone oxidoreductase 30 kDa subunit NADH-Ubiquinone Oxidoreductase Fe-S Protein 3 NDUFS3 NDUS3_HUMAN
Images
ER1803-14_1.jpg Fig1: Western blot analysis of NDUFS3 on different lysates with Rabbit anti-NDUFS3 antibody (ER1803-14) at 1/1,000 dilution.

Lane 1: HAP1-parental cell lysate
Lane 2: HAP1-NDUFS3 KD cell lysate

Lysates/proteins at 10 µg/Lane.

Predicted band size: 30 kDa
Observed band size: 30 kDa

Exposure time: 9 seconds; ECL: K1801;

4-20% SDS-PAGE gel.

Proteins were transferred to a PVDF membrane and blocked with 5% NFDM/TBST for 1 hour at room temperature. The primary antibody (ER1803-14) at 1/1,000 dilution was used in primary antibody dilution (K1803) at 4℃ overnight. Goat Anti-Rabbit IgG - HRP Secondary Antibody (HA1001) at 1/50,000 dilution was used for 1 hour at room temperature.
ER1803-14_2.jpg Fig2: Western blot analysis of NDUFS3 on different cell lysates using anti-NDUFS3 antibody at 1/500 dilution.
Positive control:
Lane 1: LOVO
Lane 2: MCF-7
ER1803-14_3.jpg Fig3: Immunohistochemical analysis of paraffin-embedded rat epididymis tissue using anti-NDUFS3 antibody. Counter stained with hematoxylin.
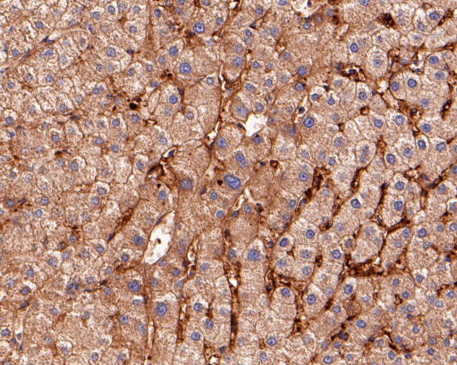
ER1803-14_4.png Fig4: Immunohistochemical analysis of paraffin-embedded human liver tissue using anti-NDUFS3 antibody. Counter stained with hematoxylin.
ER1803-14_5.png Fig5: Immunohistochemical analysis of paraffin-embedded mouse brain tissue using anti-NDUFS3 antibody. Counter stained with hematoxylin.
ER1803-14_6.jpg Fig6: Flow cytometric analysis of MCF-7 cells with NDUFS3 antibody at 1/100 dilution (fuchsia) compared with an unlabelled control (cells without incubation with primary antibody; yellow). Alexa Fluor 488-conjugated goat anti-rabbit IgG was used as the secondary antibody.
Note: All products are “FOR RESEARCH USE ONLY AND ARE NOT INTENDED FOR DIAGNOSTIC OR THERAPEUTIC USE”.