hNaa50p Rabbit Polyclonal Antibody
cat.: ER2001-66
Product Type: Rabbit polyclonal IgG, primary antibodies
Species reactivity: Human, Mouse, Rat
Applications: WB, IHC-P, FC
Clonality: Polyclonal
Form: Liquid
Storage condition: Shipped at 4℃. Store at +4℃ short term (1-2 weeks). It is recommended to aliquot into single-use upon delivery. Store at -20℃ long term.
Storage buffer: 1*TBS (pH7.4), 0.2% BSA, 50% Glycerol. Preservative: 0.05% Sodium Azide.
Concentration: 1ug/ul
Purification: Immunogen affinity purified.
Molecular weight: Predicted band size: 19/9 kDa.
Isotype: IgG
Immunogen: Synthetic peptide within human hNaa50p aa 1-50.
Positive control: A431 cell lysate, Hela cell lysate, mouse stomach tissue lysate, rat cerebellum tissue lysate, rat brain tissue, human thyroid tissue, rat cerebellum tissue, human skin tissue, human breast carcinoma tissue, Daudi.
Subcellular location: Cytoplasm, Nucleus.
Recommended Dilutions:
  WB
  IHC-P
  FC

1:500-1:1,000
1:200-1:1,000
1:50-1:200
Uniprot #: SwissProt: Q9GZZ1 Human | Q6PGB6 Mouse
Alternative names: MAK3 FLJ13194 hNAT5 hSAN Mak3 homolog (S. cerevisiae) Mak3 homolog N-acetyltransferase 13 (GCN5-related) N-acetyltransferase 13 N-acetyltransferase 5 N-acetyltransferase san homolog N-alpha-acetyltransferase 50 N-alpha-acetyltransferase 50, NatE catalytic subunit Naa50 NAA50_HUMAN NAT 5 NAT13 NAT5 NatE catalytic subunit San
Images
ER2001-66_1.jpg Fig1: Western blot analysis of hNaa50p on different lysates. Proteins were transferred to a PVDF membrane and blocked with 5% BSA in PBS for 1 hour at room temperature. The primary antibody (ER2001-66, 1/500) was used in 5% BSA at room temperature for 2 hours. Goat Anti-Rabbit IgG - HRP Secondary Antibody (HA1001) at 1:5,000 dilution was used for 1 hour at room temperature.
Positive control:
Lane 1: A431 cell lysate
Lane 2: Hela cell lysate
Lane 3: Mouse stomach tissue lysate
Lane 4: Rat cerebellum tissue lysate
ER2001-66_2.jpg Fig2: Immunohistochemical analysis of paraffin-embedded rat brain tissue using anti-hNaa50p antibody. The section was pre-treated using heat mediated antigen retrieval with sodium citrate buffer (pH 6.0) for 20 minutes. The tissues were blocked in 5% BSA for 30 minutes at room temperature, washed with ddH2O and PBS, and then probed with the primary antibody (ER2001-66, 1/800) for 30 minutes at room temperature. The detection was performed using an HRP conjugated compact polymer system. DAB was used as the chromogen. Tissues were counterstained with hematoxylin and mounted with DPX.
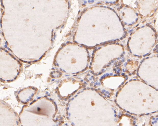
ER2001-66_3.jpg Fig3: Immunohistochemical analysis of paraffin-embedded human thyroid tissue using anti-hNaa50p antibody. The section was pre-treated using heat mediated antigen retrieval with sodium citrate buffer (pH 6.0) for 20 minutes. The tissues were blocked in 5% BSA for 30 minutes at room temperature, washed with ddH2O and PBS, and then probed with the primary antibody (ER2001-66, 1/500) for 30 minutes at room temperature. The detection was performed using an HRP conjugated compact polymer system. DAB was used as the chromogen. Tissues were counterstained with hematoxylin and mounted with DPX.
ER2001-66_4.jpg Fig4: Immunohistochemical analysis of paraffin-embedded rat cerebellum tissue using anti-hNaa50p antibody. The section was pre-treated using heat mediated antigen retrieval with sodium citrate buffer (pH 6.0) for 20 minutes. The tissues were blocked in 5% BSA for 30 minutes at room temperature, washed with ddH2O and PBS, and then probed with the primary antibody (ER2001-66, 1/400) for 30 minutes at room temperature. The detection was performed using an HRP conjugated compact polymer system. DAB was used as the chromogen. Tissues were counterstained with hematoxylin and mounted with DPX.
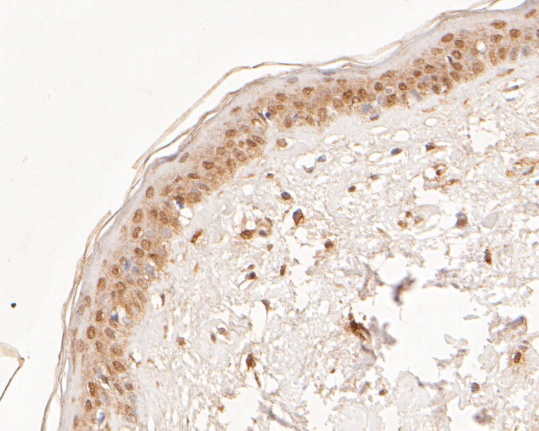
ER2001-66_5.jpg Fig5: Immunohistochemical analysis of paraffin-embedded human skin tissue using anti-hNaa50p antibody. The section was pre-treated using heat mediated antigen retrieval with sodium citrate buffer (pH 6.0) for 20 minutes. The tissues were blocked in 5% BSA for 30 minutes at room temperature, washed with ddH2O and PBS, and then probed with the primary antibody (ER2001-66, 1/500) for 30 minutes at room temperature. The detection was performed using an HRP conjugated compact polymer system. DAB was used as the chromogen. Tissues were counterstained with hematoxylin and mounted with DPX.
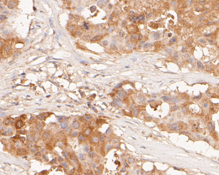
ER2001-66_6.jpg Fig6: Immunohistochemical analysis of paraffin-embedded human breast carcinoma tissue using anti-hNaa50p antibody. The section was pre-treated using heat mediated antigen retrieval with sodium citrate buffer (pH 6.0) for 20 minutes. The tissues were blocked in 5% BSA for 30 minutes at room temperature, washed with ddH2O and PBS, and then probed with the primary antibody (ER2001-66, 1/50) for 30 minutes at room temperature. The detection was performed using an HRP conjugated compact polymer system. DAB was used as the chromogen. Tissues were counterstained with hematoxylin and mounted with DPX.
ER2001-66_7.jpg Fig7: Flow cytometric analysis of hNaa50p was done on Daudi cells. The cells were fixed, permeabilized and stained with the primary antibody (ER2001-66, 1/50) (red). After incubation of the primary antibody at room temperature for an hour, the cells were stained with a Alexa Fluor 488-conjugated Goat anti-Rabbit IgG Secondary antibody at 1/1000 dilution for 30 minutes.Unlabelled sample was used as a control (cells without incubation with primary antibody; black).
Note: All products are “FOR RESEARCH USE ONLY AND ARE NOT INTENDED FOR DIAGNOSTIC OR THERAPEUTIC USE”.