eIF-6 Rabbit Polyclonal Antibody
cat.: ER2001-54
Product Type: Rabbit polyclonal IgG, primary antibodies
Species reactivity: Human, Mouse
Applications: WB, IHC-P, FC
Clonality: Polyclonal
Form: Liquid
Storage condition: Shipped at 4℃. Store at +4℃ short term (1-2 weeks). It is recommended to aliquot into single-use upon delivery. Store at -20℃ long term.
Storage buffer: 1*TBS (pH7.4), 0.2% BSA, 50% Glycerol. Preservative: 0.05% Sodium Azide.
Concentration: 1ug/ul
Purification: Immunogen affinity purified.
Molecular weight: 26 kDa
Isotype: IgG
Immunogen: Recombinant protein within human eIF-6 aa 1-200.
Positive control: SHSY5Y cell lysate, A549 cell lysate, HepG2 cell lysate, human colon tissue, mouse colon tissue, SW620.
Subcellular location: Centromere, Chromosome, Nucleus.
Recommended Dilutions:
  WB
  IHC-P
  FC

1:500-1:1,000
1:500-1:2,000
1:50-1:100
Uniprot #: SwissProt: P56537 Human | O55135 Mouse
Alternative names: b(2)gcn B(2)GCN homolog B4 integrin interactor Binding protein of beta-4 integrin CAB eIF-6 EIF3A EIF6 Eukaryotic translation initiation factor 3A Eukaryotic translation initiation factor 6 IF6_HUMAN Integrin beta 4 binding protein ITGB4BP OK/SW-cl.27 p27 beta 4 integrin binding protein p27(BBP) p27BBP RP4-614O4.1
Images
ER2001-54_1.jpg Fig1: Western blot analysis of eIF-6 on different lysates. Proteins were transferred to a PVDF membrane and blocked with 5% BSA in PBS for 1 hour at room temperature. The primary antibody (ER2001-54, 1/500) was used in 5% BSA at room temperature for 2 hours. Goat Anti-Rabbit IgG - HRP Secondary Antibody (HA1001) at 1:5,000 dilution was used for 1 hour at room temperature.
Positive control:
Lane 1: SHSY5Y cell lysate
Lane 2: A549 cell lysate
Lane 3: HepG2 cell lysate
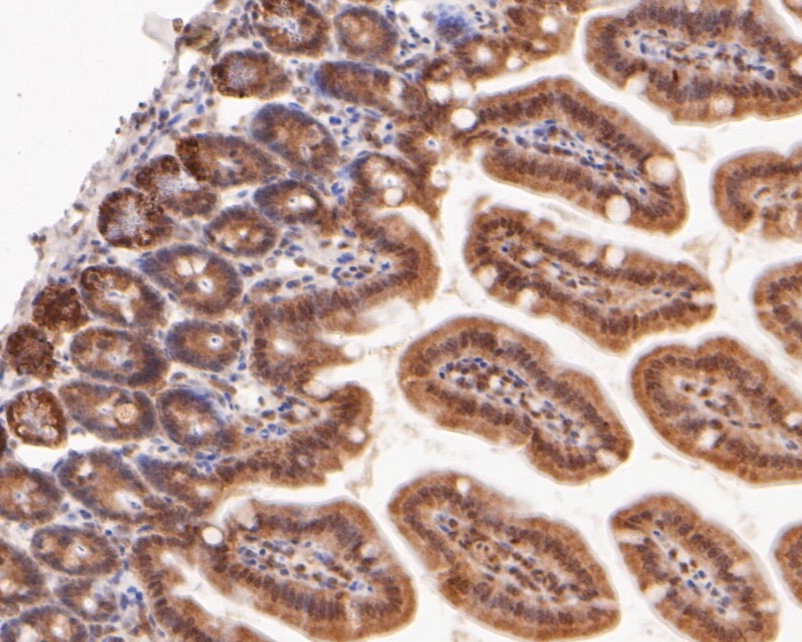
ER2001-54_2.jpg Fig2: Immunohistochemical analysis of paraffin-embedded human colon tissue using anti-eIF-6 antibody. The section was pre-treated using heat mediated antigen retrieval with sodium citrate buffer (pH 6.0) for 20 minutes. The tissues were blocked in 5% BSA for 30 minutes at room temperature, washed with ddH2O and PBS, and then probed with the primary antibody (ER2001-54, 1/2,000) for 30 minutes at room temperature. The detection was performed using an HRP conjugated compact polymer system. DAB was used as the chromogen. Tissues were counterstained with hematoxylin and mounted with DPX.
ER2001-54_3.jpg Fig3: Immunohistochemical analysis of paraffin-embedded mouse colon tissue using anti-eIF-6 antibody. The section was pre-treated using heat mediated antigen retrieval with sodium citrate buffer (pH 6.0) for 20 minutes. The tissues were blocked in 5% BSA for 30 minutes at room temperature, washed with ddH2O and PBS, and then probed with the primary antibody (ER2001-54, 1/2,000) for 30 minutes at room temperature. The detection was performed using an HRP conjugated compact polymer system. DAB was used as the chromogen. Tissues were counterstained with hematoxylin and mounted with DPX.
ER2001-54_4.jpg Fig4: Flow cytometric analysis of eIF-6 was done on SW620 cells. The cells were fixed, permeabilized and stained with the primary antibody (ER2001-54, 1/50) (red). After incubation of the primary antibody at room temperature for an hour, the cells were stained with a Alexa Fluor 488-conjugated Goat anti-Rabbit IgG Secondary antibody at 1/1000 dilution for 30 minutes.Unlabelled sample was used as a control (cells without incubation with primary antibody; black).
Note: All products are “FOR RESEARCH USE ONLY AND ARE NOT INTENDED FOR DIAGNOSTIC OR THERAPEUTIC USE”.