Galectin 9 Rabbit Polyclonal Antibody
cat.: ER1909-31
Product Type: Rabbit polyclonal IgG, primary antibodies
Species reactivity: Human, Mouse, Rat
Applications: WB, IHC-P
Clonality: Polyclonal
Form: Liquid
Storage condition: Shipped at 4℃. Store at +4℃ short term (1-2 weeks). It is recommended to aliquot into single-use upon delivery. Store at -20℃ long term.
Storage buffer: PBS (pH7.4), 0.1% BSA, 40% Glycerol. Preservative: 0.05% Sodium Azide.
Concentration: 1ug/ul
Purification: Protein A affinity purified.
Molecular weight: Predicted band size: 40 kDa
Isotype: IgG
Immunogen: Synthetic peptide within human Galectin 9 aa 51-100 / 355.
Positive control: THP-1 cell lysate, Mouse liver tissue lysate, Mouse colon tissue lysate, Rat colon tissue lysate, mouse colon tissue.
Subcellular location: Cytoplasm, Nucleus, Secreted.
Recommended Dilutions:
  WB
  IHC-P

1:2,000
1:1,000
Uniprot #: SwissProt: O00182 Human | O08573 Mouse | P97840 Rat
Alternative names: 36 kDa beta-galactoside-binding lectin Ecalectin Gal-9 galectin 9 Galectin-9 galectin9 HOM HD 21 HOMHD21 HUAT Lectin galactoside binding soluble 9 LEG9_HUMAN LGAL S9 LGALS 9 Lgals9 LGALS9A MGC117375 MGC125973 MGC125974 Tumor antigen HOM-HD-21 UAT Urate transporter/channel Urate transporter/channel protein
Images
ER1909-31_1.jpg Fig1: Western blot analysis of Galectin 9 on different lysates with Rabbit anti-Galectin 9 antibody (ER1909-31) at 1/2,000 dilution.

Lane 1: THP-1 cell lysate (20 µg/Lane)
Lane 2: Mouse liver tissue lysate (40 µg/Lane)
Lane 3: Mouse colon tissue lysate (40 µg/Lane)
Lane 4: Rat colon tissue lysate (40 µg/Lane)

Predicted band size: 40 kDa
Observed band size: 34 kDa

Exposure time: 1 minute; ECL: K1801;

4-20% SDS-PAGE gel.

Proteins were transferred to a PVDF membrane and blocked with 5% NFDM/TBST for 1 hour at room temperature. The primary antibody (ER1909-31) at 1/2,000 dilution was used in 5% NFDM/TBST at 4℃ overnight. Goat Anti-Rabbit IgG - HRP Secondary Antibody (HA1001) at 1/50,000 dilution was used for 1 hour at room temperature.
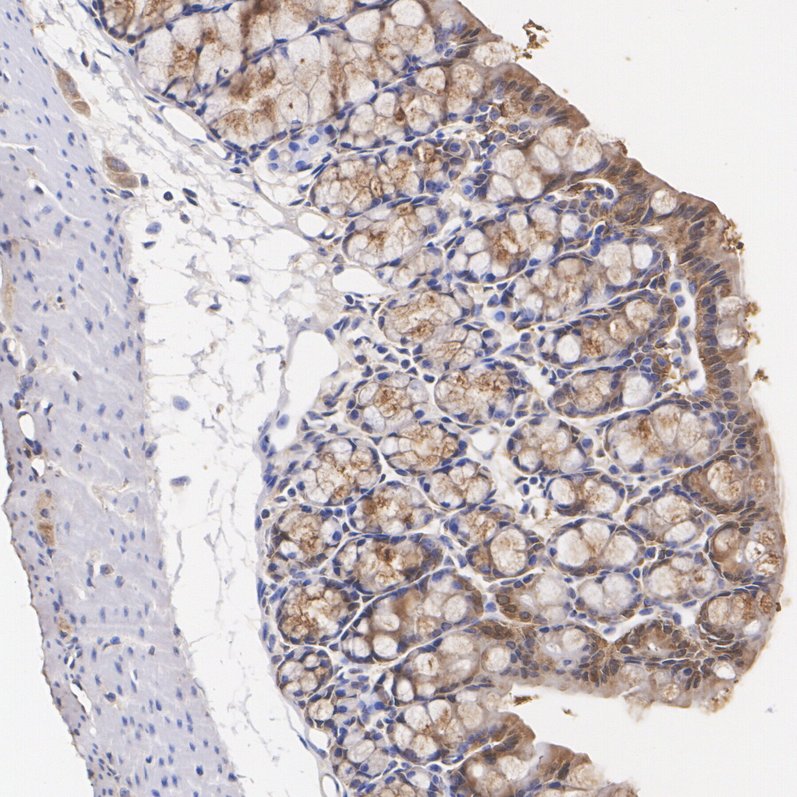
ER1909-31_2.jpg Fig2: Immunohistochemical analysis of paraffin-embedded mouse colon tissue with Rabbit anti-Galectin 9 antibody (ER1909-31) at 1/1,000 dilution.

The section was pre-treated using heat mediated antigen retrieval with Tris-EDTA buffer (pH 9.0) for 20 minutes. The tissues were blocked in 1% BSA for 20 minutes at room temperature, washed with ddH2O and PBS, and then probed with the primary antibody (ER1909-31) at 1/1,000 dilution for 1 hour at room temperature. The detection was performed using an HRP conjugated compact polymer system. DAB was used as the chromogen. Tissues were counterstained with hematoxylin and mounted with DPX.
Note: All products are “FOR RESEARCH USE ONLY AND ARE NOT INTENDED FOR DIAGNOSTIC OR THERAPEUTIC USE”.