KCNK2 Rabbit Polyclonal Antibody
cat.: ER1902-06
Product Type: Rabbit polyclonal IgG, primary antibodies
Species reactivity: Human, Mouse, Rat
Applications: WB, IHC-P, FC
Clonality: Polyclonal
Form: Liquid
Storage condition: Shipped at 4℃. Store at +4℃ short term (1-2 weeks). It is recommended to aliquot into single-use upon delivery. Store at -20℃ long term.
Storage buffer: 1*PBS (pH7.4), 0.2% BSA, 50% Glycerol. Preservative: 0.05% Sodium Azide.
Concentration: 1ug/ul
Purification: Immunogen affinity purified.
Molecular weight: Predicted band size: 47 kDa
Isotype: IgG
Immunogen: Synthetic peptide within Human KCNK2 aa 7-56 / 426.
Positive control: Rat brain lysates, rat adrenaline tissue, human liver tissue, human kidney tissue, mouse brain tissue, A549, 293T cell lysate, mouse brain tissue lysate.
Subcellular location: Cell membrane, Endoplasmic reticulum.
Recommended Dilutions:
  WB
  IHC-P
  FC

1:500-1:1000
1:50-1:200
1:50-1:100
Uniprot #: SwissProt: O95069 Human | P97438 Mouse | Q920B6 Rat
Alternative names: hTREK 1c hTREK 1e K2p2.1 K2P2.1 potassium channel KCNK 2 Kcnk2 KCNK2_HUMAN MGC126742 MGC126744 Outward rectifying potassium channel protein TREK 1 Outward rectifying potassium channel protein TREK-1 Outward rectifying potassium channel protein TREK1 Potassium channel subfamily K member 2 Potassium inwardly rectifying channel subfamily K member 2 Tandem pore domain potassium channel TREK 1 Tandem pore domain potassium channel TREK1 TPKC1 TREK 1 TREK 1 K(+) channel subunit TREK TREK-1 K(+) channel subunit TREK1 TWIK related potassium channel 1 Two pore domain potassium channel TREK 1 Two pore domain potassium channel TREK-1 Two pore domain potassium channel TREK1 Two pore potassium channel 1 Two pore potassium channel TPKC1
Images
ER1902-06_1.jpg Fig1: Western blot analysis of KCNK2 on rat brain lysate. Proteins were transferred to a PVDF membrane and blocked with 5% BSA in PBS for 1 hour at room temperature. The primary antibody (ER1902-06, 1/500) was used in 5% BSA at room temperature for 2 hours. Goat Anti-Rabbit IgG - HRP Secondary Antibody (HA1001) at 1:5,000 dilution was used for 1 hour at room temperature.
ER1902-06_2.jpg Fig2: Immunohistochemical analysis of paraffin-embedded rat adrenaline tissue using anti-KCNK2 antibody. The section was pre-treated using heat mediated antigen retrieval with Tris-EDTA buffer (pH 8.0-8.4) for 20 minutes.The tissues were blocked in 5% BSA for 30 minutes at room temperature, washed with ddH2O and PBS, and then probed with the primary antibody (ER1902-06, 1/100) for 30 minutes at room temperature. The detection was performed using an HRP conjugated compact polymer system. DAB was used as the chromogen. Tissues were counterstained with hematoxylin and mounted with DPX.
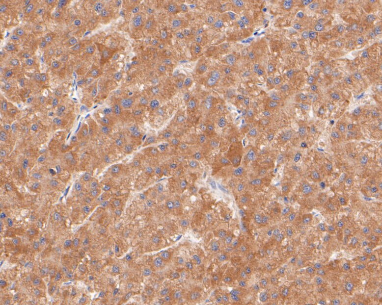
ER1902-06_3.jpg Fig3: Immunohistochemical analysis of paraffin-embedded human liver tissue using anti-KCNK2 antibody. The section was pre-treated using heat mediated antigen retrieval with Tris-EDTA buffer (pH 8.0-8.4) for 20 minutes.The tissues were blocked in 5% BSA for 30 minutes at room temperature, washed with ddH2O and PBS, and then probed with the primary antibody (ER1902-06, 1/100) for 30 minutes at room temperature. The detection was performed using an HRP conjugated compact polymer system. DAB was used as the chromogen. Tissues were counterstained with hematoxylin and mounted with DPX.
ER1902-06_4.jpg Fig4: Immunohistochemical analysis of paraffin-embedded human kidney tissue using anti-KCNK2 antibody. The section was pre-treated using heat mediated antigen retrieval with Tris-EDTA buffer (pH 8.0-8.4) for 20 minutes.The tissues were blocked in 5% BSA for 30 minutes at room temperature, washed with ddH2O and PBS, and then probed with the primary antibody (ER1902-06, 1/100) for 30 minutes at room temperature. The detection was performed using an HRP conjugated compact polymer system. DAB was used as the chromogen. Tissues were counterstained with hematoxylin and mounted with DPX.
ER1902-06_5.jpg Fig5: Immunohistochemical analysis of paraffin-embedded mouse brain tissue using anti-KCNK2 antibody. The section was pre-treated using heat mediated antigen retrieval with Tris-EDTA buffer (pH 8.0-8.4) for 20 minutes.The tissues were blocked in 5% BSA for 30 minutes at room temperature, washed with ddH2O and PBS, and then probed with the primary antibody (ER1902-06, 1/100) for 30 minutes at room temperature. The detection was performed using an HRP conjugated compact polymer system. DAB was used as the chromogen. Tissues were counterstained with hematoxylin and mounted with DPX.
ER1902-06_6.jpg Fig6: Flow cytometric analysis of KCNK2 was done on A549 cells. The cells were fixed, permeabilized and stained with the primary antibody (ER1902-06, 1/100) (red). After incubation of the primary antibody at room temperature for an hour, the cells were stained with a Alexa Fluor 488-conjugated goat anti-rabbit IgG Secondary antibody at 1/500 dilution for 30 minutes.Unlabelled sample was used as a control (cells without incubation with primary antibody; black).
ER1902-06_7.jpg Fig7: Western blot analysis of KCNK2 on different lysates with Rabbit anti-KCNK2 antibody (ER1902-06) at 1/1,000 dilution.

Lane 1: 293T cell lysate (20 µg/Lane)
Lane 2: Mouse brain tissue lysate (30 µg/Lane)

Predicted band size: 47 kDa
Observed band size: 47 kDa

Exposure time: 4 minutes;

4-20% SDS-PAGE gel.

Proteins were transferred to a PVDF membrane and blocked with 5% NFDM/TBST for 1 hour at room temperature. The primary antibody (ER1902-06) at 1/1,000 dilution was used in 5% NFDM/TBST at room temperature for 2 hours. Goat Anti-Rabbit IgG - HRP Secondary Antibody (HA1001) at 1:200,000 dilution was used for 1 hour at room temperature.
Note: All products are “FOR RESEARCH USE ONLY AND ARE NOT INTENDED FOR DIAGNOSTIC OR THERAPEUTIC USE”.