p70 S6 Kinase beta Rabbit Polyclonal Antibody
cat.: ER31205
Product Type: Rabbit polyclonal IgG, primary antibodies
Species reactivity: Human, Mouse, Rat
Applications: WB, IF-Cell, IHC-P, FC
Clonality: Polyclonal
Form: Liquid
Storage condition: Shipped at 4℃. Store at +4℃ short term (1-2 weeks). It is recommended to aliquot into single-use upon delivery. Store at -20℃ long term.
Storage buffer: PBS (pH7.4), 0.1% BSA, 40% Glycerol. Preservative: 0.05% Sodium Azide.
Concentration: 2ug/ul
Purification: Immunogen affinity purified.
Molecular weight: Predicted band size: 59 kDa
Isotype: IgG
Immunogen: Synthetic peptide within human p70 S6 Kinase beta aa 411-460.
Positive control: HeLa cell lysate, NIH/3T3 cell lysate, C6 cell lysate, HeLa, human pancreas tissue, HepG2.
Subcellular location: Cytoplasm, Nucleus
Recommended Dilutions:
  WB
  IF-Cell
  IHC-P
  FC

1:1,000
1:200
1:5,000
1:100-1:200
Uniprot #: SwissProt: P23443 Human | Q8BSK8 Mouse | P67999 Rat
Alternative names: 70 kDa ribosomal protein S6 kinase 1 KS6B1_HUMAN p70 alpha P70 beta 1 p70 ribosomal S6 kinase alpha p70 ribosomal S6 kinase beta 1 p70 S6 kinase alpha P70 S6 Kinase p70 S6 kinase, alpha 1 p70 S6 kinase, alpha 2 p70 S6K p70 S6K-alpha p70 S6KA p70(S6K) alpha p70(S6K)-alpha p70-alpha p70-S6K 1 p70-S6K P70S6K P70S6K1 p70S6Kb PS6K Ribosomal protein S6 kinase 70kDa polypeptide 1 Ribosomal protein S6 kinase beta 1 Ribosomal protein S6 kinase beta-1 Ribosomal protein S6 kinase I RPS6KB1 S6K S6K-beta-1 S6K1 Serine/threonine kinase 14 alpha Serine/threonine-protein kinase 14A STK14A
Images
ER31205_1.jpg Fig1: Western blot analysis of p70 S6 Kinase beta on different lysates with Rabbit anti-p70 S6 Kinase beta antibody (ER31205) at 1/1,000 dilution.

Lane 1: HeLa cell lysate
Lane 2: NIH/3T3 cell lysate
Lane 3: C6 cell lysate

Lysates/proteins at 20 µg/Lane.

Predicted band size: 59 kDa
Observed band size: 59 kDa

Exposure time: 1 minute; ECL: K1801;

4-20% SDS-PAGE gel.

Proteins were transferred to a PVDF membrane and blocked with 5% NFDM/TBST for 1 hour at room temperature. The primary antibody (ER31205) at 1/1,000 dilution was used in 5% NFDM/TBST at 4℃ overnight. Goat Anti-Rabbit IgG - HRP Secondary Antibody (HA1001) at 1/50,000 dilution was used for 1 hour at room temperature.
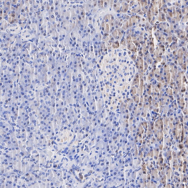
ER31205_2.jpg Fig2: Immunohistochemical analysis of paraffin-embedded human pancreas tissue with Rabbit anti-p70 S6 Kinase beta antibody (ER31205) at 1/5,000 dilution.

The section was pre-treated using heat mediated antigen retrieval with Tris-EDTA buffer (pH 9.0) for 20 minutes. The tissues were blocked in 1% BSA for 20 minutes at room temperature, washed with ddH2O and PBS, and then probed with the primary antibody (ER31205) at 1/5,000 dilution for 1 hour at room temperature. The detection was performed using an HRP conjugated compact polymer system. DAB was used as the chromogen. Tissues were counterstained with hematoxylin and mounted with DPX.
ER31205_3.jpg Fig3: ICC staining p70 S6 Kinase beta in Hela cells (green). Cells were fixed in paraformaldehyde, permeabilised with 0.25% Triton X100/PBS.
ER31205_4.jpg Fig4: Flow cytometric analysis of HepG2 cells with p70 S6 Kinase beta antibody at 1/100 dilution (blue) compared with an unlabelled control (cells without incubation with primary antibody; red). Goat anti rabbit IgG (FITC) was used as the secondary antibody.
Note: All products are “FOR RESEARCH USE ONLY AND ARE NOT INTENDED FOR DIAGNOSTIC OR THERAPEUTIC USE”.