LI Cadherin Rabbit Polyclonal Antibody
cat.: ER1804-02
Product Type: Rabbit polyclonal IgG, primary antibodies
Species reactivity: Human, Mouse, Rat
Applications: WB, IHC-P, IF-Cell
Clonality: Polyclonal
Form: Liquid
Storage condition: Shipped at 4℃. Store at +4℃ short term (1-2 weeks). It is recommended to aliquot into single-use upon delivery. Store at -20℃ long term.
Storage buffer: 1*PBS (pH7.4), 0.2% BSA, 50% Glycerol. Preservative: 0.05% Sodium Azide.
Concentration: 1ug/ul
Purification: Immunogen affinity purified.
Molecular weight: Predicted band size: 92 kDa
Isotype: IgG
Immunogen: Recombinant protein within Human CDH17 aa 33-210 / 832.
Positive control: Caco-2 cell lysate, LoVo cell lysate, human colon tissue, human appendix tissue, human stomach cancer tissue, mouse small intestine tissue, rat colon tissue.
Subcellular location: Cell membrane.
Recommended Dilutions:
  WB
  IHC-P
  IF-Cell

1:5,000
1:50-1:200
1:50-1:200
Uniprot #: SwissProt: Q12864 Human | Q9R100 Mouse | P55281 Rat
Alternative names: BILL-cadherin CAD17_HUMAN Cadherin 16 Cadherin 16, formerly Cadherin 17 cadherin 17, LI cadherin (liver-intestine) cadherin, liver-intestine Cadherin-17 CDH16 CDH16, formerly Cdh17 FLJ26931 Formerly Cadherin 16 Formerly CDH16 HPT 1 HPT-1 cadherin human intestinal peptide-associated transporter HPT-1 human peptide transporter 1 Intestinal peptide-associated transporter HPT 1 Intestinal peptide-associated transporter HPT-1 LI-cadherin Liver Cadherin liver intestine cadherin Liver-intestine cadherin
Images
ER1804-02_1.jpg Fig1: Western blot analysis of LI Cadherin on different lysates with Rabbit anti-LI Cadherin antibody (ER1804-02) at 1/5,000 dilution.

Lane 1: Caco-2 cell lysate
Lane 2: LoVo cell lysate
Lane 3: PANC-1 cell lysate (negative)

Lysates/proteins at 20 µg/Lane.

Predicted band size: 92 kDa
Observed band size: 120 kDa

Exposure time: 42 seconds; ECL: K1801;

4-20% SDS-PAGE gel.

Proteins were transferred to a PVDF membrane and blocked with 5% NFDM/TBST for 1 hour at room temperature. The primary antibody (ER1804-02) at 1/5,000 dilution was used in primary antibody dilution (K1803) at 4℃ overnight. Goat Anti-Rabbit IgG - HRP Secondary Antibody (HA1001) at 1/50,000 dilution was used for 1 hour at room temperature.
ER1804-02_2.png Fig2: Immunohistochemical analysis of paraffin-embedded human colon tissue using anti-LI Cadherin antibody. The section was pre-treated using heat mediated antigen retrieval with Tris-EDTA buffer (pH 8.0-8.4) for 20 minutes.The tissues were blocked in 5% BSA for 30 minutes at room temperature, washed with ddH2O and PBS, and then probed with the antibody (ER1804-02) at 1/50 dilution, for 30 minutes at room temperature and detected using an HRP conjugated compact polymer system. DAB was used as the chromogen. Counter stained with hematoxylin and mounted with DPX.
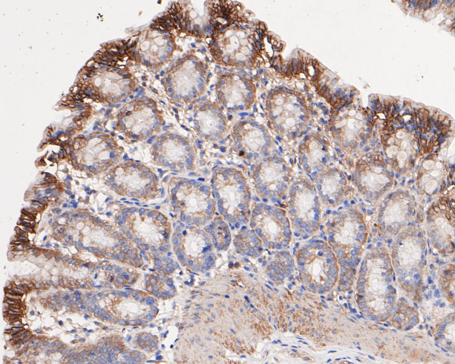
ER1804-02_3.jpg Fig3: Immunohistochemical analysis of paraffin-embedded human appendix tissue using anti-LI Cadherin antibody. The section was pre-treated using heat mediated antigen retrieval with Tris-EDTA buffer (pH 8.0-8.4) for 20 minutes.The tissues were blocked in 5% BSA for 30 minutes at room temperature, washed with ddH2O and PBS, and then probed with the antibody (ER1804-02) at 1/200 dilution, for 30 minutes at room temperature and detected using an HRP conjugated compact polymer system. DAB was used as the chromogen. Counter stained with hematoxylin and mounted with DPX.
ER1804-02_4.jpg Fig4: Immunohistochemical analysis of paraffin-embedded human stomach cancer tissue using anti-LI Cadherin antibody. The section was pre-treated using heat mediated antigen retrieval with Tris-EDTA buffer (pH 8.0-8.4) for 20 minutes.The tissues were blocked in 5% BSA for 30 minutes at room temperature, washed with ddH2O and PBS, and then probed with the antibody (ER1804-02) at 1/200 dilution, for 30 minutes at room temperature and detected using an HRP conjugated compact polymer system. DAB was used as the chromogen. Counter stained with hematoxylin and mounted with DPX.
ER1804-02_5.png Fig5: Immunohistochemical analysis of paraffin-embedded mouse small intestine tissue using anti-LI Cadherin antibody. The section was pre-treated using heat mediated antigen retrieval with Tris-EDTA buffer (pH 8.0-8.4) for 20 minutes.The tissues were blocked in 5% BSA for 30 minutes at room temperature, washed with ddH2O and PBS, and then probed with the antibody (ER1804-02) at 1/200 dilution, for 30 minutes at room temperature and detected using an HRP conjugated compact polymer system. DAB was used as the chromogen. Counter stained with hematoxylin and mounted with DPX.
ER1804-02_6.png Fig6: Immunohistochemical analysis of paraffin-embedded rat colon tissue using anti-LI Cadherin antibody. The section was pre-treated using heat mediated antigen retrieval with Tris-EDTA buffer (pH 8.0-8.4) for 20 minutes.The tissues were blocked in 5% BSA for 30 minutes at room temperature, washed with ddH2O and PBS, and then probed with the antibody (ER1804-02) at 1/50 dilution, for 30 minutes at room temperature and detected using an HRP conjugated compact polymer system. DAB was used as the chromogen. Counter stained with hematoxylin and mounted with DPX.
Note: All products are “FOR RESEARCH USE ONLY AND ARE NOT INTENDED FOR DIAGNOSTIC OR THERAPEUTIC USE”.