GABRA5 Rabbit Polyclonal Antibody
cat.: ER1902-82
Product Type: Rabbit polyclonal IgG, primary antibodies
Species reactivity: Human, Rat, Mouse
Applications: WB, IF-Tissue, IHC-P, FC
Clonality: Polyclonal
Form: Liquid
Storage condition: Shipped at 4℃. Store at +4℃ short term (1-2 weeks). It is recommended to aliquot into single-use upon delivery. Store at -20℃ long term.
Storage buffer: 1*PBS (pH7.4), 0.2% BSA, 50% Glycerol. Preservative: 0.05% Sodium Azide.
Concentration: 1ug/ul
Purification: Immunogen affinity purified.
Molecular weight: Predicted band size 52 kDa
Isotype: IgG
Immunogen: Synthetic peptide within mouse GABRA5 aa 346-395 / 463.
Positive control: Rat brain tissue lysates, rat brain tissue, mouse brain tissue, A549.
Subcellular location: Postsynaptic cell membrane, cell membrane.
Recommended Dilutions:
  WB
  IF-Tissue
  IHC-P
  FC

1:500-1:1,000
1:50-1:100
1:50-1:200
1:50-1:100
Uniprot #: SwissProt: P31644 Human | P19969 Rat | Q8BHJ7 Mouse
Alternative names: GAA 5 GAA5 GABA(A) receptor subunit alpha-5 GABRA 5 Gabra5 Gamma aminobutyric acid GABA A receptor alpha 5 Gamma aminobutyric acid GABA A receptor alpha 5 precursor Gamma aminobutyric acid receptor alpha 5 subunit precursor GABA A receptor Gamma-aminobutyric acid receptor subunit alpha-5 GBRA5_HUMAN GC138184
Images
ER1902-82_1.jpg Fig1: Western blot analysis of GABRA5 on rat brain tissue lysates. Proteins were transferred to a PVDF membrane and blocked with 5% BSA in PBS for 1 hour at room temperature. The primary antibody (ER1902-82, 1/500) was used in 5% BSA at room temperature for 2 hours. Goat Anti-Rabbit IgG - HRP Secondary Antibody (HA1001) at 1:5,000 dilution was used for 1 hour at room temperature.
ER1902-82_2.jpg Fig2: Immunofluorescence staining of paraffin- embedded rat brain tissue using anti-GABRA5 rabbit polyclonal antibody.The section was pre-treated using heat mediated antigen retrieval with Tris-EDTA buffer (pH 9.0) for 20 minutes. The tissues were blocked in 10% negative goat serum for 1 hour at room temperature, washed with PBS, and then probed with ER1902-82 at 1/50 dilution for 10 hours at 4℃ and detected using Alexa Fluor® 488 conjugate-Goat anti-Rabbit IgG (H+L) Secondary Antibody at a dilution of 1:500 for 1 hour at room temperature.
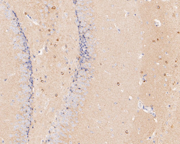
ER1902-82_3.jpg Fig3: Immunohistochemical analysis of paraffin-embedded rat brain tissue using anti-GABRA5 antibody. The section was pre-treated using heat mediated antigen retrieval with Tris-EDTA buffer (pH 9.0) for 20 minutes.The tissues were blocked in 5% BSA for 30 minutes at room temperature, washed with ddH2O and PBS, and then probed with the primary antibody (ER1902-82, 1/50) for 30 minutes at room temperature. The detection was performed using an HRP conjugated compact polymer system. DAB was used as the chromogen. Tissues were counterstained with hematoxylin and mounted with DPX.
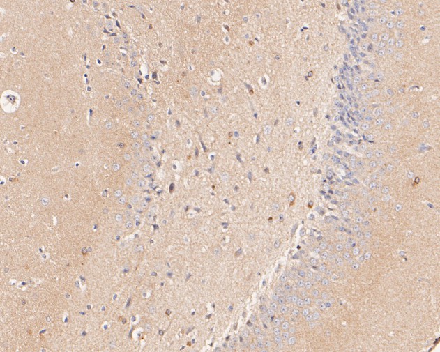
ER1902-82_4.jpg Fig4: Immunohistochemical analysis of paraffin-embedded mouse brain tissue using anti-GABRA5 antibody. The section was pre-treated using heat mediated antigen retrieval with Tris-EDTA buffer (pH 9.0) for 20 minutes.The tissues were blocked in 5% BSA for 30 minutes at room temperature, washed with ddH2O and PBS, and then probed with the primary antibody (ER1902-82, 1/200) for 30 minutes at room temperature. The detection was performed using an HRP conjugated compact polymer system. DAB was used as the chromogen. Tissues were counterstained with hematoxylin and mounted with DPX.
ER1902-82_5.jpg Fig5: Flow cytometric analysis of GABRA5 was done on A549 cells. The cells were fixed, permeabilized and stained with the primary antibody (ER1902-82, 1/50) (red). After incubation of the primary antibody at room temperature for an hour, the cells were stained with a Alexa Fluor 488-conjugated Goat anti-Rabbit IgG Secondary antibody at 1/1000 dilution for 30 minutes.Unlabelled sample was used as a control (cells without incubation with primary antibody; black).
Note: All products are “FOR RESEARCH USE ONLY AND ARE NOT INTENDED FOR DIAGNOSTIC OR THERAPEUTIC USE”.