TREM2 Rabbit Polyclonal Antibody
cat.: ER1902-96
Product Type: Rabbit polyclonal IgG, primary antibodies
Species reactivity: Human
Applications: WB, IHC-P, FC
Clonality: Polyclonal
Form: Liquid
Storage condition: Shipped at 4℃. Store at +4℃ short term (1-2 weeks). It is recommended to aliquot into single-use upon delivery. Store at -20℃ long term.
Storage buffer: 1*TBS (pH7.4), 0.2% BSA, 50% Glycerol. Preservative: 0.05% Sodium Azide.
Concentration: 1ug/ul
Purification: Immunogen affinity purified.
Molecular weight: Predicted band size: 25 kDa
Isotype: IgG
Immunogen: Synthetic peptide within human TREM2 aa 30-60.
Positive control: THP-1 cell lysates, human liver tissue, human liver carcinoma tissue, human colon carcinoma tissue, THP-1.
Subcellular location: Cell membrane, Secreted.
Recommended Dilutions:
  WB
  IHC-P
  FC

1:500-1:2,000
1:50-1:200
1:50-1:100
Uniprot #: SwissProt: Q9NZC2 Human
Alternative names: TREM 2 TREM-2 TREM2 TREM2_HUMAN TREM2a TREM2b TREM2c Trggering receptor expressed on myeloid cells 2 Trggering receptor expressed on myeloid cells 2a Triggering receptor expressed on monocytes 2 Triggering receptor expressed on myeloid cells 2
Images
ER1902-96_1.jpg Fig1: Western blot analysis of TREM2 on different lysates with Rabbit anti-TREM2 antibody (ER1902-96) at 1/1,000 dilution.

Lane 1: THP-1 cell lysate
Lane 2: Jurkat cell lysate (negative)
Lane 3: HL-60 cell lysate (negative)

Lysates/proteins at 20 µg/Lane.

Predicted band size: 25 kDa
Observed band size: 28 kDa

Exposure time: 59 seconds; ECL: K1801;

4-20% SDS-PAGE gel.

Proteins were transferred to a PVDF membrane and blocked with 5% NFDM/TBST for 1 hour at room temperature. The primary antibody (ER1902-96) at 1/1,000 dilution was used in 5% NFDM/TBST at 4℃ overnight. Goat Anti-Rabbit IgG - HRP Secondary Antibody (HA1001) at 1/50,000 dilution was used for 1 hour at room temperature.
ER1902-96_2.jpg Fig2: Immunohistochemical analysis of paraffin-embedded human liver tissue using anti-TREM2 antibody. The section was pre-treated using heat mediated antigen retrieval with Tris-EDTA buffer (pH 8.0-8.4) for 20 minutes.The tissues were blocked in 5% BSA for 30 minutes at room temperature, washed with ddH2O and PBS, and then probed with the primary antibody (ER1902-96, 1/50) for 30 minutes at room temperature. The detection was performed using an HRP conjugated compact polymer system. DAB was used as the chromogen. Tissues were counterstained with hematoxylin and mounted with DPX.
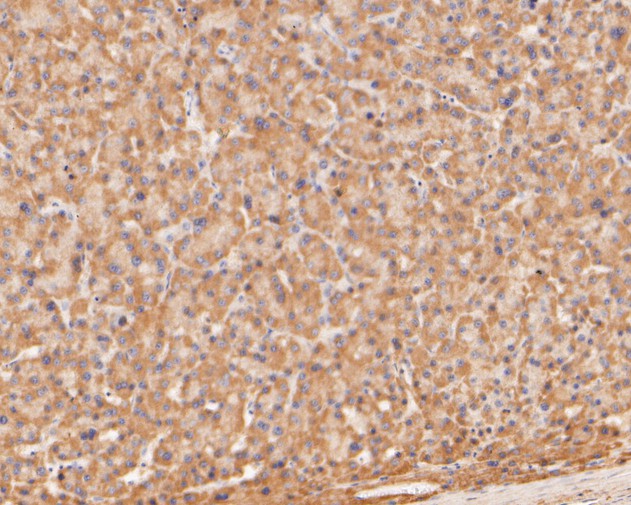
ER1902-96_3.jpg Fig3: Immunohistochemical analysis of paraffin-embedded human liver carcinoma tissue using anti-TREM2 antibody. The section was pre-treated using heat mediated antigen retrieval with Tris-EDTA buffer (pH 8.0-8.4) for 20 minutes.The tissues were blocked in 5% BSA for 30 minutes at room temperature, washed with ddH2O and PBS, and then probed with the primary antibody (ER1902-96, 1/50) for 30 minutes at room temperature. The detection was performed using an HRP conjugated compact polymer system. DAB was used as the chromogen. Tissues were counterstained with hematoxylin and mounted with DPX.
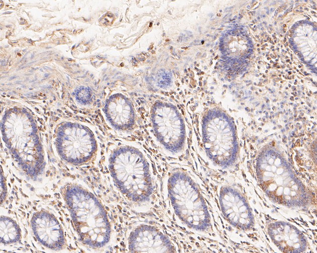
ER1902-96_4.jpg Fig4: Immunohistochemical analysis of paraffin-embedded human colon carcinoma tissue using anti-TREM2 antibody. The section was pre-treated using heat mediated antigen retrieval with Tris-EDTA buffer (pH 8.0-8.4) for 20 minutes.The tissues were blocked in 5% BSA for 30 minutes at room temperature, washed with ddH2O and PBS, and then probed with the primary antibody (ER1902-96, 1/50) for 30 minutes at room temperature. The detection was performed using an HRP conjugated compact polymer system. DAB was used as the chromogen. Tissues were counterstained with hematoxylin and mounted with DPX.
ER1902-96_5.jpg Fig5: Flow cytometric analysis of TREM2 was done on THP-1 cells. The cells were fixed, permeabilized and stained with the primary antibody (ER1902-96, 1/50) (red). After incubation of the primary antibody at room temperature for an hour, the cells were stained with a Alexa Fluor 488-conjugated Goat anti-Rabbit IgG Secondary antibody at 1/1000 dilution for 30 minutes.Unlabelled sample was used as a control (cells without incubation with primary antibody; black).
Note: All products are “FOR RESEARCH USE ONLY AND ARE NOT INTENDED FOR DIAGNOSTIC OR THERAPEUTIC USE”.