CD133 Rabbit Polyclonal Antibody
cat.: ER31008
Product Type: Rabbit polyclonal IgG, primary antibodies
Species reactivity: Human
Applications: WB, IHC-P, FC
Clonality: Polyclonal
Form: Liquid
Storage condition: Shipped at 4℃. Store at +4℃ short term (1-2 weeks). It is recommended to aliquot into single-use upon delivery. Store at -20℃ long term.
Storage buffer: 1*PBS (pH7.4), 0.2% BSA, 40% Glycerol. Preservative: 0.05% Sodium Azide.
Concentration: 1ug/ul
Purification: Immunogen affinity purified.
Molecular weight: Predicted band size: 97 kDa
Isotype: IgG
Immunogen: Recombinant protein within human CD133 aa 179-389.
Positive control: Hela cell lysate, SW480 cell lysate, HCT116 cell lysate, HT-29 cell lysate, HepG2 cell lysate, 293 cell lysate, human breast tissue.
Subcellular location: Cell membrane.
Recommended Dilutions:
  WB
  IHC-P
  FC

1:500-1:1,000
1:500-1:1,000
1:50-1:100
Uniprot #: SwissProt: O43490 Human
Alternative names: AC133 Antigen AC133 CD133 CORD12 Hematopoietic stem cell antigen hProminin MCDR2 MSTP061 OTTHUMP00000217744 OTTHUMP00000217745 OTTHUMP00000217746 PROM1 PROM1_HUMAN Prominin I Prominin like 1 Prominin like protein 1 precursor Prominin mouse like 1 Prominin-1 Prominin-like protein 1 Prominin1 PROML1 RP41 STGD4
Images
ER31008_1.jpg Fig1: Western blot analysis of CD133 on different lysates. Proteins were transferred to a PVDF membrane and blocked with 5% BSA in PBS for 1 hour at room temperature. The primary antibody (ER31008, 1/500) was used in 5% BSA at room temperature for 2 hours. Goat Anti-Rabbit IgG - HRP Secondary Antibody (HA1001) at 1:5,000 dilution was used for 1 hour at room temperature.
Positive control:
Lane 1: Hela cell lysate
Lane 2: SW480 cell lysate
Lane 3: HCT116 cell lysate
Lane 4: HT-29 cell lysate
Lane 5: HepG2 cell lysate
Lane 6: 293 cell lysate
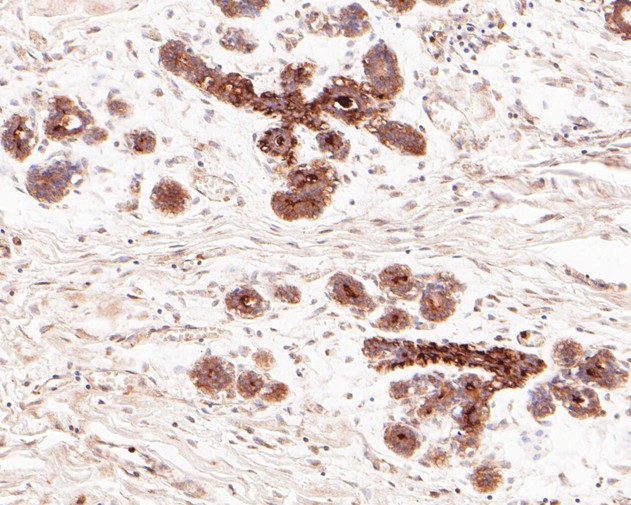
ER31008_2.jpg Fig2: Immunohistochemical analysis of paraffin-embedded human breast tissue using anti-CD133 antibody. The section was pre-treated using heat mediated antigen retrieval with Tris-EDTA buffer (pH 8.0-8.4) for 20 minutes.The tissues were blocked in 5% BSA for 30 minutes at room temperature, washed with ddH2O and PBS, and then probed with the primary antibody (ER31008, 1/800) for 30 minutes at room temperature. The detection was performed using an HRP conjugated compact polymer system. DAB was used as the chromogen. Tissues were counterstained with hematoxylin and mounted with DPX.
ER31008_3.jpg Fig3: Flow cytometric analysis of SHG-44 cells with CD133 antibody at 1/100 dilution (blue) compared with an unlabelled control (cells without incubation with primary antibody; red). Goat anti rabbit IgG (FITC) was used as the secondary antibody.
ER31008_4.jpg Fig4: Flow cytometric analysis of HUVEC cells with CD133 antibody at 1/100 dilution (blue) compared with an unlabelled control (cells without incubation with primary antibody; red). Goat anti rabbit IgG (FITC) was used as the secondary antibody.
Note: All products are “FOR RESEARCH USE ONLY AND ARE NOT INTENDED FOR DIAGNOSTIC OR THERAPEUTIC USE”.