Foxk2 Rabbit Polyclonal Antibody
cat.: ER2001-47
Product Type: Rabbit polyclonal IgG, primary antibodies
Species reactivity: Human, Mouse, Rat
Applications: WB, IHC-P, FC
Clonality: Polyclonal
Form: Liquid
Storage condition: Shipped at 4℃. Store at +4℃ short term (1-2 weeks). It is recommended to aliquot into single-use upon delivery. Store at -20℃ long term.
Storage buffer: 1*TBS (pH7.4), 0.2% BSA, 50% Glycerol. Preservative: 0.05% Sodium Azide.
Concentration: 1ug/ul
Purification: Immunogen affinity purified.
Molecular weight: 68 kDa
Isotype: IgG
Immunogen: Recombinant protein within mouse Foxk2 aa 1-350.
Positive control: 293 cell lysates, mouse lung tissue, mouse colon tissue, mouse brain tissue, SHSY5Y.
Subcellular location: Cytoplasm, Nucleus.
Recommended Dilutions:
  WB
  IHC-P
  FC

1:1,000-1:5,000
1:200-1:1,000
1:50-1:200
Uniprot #: SwissProt: Q01167 Human | Q3UCQ1 Mouse
Alternative names: Cellular transcription factor ILF 1 Cellular transcription factor ILF-1 Cellular transcription factor ILF1 Forkhead box K2 Forkhead box protein K2 FOX K1 FOX K2 FOXK 1 FOXK 2 FOXK1 foxk2 FOXK2_HUMAN ILF 1 ILF Interleukin enhancer binding factor 1 Interleukin enhancer-binding factor 1
Images
ER2001-47_1.jpg Fig1: Western blot analysis of Foxk2 on 293 cell lysates. Proteins were transferred to a PVDF membrane and blocked with 5% BSA in PBS for 1 hour at room temperature. The primary antibody (ER2001-47, 1/500) was used in 5% BSA at room temperature for 2 hours. Goat Anti-Rabbit IgG - HRP Secondary Antibody (HA1001) at 1:5,000 dilution was used for 1 hour at room temperature.
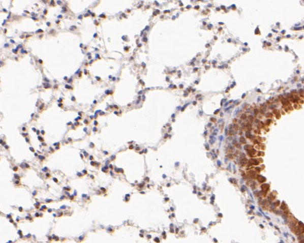
ER2001-47_2.jpg Fig2: Immunohistochemical analysis of paraffin-embedded mouse lung tissue using anti-Foxk2 antibody. The section was pre-treated using heat mediated antigen retrieval with sodium citrate buffer (pH 6.0) for 20 minutes. The tissues were blocked in 5% BSA for 30 minutes at room temperature, washed with ddH2O and PBS, and then probed with the primary antibody (ER2001-47, 1/200) for 30 minutes at room temperature. The detection was performed using an HRP conjugated compact polymer system. DAB was used as the chromogen. Tissues were counterstained with hematoxylin and mounted with DPX.
ER2001-47_3.jpg Fig3: Immunohistochemical analysis of paraffin-embedded mouse colon tissue using anti-Foxk2 antibody. The section was pre-treated using heat mediated antigen retrieval with sodium citrate buffer (pH 6.0) for 20 minutes. The tissues were blocked in 5% BSA for 30 minutes at room temperature, washed with ddH2O and PBS, and then probed with the primary antibody (ER2001-47, 1/500) for 30 minutes at room temperature. The detection was performed using an HRP conjugated compact polymer system. DAB was used as the chromogen. Tissues were counterstained with hematoxylin and mounted with DPX.
ER2001-47_4.jpg Fig4: Immunohistochemical analysis of paraffin-embedded mouse brain tissue using anti-Foxk2 antibody. The section was pre-treated using heat mediated antigen retrieval with sodium citrate buffer (pH 6.0) for 20 minutes. The tissues were blocked in 5% BSA for 30 minutes at room temperature, washed with ddH2O and PBS, and then probed with the primary antibody (ER2001-47, 1/500) for 30 minutes at room temperature. The detection was performed using an HRP conjugated compact polymer system. DAB was used as the chromogen. Tissues were counterstained with hematoxylin and mounted with DPX.
ER2001-47_5.jpg Fig5: Flow cytometric analysis of Foxk2 was done on SHSY5Y cells. The cells were fixed, permeabilized and stained with the primary antibody (ER2001-47, 1/50) (red). After incubation of the primary antibody at room temperature for an hour, the cells were stained with a Alexa Fluor 488-conjugated Goat anti-Rabbit IgG Secondary antibody at 1/1000 dilution for 30 minutes.Unlabelled sample was used as a control (cells without incubation with primary antibody; black).
Note: All products are “FOR RESEARCH USE ONLY AND ARE NOT INTENDED FOR DIAGNOSTIC OR THERAPEUTIC USE”.