 
	            	| Product Type: | Rabbit polyclonal IgG, primary antibodies | 
|---|---|
| Species reactivity: | Human, Mouse, Rat | 
| Applications: | WB, IHC-P, FC | 
| Clonality: | Polyclonal | 
| Form: | Liquid | 
| Storage condition: | Shipped at 4℃. Store at +4℃ short term (1-2 weeks). It is recommended to aliquot into single-use upon delivery. Store at -20℃ long term. | 
| Storage buffer: | 1*PBS (pH7.4), 0.2% BSA, 50% Glycerol. Preservative: 0.05% Sodium Azide. | 
| Concentration: | 1ug/ul | 
| Purification: | Immunogen affinity purified. | 
| Molecular weight: | Predicted band size: 110 kDa | 
| Isotype: | IgG | 
| Immunogen: | Synthetis peptide within mouse ATP2A1 aa 1-50 / 994. | 
| Positive control: | Mouse skeletal muscle tissue lysate, rat skeletal muscle tissue lysate, Human skeletal muscle tissue lysate, rat skeletal muscle tissue, human fetal skeletal muscle tissue, mouse skeletal muscle tissue. | 
| Subcellular location: | Endoplasmic reticulum membrane. Sarcoplasmic reticulum membrane. | 
| Recommended Dilutions: WB IHC-P FC | 1:2,000 1:50-1:200 1:50-1:100 | 
| Uniprot #: | SwissProt: O14983 Human | Q8R429 Mouse | Q64578 Rat | 
| Alternative names: | fast twitch skeletal muscle isoform AT2A1_HUMAN ATP2A ATP2A1 ATPase Ca++ transporting cardiac muscle fast twitch 1 ATPase Ca++ transporting fast twitch 1 ATPase, Ca(2+)-transporting fast twitch 1 Calcium pump 1 Calcium transporting ATPase sarcoplasmic reticulum type fast twitch skeletal muscle isoform Calcium-transporting ATPase sarcoplasmic reticulum type EC 3.6.3.8 Endoplasmic reticulum class 1/2 Ca(2+) ATPase Fast skeletal muscle SR calcium ATPase OTTHUMP00000162561 OTTHUMP00000162562 Sarcoendoplasmic reticulum calcium ATPase Sarcoplasmic reticulum Ca(2+)-ATPase 1 Sarcoplasmic/endoplasmic reticulum calcium ATPase 1 SERCA 1 SERCA1 SERCA1 truncated isoform, included SR Ca(2+) ATPase 1 SR Ca(2+)-ATPase 1 | 
|   | Fig1:
	        				Western blot analysis of ATP2A1 / SERCA1 on different lysates with Rabbit anti-ATP2A1 / SERCA1 antibody (ER1803-34) at 1/2,000 dilution. Lane 1: Mouse skeletal muscle tissue lysate Lane 2: Mouse skeletal muscle tissue lysate (no heat) Lane 3: Mouse cerebellum tissue lysate (no heat) (negative) Lane 4: Mouse heart tissue lysate (negative) Lane 5: Rat skeletal muscle tissue lysate Lane 6: Rat cerebellum tissue lysate (negative) Lane 7: Rat heart tissue lysate (negative) Notice: no heat means the lysate is not boiled. Lysates/proteins at 40 µg/Lane. Predicted band size: 110 kDa Observed band size: 110 kDa Exposure time: 2 seconds; ECL: K1801; 4-20% SDS-PAGE gel. Proteins were transferred to a PVDF membrane and blocked with 5% NFDM/TBST for 1 hour at room temperature. The primary antibody (ER1803-34) at 1/2,000 dilution was used in 5% NFDM/TBST at 4℃ overnight. Goat Anti-Rabbit IgG - HRP Secondary Antibody (HA1001) at 1/50,000 dilution was used for 1 hour at room temperature. | 
|   | Fig2:
	        				Western blot analysis of ATP2A1 on different lysates using anti-ATP2A1 antibody at 1/500 dilution. Positive control: Lane 1: Mouse skeletal muscle tissue Lane 2: Human skeletal muscle tissue | 
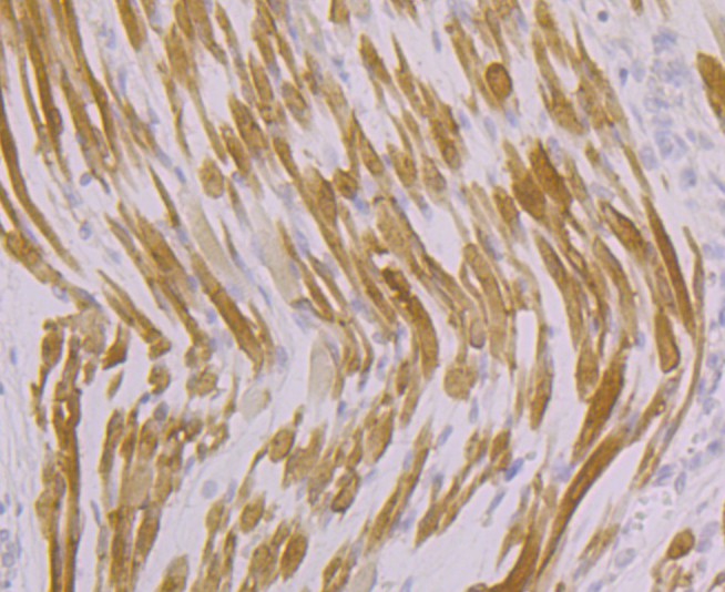
|   | Fig3: Immunohistochemical analysis of paraffin-embedded rat skeletal muscle tissue using anti-ATP2A1 antibody. Counter stained with hematoxylin. | 
|   | Fig4: Immunohistochemical analysis of paraffin-embedded human fetal skeletal muscle tissue using anti-ATP2A1 antibody. Counter stained with hematoxylin. | 
|   | Fig5: Immunohistochemical analysis of paraffin-embedded mouse skeletal muscle tissue using anti-ATP2A1 antibody. Counter stained with hematoxylin. | 
|   | Fig6: Flow cytometric analysis of 293T cells with ATP2A1 antibody at 1/100 dilution (fuchsia) compared with an unlabelled control (cells without incubation with primary antibody; yellow). Alexa Fluor 488-conjugated goat anti-rabbit IgG was used as the secondary antibody. |