TRIM21 Rabbit Polyclonal Antibody
cat.: ER1918-07
Product Type: Rabbit polyclonal IgG, primary antibodies
Species reactivity: Human, Mouse, Rat
Applications: WB, IHC-P
Clonality: Polyclonal
Form: Liquid
Storage condition: Shipped at 4℃. Store at +4℃ short term (1-2 weeks). It is recommended to aliquot into single-use upon delivery. Store at -20℃ long term.
Storage buffer: PBS (pH7.4), 0.1% BSA, 40% Glycerol. Preservative: 0.05% Sodium Azide.
Concentration: 2ug/ul
Purification: Immunogen affinity purified.
Molecular weight: Predicted band size: 54 kDa
Isotype: IgG
Immunogen: Recombinant protein within human TRIM21 aa 1-475 (P19474).
Positive control: HeLa cell lysate, HeLa treated with 10ng/mL IFN-α for 16 hours cell lysate, A549 cell lysate, human tonsil tissue, human spleen tissue, mouse spleen tissue, rat spleen tissue.
Subcellular location: Cytoplasm, Cytoplasmic vesicle, autophagosome, Nucleus, P-body.
Recommended Dilutions:
  WB
  IHC-P

1:2,000
1:200-1:1,000
Uniprot #: SwissProt: P19474 Human | Q62191 Mouse
Entrez Gene: 308901 Rat
Alternative names: 52 kDa ribonucleoprotein autoantigen Ro/SS-A 52 kDa Ro protein 52kD Ro/SSA autoantigen Autoantigen Ro/SSA, 52-KD E3 ubiquitin-protein ligase TRIM21 RING finger protein 81 RNF81 Ro 52 Ro(SS-A) Ro52 RO52_HUMAN Sicca syndrome antigen A Sjoegren syndrome type A antigen Sjogren syndrome antigen A1 Sjogren syndrome type A antigen SS-A SSA SSA1: Sjogren syndrome antigen A1 (52kDa ribonucleoprotein autoantigen SS-A/Ro) TRIM21 Tripartite motif protein TRIM21 Tripartite motif-containing 21 Tripartite motif-containing protein 21
Images
ER1918-07_1.jpg Fig1: Western blot analysis of TRIM21 on different lysates with Rabbit anti-TRIM21 antibody (ER1918-07) at 1/2,000 dilution.

Lane 1: HeLa cell lysate
Lane 2: HeLa treated with 10ng/mL IFN-α for 16 hours cell lysate
Lane 3: A549-si NT cell lysate
Lane 4: A549-si TRIM21 cell lysate

Lysates/proteins at 10 µg/Lane.

Predicted band size: 54 kDa
Observed band size: 50 kDa

Exposure time: 10 seconds; ECL: K1801;

4-20% SDS-PAGE gel.

Proteins were transferred to a PVDF membrane and blocked with 5% NFDM/TBST for 1 hour at room temperature. The primary antibody (ER1918-07) at 1/2,000 dilution was used in 5% NFDM/TBST at room temperature for 2 hours. Goat Anti-Rabbit IgG - HRP Secondary Antibody (HA1001) at 1/50,000 dilution was used for 1 hour at room temperature.
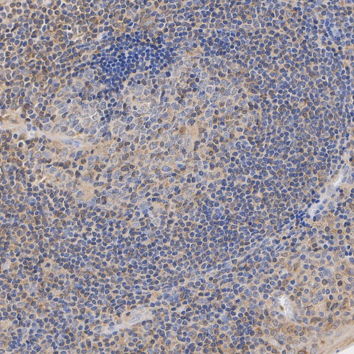
ER1918-07_2.jpg Fig2: Immunohistochemical analysis of paraffin-embedded human tonsil tissue with Rabbit anti-TRIM21 antibody (ER1918-07) at 1/1,000 dilution.

The section was pre-treated using heat mediated antigen retrieval with Tris-EDTA buffer (pH 9.0) for 20 minutes. The tissues were blocked in 1% BSA for 20 minutes at room temperature, washed with ddH2O and PBS, and then probed with the primary antibody (ER1918-07) at 1/1,000 dilution for 1 hour at room temperature. The detection was performed using an HRP conjugated compact polymer system. DAB was used as the chromogen. Tissues were counterstained with hematoxylin and mounted with DPX.
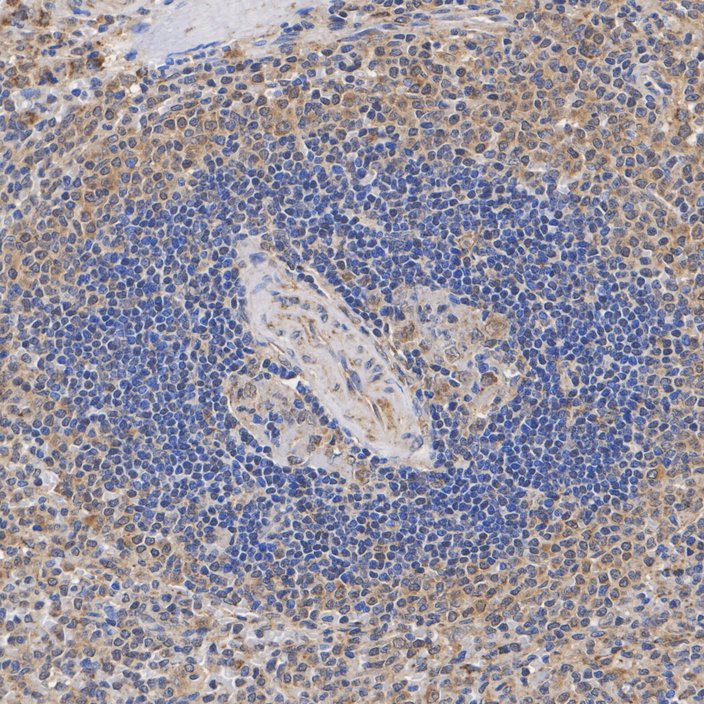
ER1918-07_3.jpg Fig3: Immunohistochemical analysis of paraffin-embedded human spleen tissue with Rabbit anti-TRIM21 antibody (ER1918-07) at 1/1,000 dilution.

The section was pre-treated using heat mediated antigen retrieval with Tris-EDTA buffer (pH 9.0) for 20 minutes. The tissues were blocked in 1% BSA for 20 minutes at room temperature, washed with ddH2O and PBS, and then probed with the primary antibody (ER1918-07) at 1/1,000 dilution for 1 hour at room temperature. The detection was performed using an HRP conjugated compact polymer system. DAB was used as the chromogen. Tissues were counterstained with hematoxylin and mounted with DPX.
ER1918-07_4.jpg Fig4: Immunohistochemical analysis of paraffin-embedded mouse spleen tissue with Rabbit anti-TRIM21 antibody (ER1918-07) at 1/1,000 dilution.

The section was pre-treated using heat mediated antigen retrieval with Tris-EDTA buffer (pH 9.0) for 20 minutes. The tissues were blocked in 1% BSA for 20 minutes at room temperature, washed with ddH2O and PBS, and then probed with the primary antibody (ER1918-07) at 1/1,000 dilution for 1 hour at room temperature. The detection was performed using an HRP conjugated compact polymer system. DAB was used as the chromogen. Tissues were counterstained with hematoxylin and mounted with DPX.
ER1918-07_5.jpg Fig5: Immunohistochemical analysis of paraffin-embedded rat spleen tissue with Rabbit anti-TRIM21 antibody (ER1918-07) at 1/1,000 dilution.

The section was pre-treated using heat mediated antigen retrieval with Tris-EDTA buffer (pH 9.0) for 20 minutes. The tissues were blocked in 1% BSA for 20 minutes at room temperature, washed with ddH2O and PBS, and then probed with the primary antibody (ER1918-07) at 1/1,000 dilution for 1 hour at room temperature. The detection was performed using an HRP conjugated compact polymer system. DAB was used as the chromogen. Tissues were counterstained with hematoxylin and mounted with DPX.
Note: All products are “FOR RESEARCH USE ONLY AND ARE NOT INTENDED FOR DIAGNOSTIC OR THERAPEUTIC USE”.