CD45 Rabbit Polyclonal Antibody
cat.: ER1901-29
Product Type: Rabbit polyclonal IgG, primary antibodies
Species reactivity: Human
Applications: WB, IHC-P, FC, IF-Tissue
Clonality: Polyclonal
Form: Liquid
Storage condition: Shipped at 4℃. Store at +4℃ short term (1-2 weeks). It is recommended to aliquot into single-use upon delivery. Store at -20℃ long term.
Storage buffer: 1*PBS (pH7.4), 0.2% BSA, 50% Glycerol. Preservative: 0.05% Sodium Azide.
Concentration: 1ug/ul
Purification: Immunogen affinity purified.
Molecular weight: Predicted band size: 147 kDa
Isotype: IgG
Immunogen: Synthetic peptide within C-terminal human CD45.
Positive control: Jurkat cell lysates, human tonsil tissue, human spleen tissue, Jurkat.
Subcellular location: Cell membrane, Membrane raft.
Recommended Dilutions:
  WB
  IHC-P
  FC
  IF-Tissue

1:500-1:2,000
1:50-1:500
1:50-1:100
1:100
Uniprot #: SwissProt: P08575 Human
Alternative names: B220 CD 45 CD45 CD45 antigen CD45R GP180 L-CA LCA Leukocyte common antigen loc Ly-5 LY5 Ly5, homolog of Lyt-4 OTTHUMP00000033813 OTTHUMP00000033816 OTTHUMP00000033817 OTTHUMP00000038574 Protein tyrosine phosphatase receptor type c polypeptide Protein tyrosine phosphatase, receptor type C protein tyrosine phosphatase, receptor type, C Protein tyrosine phosphatase, receptor type, c polypeptide Ptprc PTPRC_HUMAN Receptor-type tyrosine-protein phosphatase C T200 T200 glycoprotein T200 leukocyte common antigen
Images
ER1901-29_1.jpg Fig1: Western blot analysis of CD45 on Jurkat cell lysate. Proteins were transferred to a PVDF membrane and blocked with 5% BSA in PBS for 1 hour at room temperature. The primary antibody (ER1901-29, 1/1000) was used in 5% BSA at room temperature for 2 hours. Goat Anti-Rabbit IgG - HRP Secondary Antibody (HA1001) at 1:5,000 dilution was used for 1 hour at room temperature.
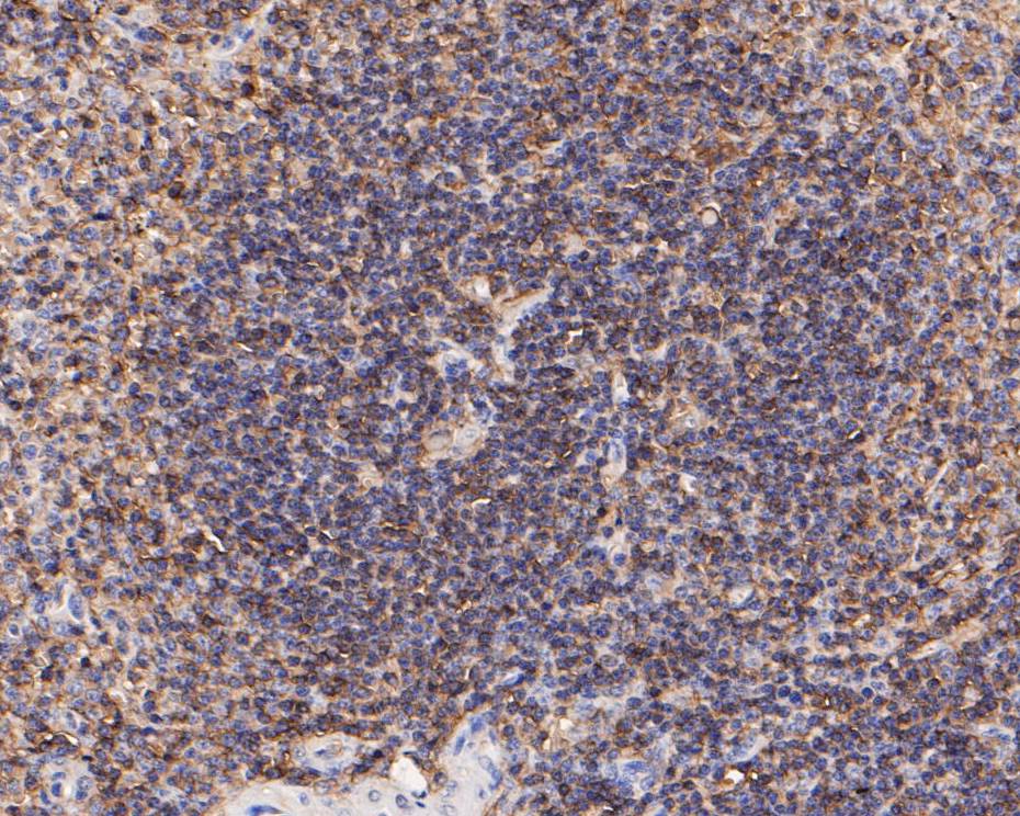
ER1901-29_2.jpg Fig2: Immunohistochemical analysis of paraffin-embedded human tonsil tissue using anti-CD45 antibody. The section was pre-treated using heat mediated antigen retrieval with Tris-EDTA buffer (pH 8.0-8.4) for 20 minutes.The tissues were blocked in 5% BSA for 30 minutes at room temperature, washed with ddH2O and PBS, and then probed with the primary antibody (ER1901-29, 1/50) for 30 minutes at room temperature. The detection was performed using an HRP conjugated compact polymer system. DAB was used as the chromogen. Tissues were counterstained with hematoxylin and mounted with DPX.
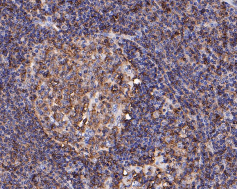
ER1901-29_3.jpg Fig3: Immunohistochemical analysis of paraffin-embedded human spleen tissue using anti-CD45 antibody. The section was pre-treated using heat mediated antigen retrieval with Tris-EDTA buffer (pH 8.0-8.4) for 20 minutes.The tissues were blocked in 5% BSA for 30 minutes at room temperature, washed with ddH2O and PBS, and then probed with the primary antibody (ER1901-29, 1/50) for 30 minutes at room temperature. The detection was performed using an HRP conjugated compact polymer system. DAB was used as the chromogen. Tissues were counterstained with hematoxylin and mounted with DPX.
ER1901-29_4.jpg Fig4: Flow cytometric analysis of CD45 was done on Jurkat cells. The cells were fixed, permeabilized and stained with the primary antibody (ER1901-29, 1/50) (red). After incubation of the primary antibody at room temperature for an hour, the cells were stained with a Alexa Fluor 488-conjugated Goat anti-Rabbit IgG Secondary antibody at 1/1000 dilution for 30 minutes.Unlabelled sample was used as a control (cells without incubation with primary antibody; black).
ER1901-29_5.jpg Fig5: Application: IF-Tissue

Species: Human

Site: spleen

Sample: Paraffin-embedded section

Antibody concentration: 1/100
Note: All products are “FOR RESEARCH USE ONLY AND ARE NOT INTENDED FOR DIAGNOSTIC OR THERAPEUTIC USE”.