KCNB1 Rabbit Polyclonal Antibody
cat.: ER1901-41
Product Type: Rabbit polyclonal IgG, primary antibodies
Species reactivity: Human, Mouse, Rat
Applications: WB, IHC-P, FC
Clonality: Polyclonal
Form: Liquid
Storage condition: Shipped at 4℃. Store at +4℃ short term (1-2 weeks). It is recommended to aliquot into single-use upon delivery. Store at -20℃ long term.
Storage buffer: 1*PBS (pH7.4), 0.2% BSA, 50% Glycerol. Preservative: 0.05% Sodium Azide.
Concentration: 1ug/ul
Purification: Immunogen affinity purified.
Molecular weight: Predicted band size: 96 kDa
Isotype: IgG
Immunogen: Synthetic peptide within rat KCNB1 aa 808-857 / 857.
Positive control: Mouse brain tissue lysate, rat brain tissue lysate, mouse retina tissue lysates, human brain tissue, mouse brain tissue, rat brain tissue, SH-SY5Y.
Subcellular location: Cell membrane, Cell projection, Membrane, Postsynaptic cell membrane, Synapse, Synaptosome.
Recommended Dilutions:
  WB
  IHC-P
  FC

1:500-1:2,000
1:50-1:200
1:50-1:100
Uniprot #: SwissProt: Q14721 Human | Q03717 Mouse | P15387 Rat
Alternative names: Delayed rectifier potassium channel 1 Delayed rectifier potassium channel Kv2.1 DRK 1 DRK1 h DRK1 K(+) channel h-DRK1 hDRK 1 hDRK1 KCB 1 KCB1 KCNB1 KCNB1_HUMAN KV2.1 Potassium channel protein DRK1 Potassium voltage gated channel shab related subfamily member 1 Potassium voltage-gated channel subfamily B member 1 Voltage-gated potassium channel subunit Kv2.1
Images
ER1901-41_1.jpg Fig1: Western blot analysis of KCNB1 on different lysates with Rabbit anti-KCNB1 antibody (ER1901-41) at 1/1,000 dilution.

Lane 1: Mouse brain tissue lysate
Lane 2: Mouse brain tissue lysate (no heat)
Lane 3: Mouse brain tissue lysate (70℃ heat)
Lane 4: Rat brain tissue lysate
Lane 5: Rat brain tissue lysate (no heat)

Notice: no heat means the lysate is not boiled.

Lysates/proteins at 40 µg/Lane.

Predicted band size: 96 kDa
Observed band size: 96 kDa

Exposure time: 40 seconds; ECL: K1801;
4-20% SDS-PAGE gel.

Proteins were transferred to a PVDF membrane and blocked with 5% NFDM/TBST for 1 hour at room temperature. The primary antibody (ER1901-41) at 1/1,000 dilution was used in 5% NFDM/TBST at room temperature for 2 hours. Goat Anti-Rabbit IgG - HRP Secondary Antibody (HA1001) at 1/50,000 dilution was used for 1 hour at room temperature.
ER1901-41_2.jpg Fig2: Western blot analysis of KCNB1 on mouse retina tissue lysates with Rabbit anti-KCNB1 antibody (ER1901-41).

Predicted band size: 96 kDa
Observed band size: 96 kDa
ER1901-41_3.jpg Fig3: Immunohistochemical analysis of paraffin-embedded human brain tissue with Rabbit anti-KCNB1 antibody (ER1901-41) at 1/200 dilution.

The section was pre-treated using heat mediated antigen retrieval with Tris-EDTA buffer (pH 9.0) for 20 minutes. The tissues were blocked in 1% BSA for 20 minutes at room temperature, washed with ddH2O and PBS, and then probed with the primary antibody (ER1901-41) at 1/200 dilution for 1 hour at room temperature. The detection was performed using an HRP conjugated compact polymer system. DAB was used as the chromogen. Tissues were counterstained with hematoxylin and mounted with DPX.
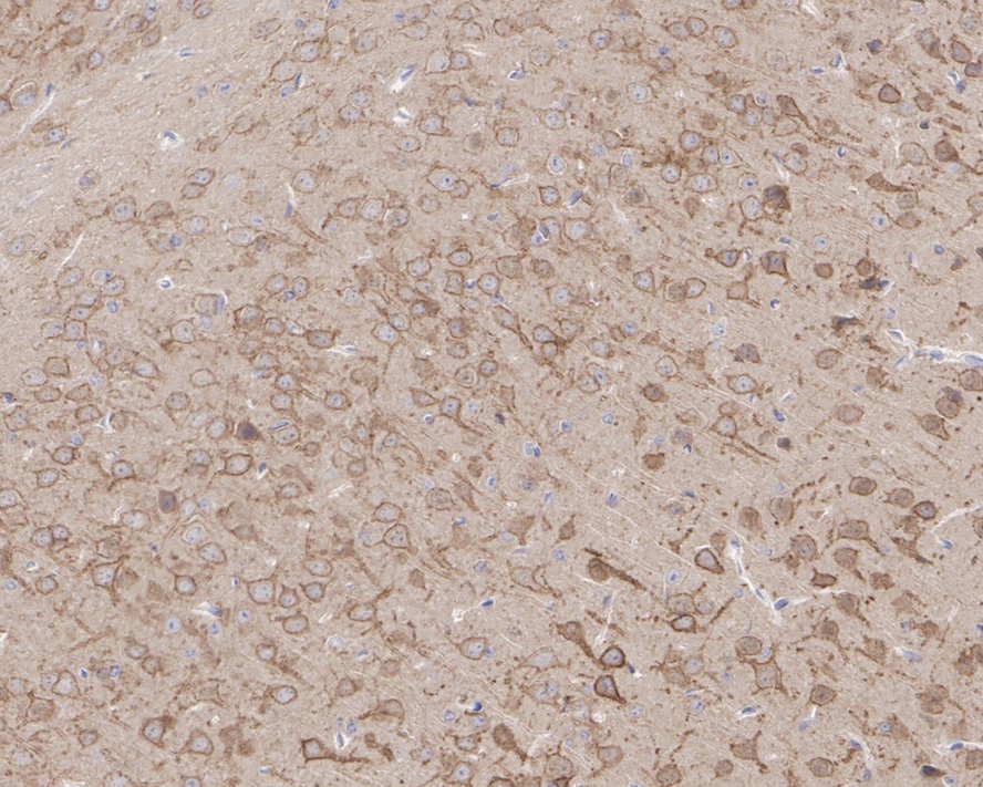
ER1901-41_4.jpg Fig4: Immunohistochemical analysis of paraffin-embedded mouse brain tissue with Rabbit anti-KCNB1 antibody (ER1901-41) at 1/200 dilution.

The section was pre-treated using heat mediated antigen retrieval with Tris-EDTA buffer (pH 9.0) for 20 minutes. The tissues were blocked in 1% BSA for 20 minutes at room temperature, washed with ddH2O and PBS, and then probed with the primary antibody (ER1901-41) at 1/200 dilution for 1 hour at room temperature. The detection was performed using an HRP conjugated compact polymer system. DAB was used as the chromogen. Tissues were counterstained with hematoxylin and mounted with DPX.
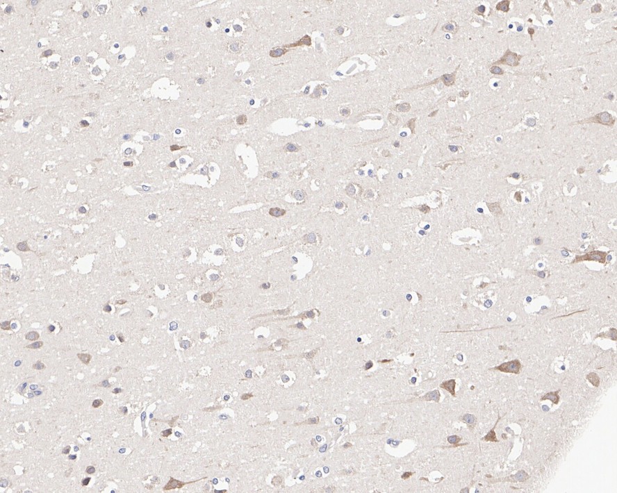
ER1901-41_5.jpg Fig5: Immunohistochemical analysis of paraffin-embedded rat brain tissue with Rabbit anti-KCNB1 antibody (ER1901-41) at 1/200 dilution.

The section was pre-treated using heat mediated antigen retrieval with Tris-EDTA buffer (pH 9.0) for 20 minutes. The tissues were blocked in 1% BSA for 20 minutes at room temperature, washed with ddH2O and PBS, and then probed with the primary antibody (ER1901-41) at 1/200 dilution for 1 hour at room temperature. The detection was performed using an HRP conjugated compact polymer system. DAB was used as the chromogen. Tissues were counterstained with hematoxylin and mounted with DPX.
ER1901-41_6.jpg Fig6: Flow cytometric analysis of KCNB1 was done on SH-SY5Y cells. The cells were fixed, permeabilized and stained with the primary antibody (ER1901-41, 1/50) (red). After incubation of the primary antibody at room temperature for an hour, the cells were stained with a Alexa Fluor 488-conjugated Goat anti-Rabbit IgG Secondary antibody at 1/1000 dilution for 30 minutes.Unlabelled sample was used as a control (cells without incubation with primary antibody; black).
Note: All products are “FOR RESEARCH USE ONLY AND ARE NOT INTENDED FOR DIAGNOSTIC OR THERAPEUTIC USE”.