Histone H2A.x Rabbit Polyclonal Antibody
cat.: ER1901-70
Product Type: Rabbit polyclonal IgG, primary antibodies
Species reactivity: Human, Mouse, Rat
Applications: WB, IHC-P, IF-Cell, IF-Tissue, FC
Clonality: Polyclonal
Form: Liquid
Storage condition: Shipped at 4℃. Store at +4℃ short term (1-2 weeks). It is recommended to aliquot into single-use upon delivery. Store at -20℃ long term.
Storage buffer: 1*PBS (pH7.4), 0.2% BSA, 50% Glycerol. Preservative: 0.05% Sodium Azide.
Concentration: 1ug/ul
Purification: Immunogen affinity purified.
Molecular weight: 15 kDa
Isotype: IgG
Immunogen: Synthetic peptide within Human Histone H2AX aa 1-50 / 143.
Positive control: MCF-7 cell lysates, SHSY5Y, Rat testicular tissue, human lung cancer tissue, human liver tissue, mouse fallopian tube tissue.
Subcellular location: Nucleus
Recommended Dilutions:
  WB
  IHC-P
  IF-Cell
  IF-Tissue
  FC

1:500-1:1000
1:100-1:500
1:100-1:500
1:100-1:500
1:50-1:100
Uniprot #: SwissProt: P16104 Human | P27661 Mouse
Alternative names: AW228881 H2A histone family member X H2A.FX H2A.X H2a/x H2AFX H2AX H2AX histone H2AX_HUMAN Hist5.2ax Histone 2A Histone 2AX Histone H2A.X Histone H2AX RGD1566119
Images
ER1901-70_1.jpg Fig1: Western blot analysis of Histone H2A.x on MCF-7 cell lysate. Proteins were transferred to a PVDF membrane and blocked with 5% BSA in PBS for 1 hour at room temperature. The primary antibody (ER1901-70, 1/500) was used in 5% BSA at room temperature for 2 hours. Goat Anti-Rabbit IgG - HRP Secondary Antibody (HA1001) at 1:5,000 dilution was used for 1 hour at room temperature.
ER1901-70_2.jpg Fig2: ICC staining of Histone H2A.x in SHSY5Y cells (green). Formalin fixed cells were permeabilized with 0.1% Triton X-100 in TBS for 10 minutes at room temperature and blocked with 1% Blocker BSA for 15 minutes at room temperature. Cells were probed with the primary antibody (ER1901-70, 1/100) for 1 hour at room temperature, washed with PBS. Alexa Fluor®488 Goat anti-Rabbit IgG was used as the secondary antibody at 1/100 dilution. The nuclear counter stain is DAPI (blue).
ER1901-70_3.jpg Fig3: Immunofluorescence analysis of paraffin-embedded rat brain using anti-Histone H2A.x antibody. The section was pre-treated using heat mediated antigen retrieval with Tris-EDTA buffer (pH 8.0-8.4) for 20 minutes.The tissues were blocked in 5% BSA for 30 minutes at room temperature , washed with ddH2O and PBS, and then probed with the primary antibody (ER1901-70, 1/100) at 4 ° C overnight. Alexa Fluor®488 Goat anti-Rabbit IgG was used as the secondary antibody at 1/100 dilution. The nuclear counter stain is DAPI (blue)。
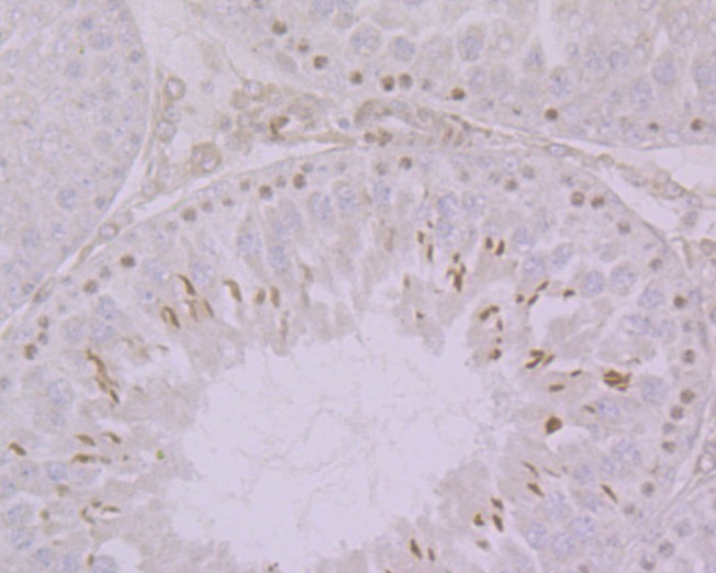
ER1901-70_4.jpg Fig4: Immunohistochemical analysis of paraffin-embedded Rat testicular tissue using anti-Histone H2A.x antibody. The section was pre-treated using heat mediated antigen retrieval with sodium citrate buffer (pH 6.0) for 20 minutes. The tissues were blocked in 5% BSA for 30 minutes at room temperature, washed with ddH2O and PBS, and then probed with the primary antibody (ER1901-70, 1/100) for 30 minutes at room temperature. The detection was performed using an HRP conjugated compact polymer system. DAB was used as the chromogen. Tissues were counterstained with hematoxylin and mounted with DPX.
ER1901-70_5.jpg Fig5: Immunohistochemical analysis of paraffin-embedded human lung cancer tissue using anti-Histone H2A.x antibody. The section was pre-treated using heat mediated antigen retrieval with sodium citrate buffer (pH 6.0) for 20 minutes. The tissues were blocked in 5% BSA for 30 minutes at room temperature, washed with ddH2O and PBS, and then probed with the primary antibody (ER1901-70, 1/100) for 30 minutes at room temperature. The detection was performed using an HRP conjugated compact polymer system. DAB was used as the chromogen. Tissues were counterstained with hematoxylin and mounted with DPX.
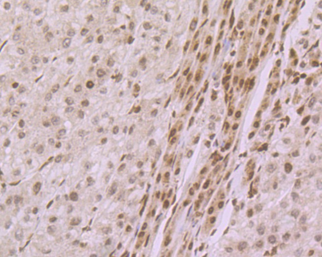
ER1901-70_6.jpg Fig6: Immunohistochemical analysis of paraffin-embedded human liver tissue using anti-Histone H2A.x antibody. The section was pre-treated using heat mediated antigen retrieval with sodium citrate buffer (pH 6.0) for 20 minutes. The tissues were blocked in 5% BSA for 30 minutes at room temperature, washed with ddH2O and PBS, and then probed with the primary antibody (ER1901-70, 1/100) for 30 minutes at room temperature. The detection was performed using an HRP conjugated compact polymer system. DAB was used as the chromogen. Tissues were counterstained with hematoxylin and mounted with DPX.
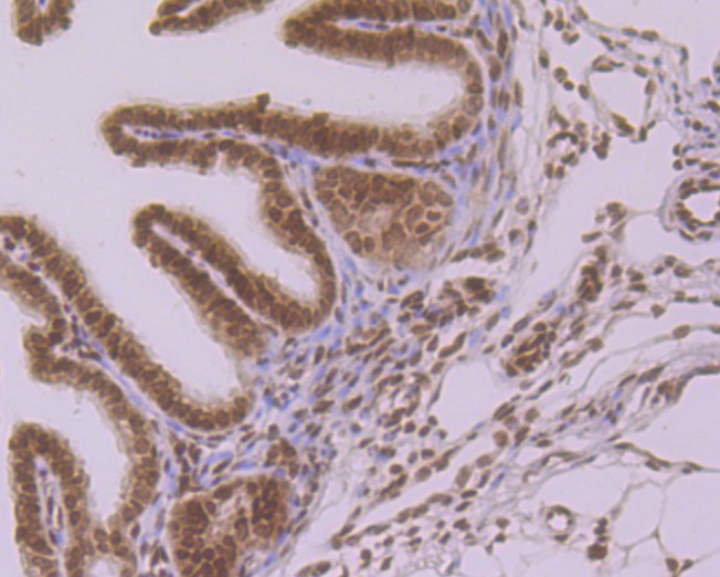
ER1901-70_7.jpg Fig7: Immunohistochemical analysis of paraffin-embedded mouse fallopian tube tissue using anti-Histone H2A.x antibody. The section was pre-treated using heat mediated antigen retrieval with sodium citrate buffer (pH 6.0) for 20 minutes. The tissues were blocked in 5% BSA for 30 minutes at room temperature, washed with ddH2O and PBS, and then probed with the primary antibody (ER1901-70, 1/100) for 30 minutes at room temperature. The detection was performed using an HRP conjugated compact polymer system. DAB was used as the chromogen. Tissues were counterstained with hematoxylin and mounted with DPX.
ER1901-70_8.jpg Fig8: Flow cytometric analysis of Histone H2A.x was done on SHSY5Y cells. The cells were fixed, permeabilized and stained with the primary antibody (ER1901-70, 1/100) (purple). After incubation of the primary antibody at room temperature for an hour, the cells were stained with a Alexa Fluor 488-conjugated goat anti-rabbit IgG Secondary antibody at 1/500 dilution for 30 minutes.Unlabelled sample was used as a control (cells without incubation with primary antibody; yellow).
Note: All products are “FOR RESEARCH USE ONLY AND ARE NOT INTENDED FOR DIAGNOSTIC OR THERAPEUTIC USE”.