CD163 Rabbit Polyclonal Antibody
cat.: ER1804-03
Product Type: Rabbit polyclonal IgG, primary antibodies
Species reactivity: Human, Mouse, Rat
Applications: WB, IHC-P
Clonality: Polyclonal
Form: Liquid
Storage condition: Shipped at 4℃. Store at +4℃ short term (1-2 weeks). It is recommended to aliquot into single-use upon delivery. Store at -20℃ long term.
Storage buffer: 1*PBS (pH7.4), 0.2% BSA, 50% Glycerol. Preservative: 0.05% Sodium Azide.
Concentration: 1ug/ul
Purification: Immunogen affinity purified.
Molecular weight: Predicted band size: 125 kDa, observed band size: 150 kDa.
Isotype: IgG
Immunogen: Recombinant protein within Human aa 22-161 / 1,156.
Positive control: Human lung tissue lysate, human liver tissue lysate, human placenta tissue, mouse liver tissue, rat lung tissue.
Subcellular location: Secreted, Cell membrane.
Recommended Dilutions:
  WB
  IHC-P

1:500-1:1,000
1:50-1:600
Uniprot #: SwissProt: Q86VB7 Human | Q2VLH6 Mouse | A0A8I5ZQF0 Rat
Alternative names: C163A_HUMAN CD 163 CD163 CD163 antigen CD163 molecule Hemoglobin scavenger receptor M130 M130 antigen precursor Macrophage associated antigen MM130 OTTHUMP00000238617 OTTHUMP00000238618 OTTHUMP00000238619 OTTHUMP00000238620 SCARI1 Scavenger receptor cysteine rich type 1 protein M130 sCD163 Soluble CD163
Images
ER1804-03_1.jpg Fig1: Western blot analysis of CD163 on different lysates with Rabbit anti-CD163 antibody (ER1804-03) at 1/1,000 dilution.

Lane 1: Human lung tissue lysate
Lane 2: Human liver tissue lysate

Lysates/proteins at 40 µg/Lane.

Predicted band size: 125 kDa
Observed band size: 150-170 kDa

Exposure time: 10 seconds; ECL: K1801;

4-20% SDS-PAGE gel.

Proteins were transferred to a PVDF membrane and blocked with 5% NFDM/TBST for 1 hour at room temperature. The primary antibody (ER1804-03) at 1/1,000 dilution was used in 5% NFDM/TBST at 4℃ overnight. Goat Anti-Rabbit IgG - HRP Secondary Antibody (HA1001) at 1/50,000 dilution was used for 1 hour at room temperature.
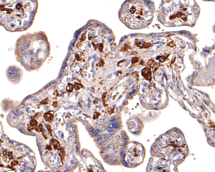
ER1804-03_2.png Fig2: Immunohistochemical analysis of paraffin-embedded human placenta tissue using anti-CD163 antibody. The section was pre-treated using heat mediated antigen retrieval with Tris-EDTA buffer (pH 8.0-8.4) for 20 minutes.The tissues were blocked in 5% BSA for 30 minutes at room temperature, washed with ddH2O and PBS, and then probed with the antibody (ER1804-03) at 1/200 dilution, for 30 minutes at room temperature and detected using an HRP conjugated compact polymer system. DAB was used as the chromogen. Counter stained with hematoxylin and mounted with DPX.
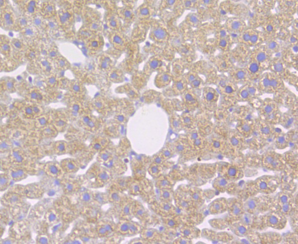
ER1804-03_3.jpg Fig3: Immunohistochemical analysis of paraffin-embedded mouse liver tissue using anti-CD163 antibody. The section was pre-treated using heat mediated antigen retrieval with Tris-EDTA buffer (pH 8.0-8.4) for 20 minutes.The tissues were blocked in 5% BSA for 30 minutes at room temperature, washed with ddH2O and PBS, and then probed with the antibody (ER1804-03) at 1/200 dilution, for 30 minutes at room temperature and detected using an HRP conjugated compact polymer system. DAB was used as the chromogen. Counter stained with hematoxylin and mounted with DPX..
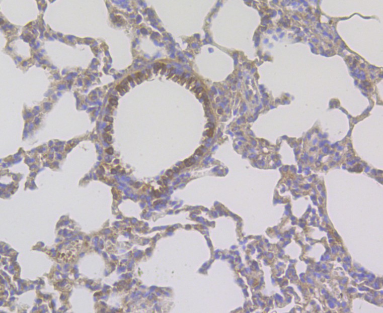
ER1804-03_4.jpg Fig4: Immunohistochemical analysis of paraffin-embedded rat lung tissue using anti-CD163 antibody. The section was pre-treated using heat mediated antigen retrieval with Tris-EDTA buffer (pH 8.0-8.4) for 20 minutes.The tissues were blocked in 5% BSA for 30 minutes at room temperature, washed with ddH2O and PBS, and then probed with the antibody (ER1804-03) at 1/50 dilution, for 30 minutes at room temperature and detected using an HRP conjugated compact polymer system. DAB was used as the chromogen. Counter stained with hematoxylin and mounted with DPX.
Note: All products are “FOR RESEARCH USE ONLY AND ARE NOT INTENDED FOR DIAGNOSTIC OR THERAPEUTIC USE”.