FH Rabbit Polyclonal Antibody
cat.: ER1902-01
Product Type: Rabbit polyclonal IgG, primary antibodies
Species reactivity: Human, Mouse, Rat
Applications: WB, IF-Cell, IHC-P, FC
Clonality: Polyclonal
Form: Liquid
Storage condition: Shipped at 4℃. Store at +4℃ short term (1-2 weeks). It is recommended to aliquot into single-use upon delivery. Store at -20℃ long term.
Storage buffer: 1*PBS (pH7.4), 0.2% BSA, 50% Glycerol. Preservative: 0.05% Sodium Azide.
Concentration: 1ug/ul
Purification: Immunogen affinity purified.
Molecular weight: Predicted band size: 55 kDa
Isotype: IgG
Immunogen: Recombinant protein within Human FH aa 83-267 / 510.
Positive control: K562 cell lysates, LOVO, SiHa, rat testis tissue, human liver tissue, human liver carcinoma tissue, mouse colon tissue, HCT116, LO2 cell lysate, mouse liver tissue lysate, rat liver tissue lysate.
Subcellular location: Mitochondrion, cytosol, nucleus, chromosome.
Recommended Dilutions:
  WB
  IF-Cell
  IHC-P
  FC

1:500-1:1,000
1:50-1:100
1:50-1:200
1:50-1:100
Uniprot #: SwissProt: P07954 Human | P97807 Mouse | P14408 Rat
Alternative names: FH Fumarase Fumarate hydratase Fumarate hydratase mitochondrial Fumarate hydratase, mitochondrial FUMH_HUMAN HLRCC LRCC MCL MCUL 1 MCUL1 MS709 Multiple hereditary cutaneous leiomyomata
Images
ER1902-01_1.jpg Fig1: Western blot analysis of FH on K562 cell lysates. Proteins were transferred to a PVDF membrane and blocked with 5% BSA in PBS for 1 hour at room temperature. The primary antibody (ER1902-01, 1/500) was used in 5% BSA at room temperature for 2 hours. Goat Anti-Rabbit IgG - HRP Secondary Antibody (HA1001) at 1:5,000 dilution was used for 1 hour at room temperature.
ER1902-01_2.jpg Fig2: ICC staining of FH in LOVO cells (green). Formalin fixed cells were permeabilized with 0.1% Triton X-100 in TBS for 10 minutes at room temperature and blocked with 1% Blocker BSA for 15 minutes at room temperature. Cells were probed with the primary antibody (ER1902-01, 1/100) for 1 hour at room temperature, washed with PBS. Alexa Fluor®488 Goat anti-Rabbit IgG was used as the secondary antibody at 1/1,000 dilution. The nuclear counter stain is DAPI (blue).
ER1902-01_3.jpg Fig3: ICC staining of FH in SiHa cells (green). Formalin fixed cells were permeabilized with 0.1% Triton X-100 in TBS for 10 minutes at room temperature and blocked with 1% Blocker BSA for 15 minutes at room temperature. Cells were probed with the primary antibody (ER1902-01, 1/100) for 1 hour at room temperature, washed with PBS. Alexa Fluor®488 Goat anti-Rabbit IgG was used as the secondary antibody at 1/1,000 dilution. The nuclear counter stain is DAPI (blue).
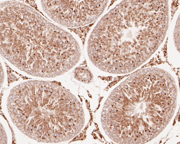
ER1902-01_4.jpg Fig4: Immunohistochemical analysis of paraffin-embedded rat testis tissue using anti-FH antibody. The section was pre-treated using heat mediated antigen retrieval with Tris-EDTA buffer (pH 8.0-8.4) for 20 minutes.The tissues were blocked in 5% BSA for 30 minutes at room temperature, washed with ddH2O and PBS, and then probed with the primary antibody (ER1902-01, 1/50) for 30 minutes at room temperature. The detection was performed using an HRP conjugated compact polymer system. DAB was used as the chromogen. Tissues were counterstained with hematoxylin and mounted with DPX.
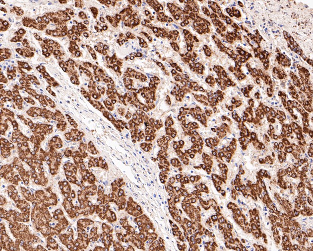
ER1902-01_5.jpg Fig5: Immunohistochemical analysis of paraffin-embedded human liver tissue using anti-FH antibody. The section was pre-treated using heat mediated antigen retrieval with Tris-EDTA buffer (pH 8.0-8.4) for 20 minutes.The tissues were blocked in 5% BSA for 30 minutes at room temperature, washed with ddH2O and PBS, and then probed with the primary antibody (ER1902-01, 1/200) for 30 minutes at room temperature. The detection was performed using an HRP conjugated compact polymer system. DAB was used as the chromogen. Tissues were counterstained with hematoxylin and mounted with DPX.
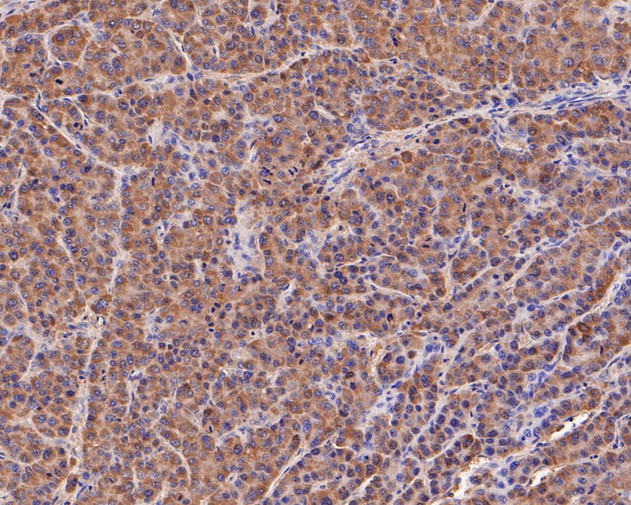
ER1902-01_6.jpg Fig6: Immunohistochemical analysis of paraffin-embedded human liver carcinoma tissue using anti-FH antibody. The section was pre-treated using heat mediated antigen retrieval with Tris-EDTA buffer (pH 8.0-8.4) for 20 minutes.The tissues were blocked in 5% BSA for 30 minutes at room temperature, washed with ddH2O and PBS, and then probed with the primary antibody (ER1902-01, 1/200) for 30 minutes at room temperature. The detection was performed using an HRP conjugated compact polymer system. DAB was used as the chromogen. Tissues were counterstained with hematoxylin and mounted with DPX.
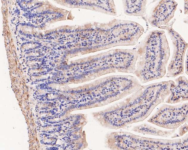
ER1902-01_7.jpg Fig7: Immunohistochemical analysis of paraffin-embedded mouse colon tissue using anti-FH antibody. The section was pre-treated using heat mediated antigen retrieval with Tris-EDTA buffer (pH 8.0-8.4) for 20 minutes.The tissues were blocked in 5% BSA for 30 minutes at room temperature, washed with ddH2O and PBS, and then probed with the primary antibody (ER1902-01, 1/50) for 30 minutes at room temperature. The detection was performed using an HRP conjugated compact polymer system. DAB was used as the chromogen. Tissues were counterstained with hematoxylin and mounted with DPX.
ER1902-01_8.jpg Fig8: Flow cytometric analysis of FH was done on HCT116 cells. The cells were fixed, permeabilized and stained with the primary antibody (ER1902-01, 1/50) (red). After incubation of the primary antibody at room temperature for an hour, the cells were stained with a Alexa Fluor 488-conjugated Goat anti-Rabbit IgG Secondary antibody at 1/1000 dilution for 30 minutes.Unlabelled sample was used as a control (cells without incubation with primary antibody; black).
ER1902-01_9.jpg Fig9: Western blot analysis of FH on different lysates with Rabbit anti-FH antibody (ER1902-01) at 1/1,000 dilution.

Lane 1: LO2 cell lysate (10 µg/Lane)
Lane 2: Mouse liver tissue lysate (20 µg/Lane)
Lane 3: Rat liver tissue lysate (20 µg/Lane)

Predicted band size: 55 kDa
Observed band size: 50 kDa

Exposure time: 1 minute;

10% SDS-PAGE gel.

Proteins were transferred to a PVDF membrane and blocked with 5% NFDM/TBST for 1 hour at room temperature. The primary antibody (ER1902-01) at 1/1,000 dilution was used in 5% NFDM/TBST at room temperature for 2 hours. Goat Anti-Rabbit IgG - HRP Secondary Antibody (HA1001) at 1:100,000 dilution was used for 1 hour at room temperature.
Note: All products are “FOR RESEARCH USE ONLY AND ARE NOT INTENDED FOR DIAGNOSTIC OR THERAPEUTIC USE”.