Rice Os01g0847700 protein Rabbit Polyclonal Antibody
cat.: ER1901-09
Product Type: Rabbit polyclonal IgG, primary antibodies
Species reactivity: Rice
Applications: WB, IF-Tissue, IHC-P
Clonality: Polyclonal
Form: Liquid
Storage condition: Shipped at 4℃. Store at +4℃ short term (1-2 weeks). It is recommended to aliquot into single-use upon delivery. Store at -20℃ long term.
Storage buffer: 1*PBS (pH7.4), 0.2% BSA, 50% Glycerol. Preservative: 0.05% Sodium Azide.
Concentration: 1ug/ul
Purification: Immunogen affinity purified.
Molecular weight: Predicted band size: 36 kDa
Isotype: IgG
Immunogen: Synthetic peptide within Rice Os01g0847700 aa 262-311 / 311.
Positive control: Rice stem.
Subcellular location: Cytoplasm.
Recommended Dilutions:
  WB
  IF-Tissue
  IHC-P

1:500-1:1000
1:50-1:200
1:50-1:200
Uniprot #: SwissProt: Q0JHR5 Rice
Images
ER1901-09_1.jpg Fig1: Western blot analysis of Rice Os01g0847700 protein on rice stem lysates. Proteins were transferred to a PVDF membrane and blocked with 5% BSA in PBS for 1 hour at room temperature. The primary antibody (ER1901-09, 1/500) was used in 5% BSA at room temperature for 2 hours. Goat Anti-Rabbit IgG - HRP Secondary Antibody (HA1001) at 1:5,000 dilution was used for 1 hour at room temperature.
ER1901-09_2.jpg Fig2: IF staining of Rice Os01g0847700 protein in rice stem tissue(green). The nuclear counter stain is DAPI (blue). Cells were fixed in paraformaldehyde, permeabilised with 0.25% Triton X100/PBS.
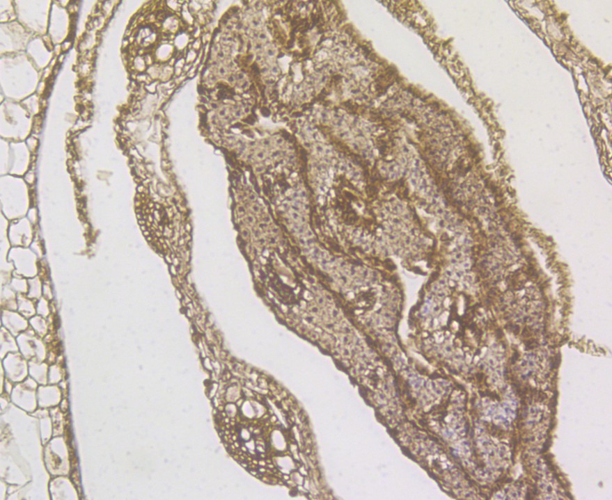
ER1901-09_3.jpg Fig3: Immunohistochemical analysis of paraffin-embedded rice stem tissue using anti-Rice Os01g0847700 protein antibody. Counter stained with hematoxylin.
Note: All products are “FOR RESEARCH USE ONLY AND ARE NOT INTENDED FOR DIAGNOSTIC OR THERAPEUTIC USE”.