ZHX2 Rabbit Polyclonal Antibody
cat.: ER1901-64
Product Type: Rabbit polyclonal IgG, primary antibodies
Species reactivity: Human
Applications: WB, IHC-P
Clonality: Polyclonal
Form: Liquid
Storage condition: Shipped at 4℃. Store at +4℃ short term (1-2 weeks). It is recommended to aliquot into single-use upon delivery. Store at -20℃ long term.
Storage buffer: 1*PBS (pH7.4), 0.2% BSA, 50% Glycerol. Preservative: 0.05% Sodium Azide.
Concentration: 1ug/ul
Purification: Immunogen affinity purified.
Molecular weight: 92 kDa
Isotype: IgG
Immunogen: Recombinant protein within Human ZHX2 aa 538-733 / 837.
Positive control: Daudi cell lysates, human esophagus tissue, mouse kidney tissue, Siha.
Subcellular location: Nucleus.
Recommended Dilutions:
  WB
  IHC-P

1:500-1:2,000
1:50-1:200
Uniprot #: SwissProt: Q9Y6X8 Human
Alternative names: AFP regulator 1 AFR1 Alpha fetoprotein regulator 1 Alpha-fetoprotein regulator 1 KIAA0854 RAF Regulator of AFP Transcription factor ZHX2 ZHX2 ZHX2_HUMAN Zinc finger and homeodomain protein 2 Zinc fingers and homeoboxes 2 Zinc fingers and homeoboxes protein 2
Images
ER1901-64_1.jpg Fig1: Western blot analysis of ZHX2 on Daudi cell lysate. Proteins were transferred to a PVDF membrane and blocked with 5% BSA in PBS for 1 hour at room temperature. The primary antibody (ER1901-64, 1/2,000) was used in 5% BSA at room temperature for 2 hours. Goat Anti-Rabbit IgG - HRP Secondary Antibody (HA1001) at 1:5,000 dilution was used for 1 hour at room temperature.
ER1901-64_2.jpg Fig2: Immunohistochemical analysis of paraffin-embedded human esophagus tissue using anti-ZHX2 antibody. The section was pre-treated using heat mediated antigen retrieval with sodium citrate buffer (pH 6.0) (high pressure) for 2 minutes. The tissues were blocked in 5% BSA for 30 minutes at room temperature, washed with ddH2O and PBS, and then probed with the primary antibody (ER1901-64, 1/50) for 30 minutes at room temperature. The detection was performed using an HRP conjugated compact polymer system. DAB was used as the chromogen. Tissues were counterstained with hematoxylin and mounted with DPX.
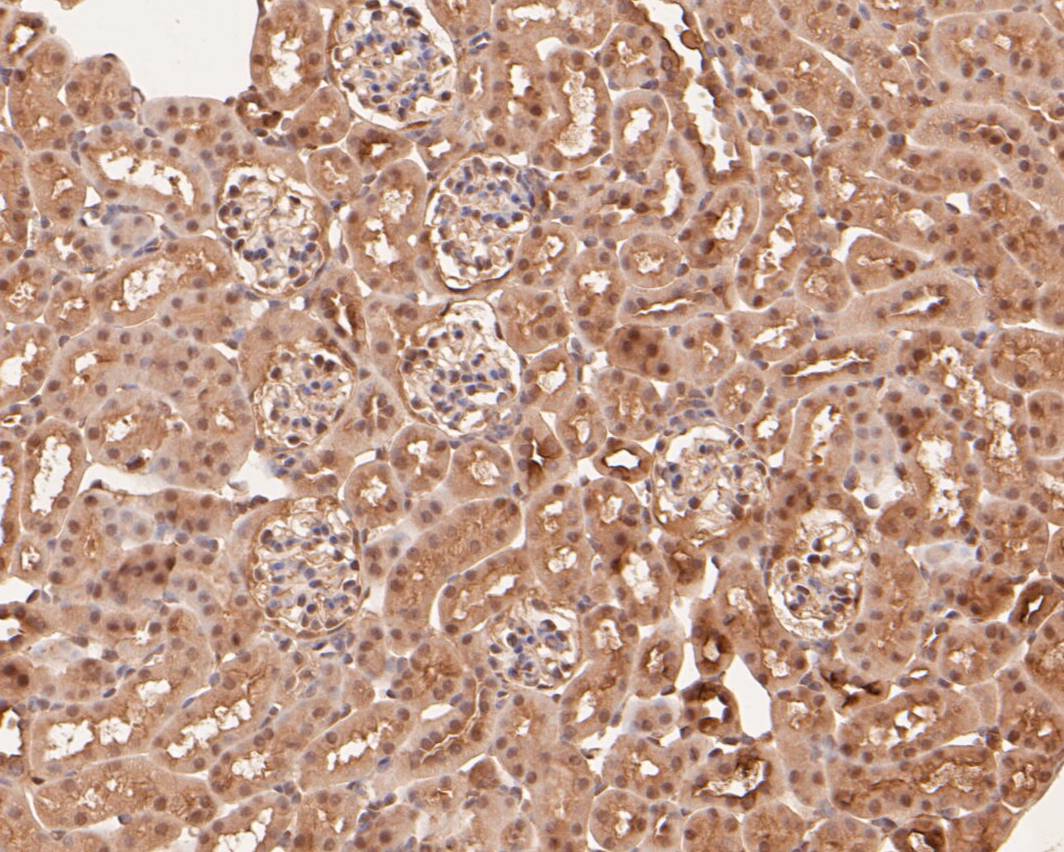
ER1901-64_3.jpg Fig3: Immunohistochemical analysis of paraffin-embedded mouse kidney tissue using anti-ZHX2 antibody. The section was pre-treated using heat mediated antigen retrieval with sodium citrate buffer (pH 6.0) (high pressure) for 2 minutes. The tissues were blocked in 5% BSA for 30 minutes at room temperature, washed with ddH2O and PBS, and then probed with the primary antibody (ER1901-64, 1/50) for 30 minutes at room temperature. The detection was performed using an HRP conjugated compact polymer system. DAB was used as the chromogen. Tissues were counterstained with hematoxylin and mounted with DPX.
ER1901-64_4.jpg Fig4: Flow cytometric analysis of Zinc fingers and homeoboxes protein 2 was done on Siha cells. The cells were fixed, permeabilized and stained with the primary antibody (ER1901-64, 1/100) (red). After incubation of the primary antibody at room temperature for an hour, the cells were stained with a Alexa Fluor 488-conjugated goat anti-rabbit IgG Secondary antibody at 1/500 dilution for 30 minutes.Unlabelled sample was used as a control (cells without incubation with primary antibody; black).
Note: All products are “FOR RESEARCH USE ONLY AND ARE NOT INTENDED FOR DIAGNOSTIC OR THERAPEUTIC USE”.