B3GAT1 Rabbit Polyclonal Antibody
cat.: ER1901-15
Product Type: Rabbit polyclonal IgG, primary antibodies
Species reactivity: Human, Mouse, Rat
Applications: WB, IHC-P, FC
Clonality: Polyclonal
Form: Liquid
Storage condition: Shipped at 4℃. Store at +4℃ short term (1-2 weeks). It is recommended to aliquot into single-use upon delivery. Store at -20℃ long term.
Storage buffer: 1*PBS (pH7.4), 0.2% BSA, 50% Glycerol. Preservative: 0.05% Sodium Azide.
Concentration: 1ug/ul
Purification: Immunogen affinity purified.
Molecular weight: Predicted band size: 38 kDa
Isotype: IgG
Immunogen: Synthetic peptide within Human B3GAT1 aa 23-72 / 334.
Positive control: Rat brain tissue, mouse brain tissue, SH-SY5Y.
Subcellular location: Golgi apparatus. Secreted. Endoplasmic reticulum.
Recommended Dilutions:
  WB
  IHC-P
  FC

1:500-1:1000
1:50-1:200
1:50-1:100
Uniprot #: SwissProt: Q9P2W7 Human | O35789 Rat | Q9CW73 Mouse
Alternative names: 3-glucuronyltransferase 1 3-glucuronyltransferase B3GA1_HUMAN B3gat1 Beta 1 3 glucuronyltransferase 1 Beta-1 Beta-1,3-glucuronyltransferase 1 CD 57 CD57 CD57 antigen Galactosylgalactosylxylosylprotein 3 beta glucuronosyltransferase 1 Galactosylgalactosylxylosylprotein 3-beta-glucuronosyltransferase 1 GlcAT P GlcAT-P GLCATP GlcUAT P GlcUAT-P GlcUATP Glucuronosyltransferase P HNK 1 HNK1 LEU 7 LEU7 LEU7 antigen NK 1 NK1 UDP GlcUA glycoprotein beta 1 3 glucuronyltransferase UDP-GlcUA:glycoprotein beta-1
Images
ER1901-15_1.jpg Fig1: Western blot analysis of B3GAT1 on rat brain tissue lysate. Proteins were transferred to a PVDF membrane and blocked with 5% BSA in PBS for 1 hour at room temperature. The primary antibody (ER1901-15, 1/500) was used in 5% BSA at room temperature for 2 hours. Goat Anti-Rabbit IgG - HRP Secondary Antibody (HA1001) at 1:5,000 dilution was used for 1 hour at room temperature.
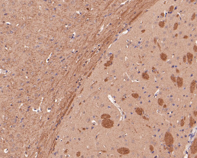
ER1901-15_2.jpg Fig2: Immunohistochemical analysis of paraffin-embedded rat brain tissue using anti-B3GAT1 antibody. The section was pre-treated using heat mediated antigen retrieval with sodium citrate buffer (pH 6.0) for 20 minutes. The tissues were blocked in 5% BSA for 30 minutes at room temperature, washed with ddH2O and PBS, and then probed with the primary antibody (ER1901-15, 1/200) for 30 minutes at room temperature. The detection was performed using an HRP conjugated compact polymer system. DAB was used as the chromogen. Tissues were counterstained with hematoxylin and mounted with DPX.
ER1901-15_3.jpg Fig3: Immunohistochemical analysis of paraffin-embedded mouse brain tissue using anti-B3GAT1 antibody. The section was pre-treated using heat mediated antigen retrieval with sodium citrate buffer (pH 6.0) for 20 minutes. The tissues were blocked in 5% BSA for 30 minutes at room temperature, washed with ddH2O and PBS, and then probed with the primary antibody (ER1901-15, 1/200) for 30 minutes at room temperature. The detection was performed using an HRP conjugated compact polymer system. DAB was used as the chromogen. Tissues were counterstained with hematoxylin and mounted with DPX.
ER1901-15_4.jpg Fig4: Flow cytometric analysis of B3GAT1 was done on SH-SY5Y cells. The cells were fixed, permeabilized and stained with the primary antibody (ER1901-15, 1/50) (red). After incubation of the primary antibody at room temperature for an hour, the cells were stained with a Alexa Fluor 488-conjugated Goat anti-Rabbit IgG Secondary antibody at 1/1000 dilution for 30 minutes.Unlabelled sample was used as a control (cells without incubation with primary antibody; black).
Note: All products are “FOR RESEARCH USE ONLY AND ARE NOT INTENDED FOR DIAGNOSTIC OR THERAPEUTIC USE”.