Eg5 Rabbit Polyclonal Antibody
cat.: ER1803-25
Product Type: Rabbit polyclonal IgG, primary antibodies
Species reactivity: Human, Mouse, Rat
Applications: IF-Cell, IHC-P, FC
Clonality: Polyclonal
Form: Liquid
Storage condition: Shipped at 4℃. Store at +4℃ short term (1-2 weeks). It is recommended to aliquot into single-use upon delivery. Store at -20℃ long term.
Storage buffer: 1*PBS (pH7.4), 0.2% BSA, 50% Glycerol. Preservative: 0.05% Sodium Azide.
Concentration: 1ug/ul
Purification: Immunogen affinity purified.
Molecular weight: Predicted band size: 119 kDa
Isotype: IgG
Immunogen: Recombinant protein within Human Eg5 aa 80-257 / 1,056.
Positive control: A431, SH-SY-5Y, SiHa, rat kidney tissue, human lung cancer tissue.
Subcellular location: Cytoplasm, Cytoskeleton.
Recommended Dilutions:
  IF-Cell
  IHC-P
  FC

1:50
1:50-1:400
1:50-1:100
Uniprot #: SwissProt: P52732 Human | Q6P9P6 Mouse | F1MAB8 Rat
Alternative names: EG5 HKSP KIF11 KIF11_HUMAN Kinesin family member 11 Kinesin like protein 1 Kinesin-like protein 1 Kinesin-like protein KIF11 Kinesin-like spindle protein HKSP Kinesin-related motor protein Eg5 KNSL1 MCLMR Thyroid receptor-interacting protein 5 TR-interacting protein 5 TRIP-5 TRIP5
Images
ER1803-25_1.jpg Fig1: ICC staining Eg5 in A431 cells (green). The nuclear counter stain is DAPI (blue). Cells were fixed in paraformaldehyde, permeabilised with 0.25% Triton X100/PBS.
ER1803-25_2.jpg Fig2: ICC staining Eg5 in SH-SY-5Y cells (green). The nuclear counter stain is DAPI (blue). Cells were fixed in paraformaldehyde, permeabilised with 0.25% Triton X100/PBS.
ER1803-25_3.jpg Fig3: ICC staining Eg5 in SiHa cells (green). The nuclear counter stain is DAPI (blue). Cells were fixed in paraformaldehyde, permeabilised with 0.25% Triton X100/PBS.
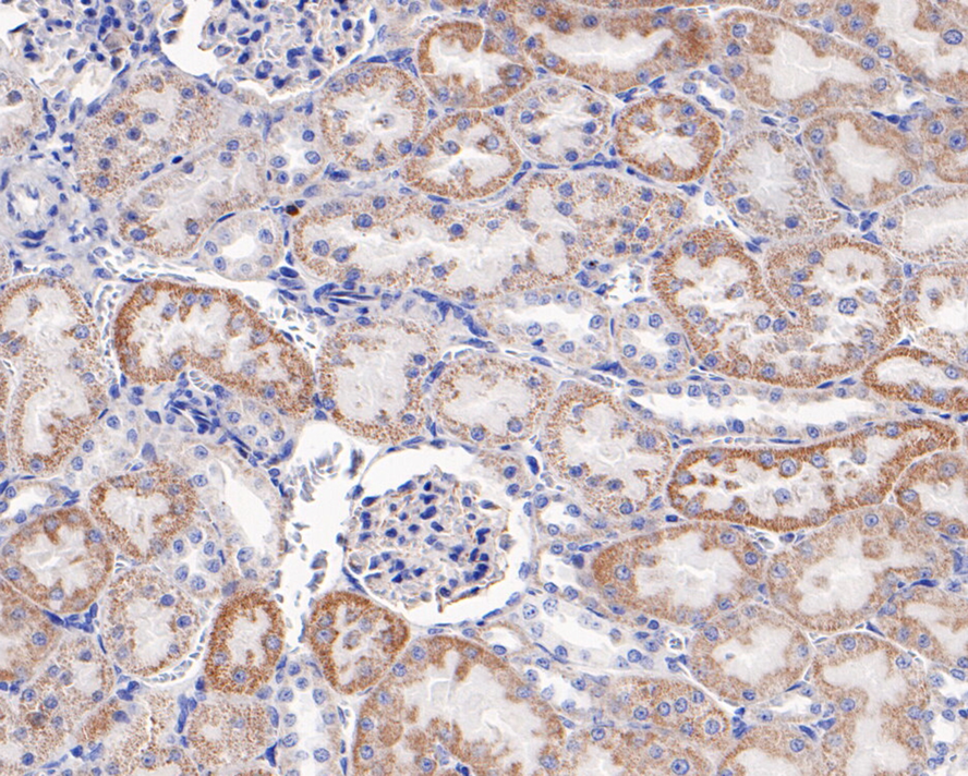
ER1803-25_4.png Fig4: Immunohistochemical analysis of paraffin-embedded rat kidney tissue with Rabbit anti-Eg5 antibody (ER1803-25) at 1/400 dilution.

The section was pre-treated using heat mediated antigen retrieval with Tris-EDTA buffer (pH 9.0) for 20 minutes. The tissues were blocked in 1% BSA for 20 minutes at room temperature, washed with ddH2O and PBS, and then probed with the primary antibody (ER1803-25) at 1/400 dilution for 1 hour at room temperature. The detection was performed using an HRP conjugated compact polymer system. DAB was used as the chromogen. Tissues were counterstained with hematoxylin and mounted with DPX.
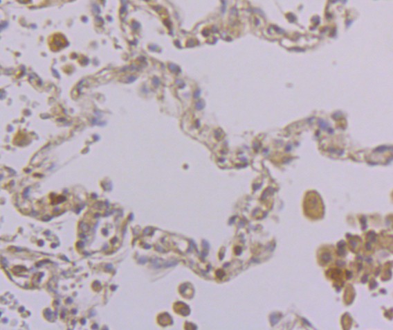
ER1803-25_5.jpg Fig5: Immunohistochemical analysis of paraffin-embedded human lung cancer tissue using anti-Eg5 antibody. Counter stained with hematoxylin.
ER1803-25_6.jpg Fig6: Flow cytometric analysis of A431 cells with Eg5 antibody at 1/100 dilution (fuchsia) compared with an unlabelled control (cells without incubation with primary antibody; yellow). Alexa Fluor 488-conjugated goat anti-rabbit IgG was used as the secondary antibody.
Note: All products are “FOR RESEARCH USE ONLY AND ARE NOT INTENDED FOR DIAGNOSTIC OR THERAPEUTIC USE”.