CD28 Rabbit Polyclonal Antibody
cat.: ER2001-42
Product Type: Rabbit polyclonal IgG, primary antibodies
Species reactivity: Human, Mouse, Rat
Applications: WB, IHC-P, FC
Clonality: Polyclonal
Form: Liquid
Storage condition: Shipped at 4℃. Store at +4℃ short term (1-2 weeks). It is recommended to aliquot into single-use upon delivery. Store at -20℃ long term.
Storage buffer: 1*TBS (pH7.4), 0.2% BSA, 50% Glycerol. Preservative: 0.05% Sodium Azide.
Concentration: 1ug/ul
Purification: Immunogen affinity purified.
Molecular weight: Predicted band size: 25 kDa.
Isotype: IgG
Immunogen: Synthetic peptide within human CD28 aa 170-220.
Positive control: Mouse spleen tissue lysate, U937 cell lysate, rat spleen tissue, human tonsils tissue, human spleen tissue, mouse spleen tissue, Jurkat.
Subcellular location: Membrane.
Recommended Dilutions:
  WB
  IHC-P
  FC

1:500-1:1,000
1:50-1:200
1:100-1:500
Uniprot #: SwissProt: P10747 Human | P31041 Mouse | P31042 Rat
Alternative names: CD 28 CD28 CD28 antigen CD28 molecule CD28_HUMAN MGC138290 T cell antigen CD28 T cell specific surface glycoprotein T cell specific surface glycoprotein CD28 T-cell-specific surfac
Images
ER2001-42_1.jpg Fig1: Western blot analysis of CD28 on different lysates. Proteins were transferred to a PVDF membrane and blocked with 5% BSA in PBS for 1 hour at room temperature. The primary antibody (ER2001-42, 1/500) was used in 5% BSA at room temperature for 2 hours. Goat Anti-Rabbit IgG - HRP Secondary Antibody (HA1001) at 1:5,000 dilution was used for 1 hour at room temperature.
Positive control:
Lane 1: Mouse spleen tissue lysate
Lane 2: U937 cell lysate
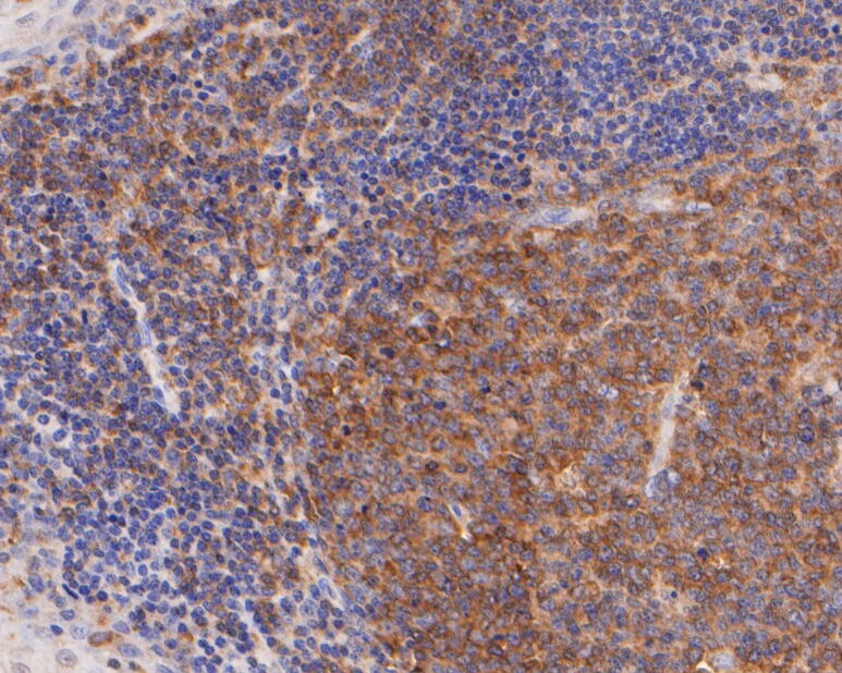
ER2001-42_2.jpg Fig2: Immunohistochemical analysis of paraffin-embedded rat spleen tissue using anti-CD28 antibody. The section was pre-treated using heat mediated antigen retrieval with Tris-EDTA buffer (pH 8.0-8.4) for 20 minutes.The tissues were blocked in 5% BSA for 30 minutes at room temperature, washed with ddH2O and PBS, and then probed with the primary antibody (ER2001-42, 1/100) for 30 minutes at room temperature. The detection was performed using an HRP conjugated compact polymer system. DAB was used as the chromogen. Tissues were counterstained with hematoxylin and mounted with DPX.
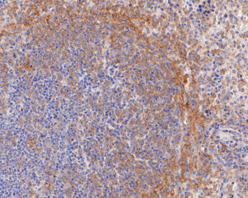
ER2001-42_3.jpg Fig3: Immunohistochemical analysis of paraffin-embedded human tonsils tissue using anti-CD28 antibody. The section was pre-treated using heat mediated antigen retrieval with Tris-EDTA buffer (pH 8.0-8.4) for 20 minutes.The tissues were blocked in 5% BSA for 30 minutes at room temperature, washed with ddH2O and PBS, and then probed with the primary antibody (ER2001-42, 1/400) for 30 minutes at room temperature. The detection was performed using an HRP conjugated compact polymer system. DAB was used as the chromogen. Tissues were counterstained with hematoxylin and mounted with DPX.
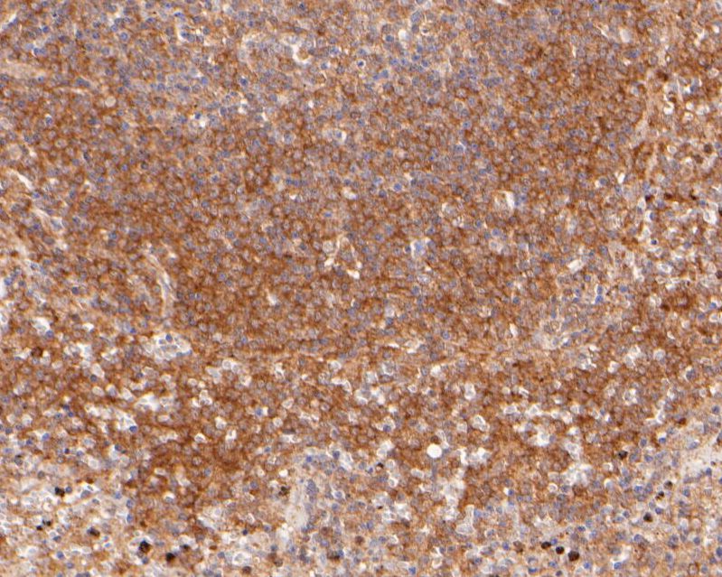
ER2001-42_4.jpg Fig4: Immunohistochemical analysis of paraffin-embedded human spleen tissue using anti-CD28 antibody. The section was pre-treated using heat mediated antigen retrieval with Tris-EDTA buffer (pH 8.0-8.4) for 20 minutes.The tissues were blocked in 5% BSA for 30 minutes at room temperature, washed with ddH2O and PBS, and then probed with the primary antibody (ER2001-42, 1/400) for 30 minutes at room temperature. The detection was performed using an HRP conjugated compact polymer system. DAB was used as the chromogen. Tissues were counterstained with hematoxylin and mounted with DPX.
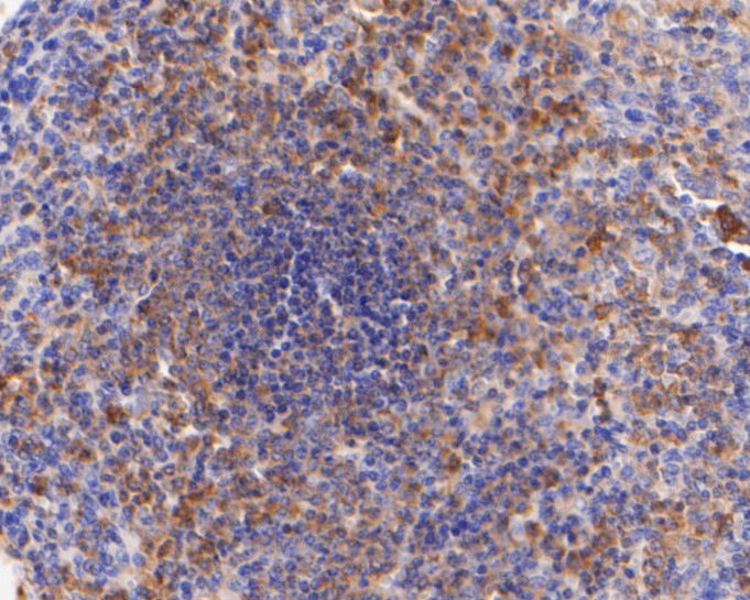
ER2001-42_5.jpg Fig5: Immunohistochemical analysis of paraffin-embedded mouse spleen tissue using anti-CD28 antibody. The section was pre-treated using heat mediated antigen retrieval with Tris-EDTA buffer (pH 8.0-8.4) for 20 minutes.The tissues were blocked in 5% BSA for 30 minutes at room temperature, washed with ddH2O and PBS, and then probed with the primary antibody (ER2001-42, 1/400) for 30 minutes at room temperature. The detection was performed using an HRP conjugated compact polymer system. DAB was used as the chromogen. Tissues were counterstained with hematoxylin and mounted with DPX.
ER2001-42_6.jpg Fig6: Flow cytometric analysis of CD28 was done on Jurkat cells. The cells were fixed, permeabilized and stained with the primary antibody (ER2001-42, 1/50) (red). After incubation of the primary antibody at room temperature for an hour, the cells were stained with a Alexa Fluor 488-conjugated Goat anti-Rabbit IgG Secondary antibody at 1/1000 dilution for 30 minutes.Unlabelled sample was used as a control (cells without incubation with primary antibody; black).
Note: All products are “FOR RESEARCH USE ONLY AND ARE NOT INTENDED FOR DIAGNOSTIC OR THERAPEUTIC USE”.