GSDMC Rabbit Polyclonal Antibody
cat.: ER1902-22
Product Type: Rabbit polyclonal IgG, primary antibodies
Species reactivity: Human
Applications: WB, IHC-P
Clonality: Polyclonal
Form: Liquid
Storage condition: Shipped at 4℃. Store at +4℃ short term (1-2 weeks). It is recommended to aliquot into single-use upon delivery. Store at -20℃ long term.
Storage buffer: 1*PBS (pH7.4), 0.2% BSA, 50% Glycerol. Preservative: 0.05% Sodium Azide.
Concentration: 1ug/ul
Purification: Immunogen affinity purified.
Molecular weight: Predicted band size: 58 kDa
Isotype: IgG
Immunogen: Recombinant protein within Human GSDMC aa 1-220 / 508.
Positive control: Human stomach tissue lysates, human lung tissue, human kidney tissue, A549.
Subcellular location: Cell membrane, Cytoplasm, Membrane.
Recommended Dilutions:
  WB
  IHC-P

1:1,000-1:2,000
1:50-1:200
Uniprot #: SwissProt: Q9BYG8 Human
Alternative names: Gasdermin C Gasdermin-C GSDMC GSDMC_HUMAN Melanoma derived leucine zipper, extra nuclear factor Melanoma-derived leucine zipper-containing extranuclear factor MLZE
Images
ER1902-22_1.jpg Fig1: Western blot analysis of GSDMC on human stomach tissue lysates. Proteins were transferred to a PVDF membrane and blocked with 5% BSA in PBS for 1 hour at room temperature. The primary antibody (ER1902-22, 1/1,000) was used in 5% BSA at room temperature for 2 hours. Goat Anti-Rabbit IgG - HRP Secondary Antibody (HA1001) at 1:5,000 dilution was used for 1 hour at room temperature.
ER1902-22_2.jpg Fig2: Immunohistochemical analysis of paraffin-embedded human lung tissue using anti-GSDMC antibody. The section was pre-treated using heat mediated antigen retrieval with Tris-EDTA buffer (pH 8.0-8.4) for 20 minutes.The tissues were blocked in 5% BSA for 30 minutes at room temperature, washed with ddH2O and PBS, and then probed with the primary antibody (ER1902-22, 1/200) for 30 minutes at room temperature. The detection was performed using an HRP conjugated compact polymer system. DAB was used as the chromogen. Tissues were counterstained with hematoxylin and mounted with DPX.
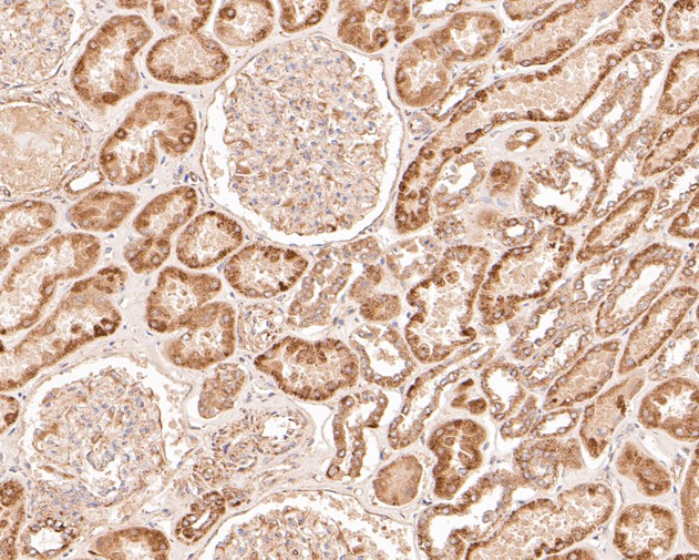
ER1902-22_3.jpg Fig3: Immunohistochemical analysis of paraffin-embedded human kidney tissue using anti-GSDMC antibody. The section was pre-treated using heat mediated antigen retrieval with Tris-EDTA buffer (pH 8.0-8.4) for 20 minutes.The tissues were blocked in 5% BSA for 30 minutes at room temperature, washed with ddH2O and PBS, and then probed with the primary antibody (ER1902-22, 1/200) for 30 minutes at room temperature. The detection was performed using an HRP conjugated compact polymer system. DAB was used as the chromogen. Tissues were counterstained with hematoxylin and mounted with DPX.
Note: All products are “FOR RESEARCH USE ONLY AND ARE NOT INTENDED FOR DIAGNOSTIC OR THERAPEUTIC USE”.