CDk1 Rabbit Polyclonal Antibody
cat.: ER31213
Product Type: Rabbit polyclonal IgG, primary antibodies
Species reactivity: Human, Mouse, Rat
Applications: WB, IF-Cell, IHC-P, FC
Clonality: Polyclonal
Form: Liquid
Storage condition: Shipped at 4℃. Store at +4℃ short term (1-2 weeks). It is recommended to aliquot into single-use upon delivery. Store at -20℃ long term.
Storage buffer: 1*PBS (pH7.4), 0.2% BSA, 40% Glycerol. Preservative: 0.05% Sodium Azide.
Concentration: 1ug/ul
Purification: Immunogen affinity purified.
Molecular weight: Predicted band size: 34 kDa
Isotype: IgG
Immunogen: Synthetic peptide within N-terminal human CDk1.
Positive control: MCF-7 cell lysate, Jurkat cell lysate, PC12 cell lysate, HepG2 cell lysate, Hela cell lysate, NIH/3T3 cell lysate, mouse liver tissue lysate, SKBR3 cell lysate, HeLa, NIH/3T3, rat spleen tissue, human tonsil tissue, human breast cancer tissue, mouse spleen tissue.
Subcellular location: Cytoplasm, nucleus, Cytoskeleton, Mitochondrion.
Recommended Dilutions:
  WB
  IF-Cell
  IHC-P
  FC

1:500
1:100
1:200
1:1,000
Uniprot #: SwissProt: P06493 Human
Alternative names: Cdc 2 Cdc2 CDC28A CDK 1 CDK1 CDK1_HUMAN CDKN1 CELL CYCLE CONTROLLER CDC2 Cell division control protein 2 Cell division control protein 2 homolog Cell division cycle 2 G1 to S and G2 to M Cell division protein kinase 1 Cell Divsion Cycle 2 Protein Cyclin Dependent Kinase 1 Cyclin-dependent kinase 1 DKFZp686L20222 MGC111195 p34 Cdk1 p34 protein kinase P34CDC2
Images
ER31213_1.jpg Fig1: Immunocytochemistry analysis of HeLa cells labeling CDk1 with Rabbit anti-CDk1 antibody (ER31213) at 1/100 dilution.

Cells were fixed in 4% paraformaldehyde for 20 minutes at room temperature, permeabilized with 0.1% Triton X-100 in PBS for 5 minutes at room temperature, then blocked with 1% BSA in 10% negative goat serum for 1 hour at room temperature. Cells were then incubated with Rabbit anti-CDk1 antibody (ER31213) at 1/100 dilution in 1% BSA in PBST overnight at 4 ℃. Goat Anti-Rabbit IgG H&L (iFluor™ 488, HA1121) was used as the secondary antibody at 1/1,000 dilution. PBS instead of the primary antibody was used as the secondary antibody only control. Nuclear DNA was labelled in blue with DAPI.

Beta tubulin (M1305-2, red) was stained at 1/100 dilution overnight at +4℃. Goat Anti-Mouse IgG H&L (iFluor™ 594, HA1126) was used as the secondary antibody at 1/1,000 dilution.
ER31213_2.jpg Fig2: Immunocytochemistry analysis of NIH/3T3 cells labeling CDk1 with Rabbit anti-CDk1 antibody (ER31213) at 1/100 dilution.

Cells were fixed in 4% paraformaldehyde for 20 minutes at room temperature, permeabilized with 0.1% Triton X-100 in PBS for 5 minutes at room temperature, then blocked with 1% BSA in 10% negative goat serum for 1 hour at room temperature. Cells were then incubated with Rabbit anti-CDk1 antibody (ER31213) at 1/100 dilution in 1% BSA in PBST overnight at 4 ℃. Goat Anti-Rabbit IgG H&L (iFluor™ 488, HA1121) was used as the secondary antibody at 1/1,000 dilution. PBS instead of the primary antibody was used as the secondary antibody only control. Nuclear DNA was labelled in blue with DAPI.

Beta tubulin (M1305-2, red) was stained at 1/100 dilution overnight at +4℃. Goat Anti-Mouse IgG H&L (iFluor™ 594, HA1126) was used as the secondary antibody at 1/1,000 dilution.
ER31213_3.jpg Fig3: Western blot analysis of CDk1 on different lysates using anti-CDk1 antibody at 1/500 dilution.
Positive control:
Lane 1: MCF-7 cell lysate
Lane 2: Jurkat cell lysate
Lane 3: PC12 cell lysate
Lane 4: HepG2 cell lysate
Lane 5: Hela cell lysate
Lane 6: NIH/3T3 cell lysate
Lane 7: Mouse liver tissue lysate
Lane 8: SKBR3 cell lysate
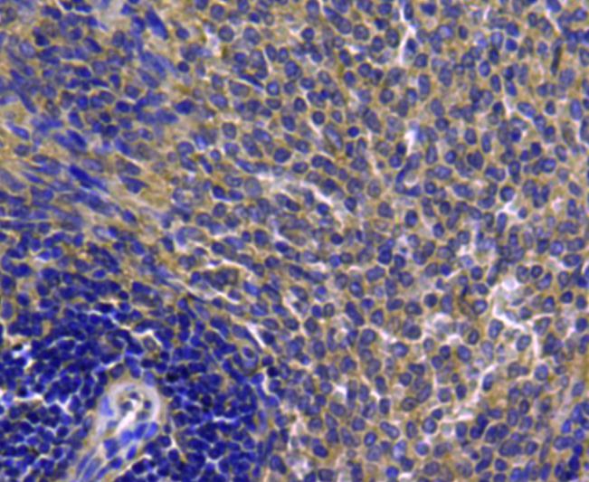
ER31213_4.jpg Fig4: Immunohistochemical analysis of paraffin-embedded rat spleen tissue using anti-CDk1 antibody. Counter stained with hematoxylin.
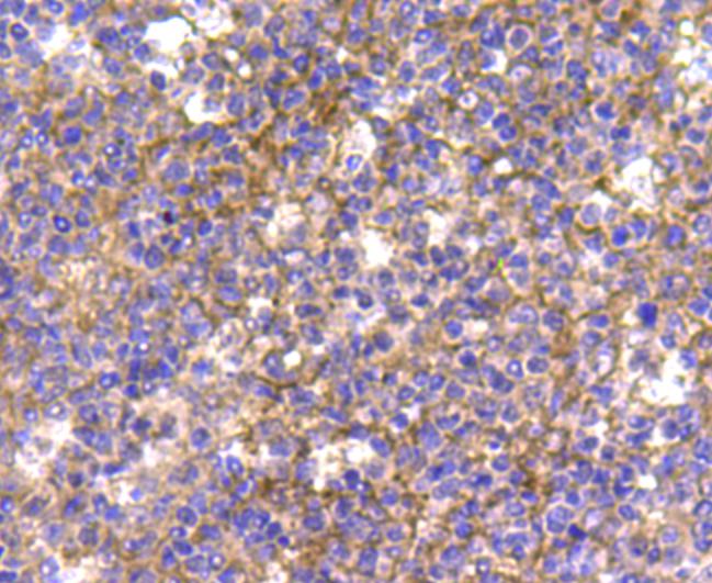
ER31213_5.jpg Fig5: Immunohistochemical analysis of paraffin-embedded human tonsil tissue using anti-CDk1 antibody. Counter stained with hematoxylin
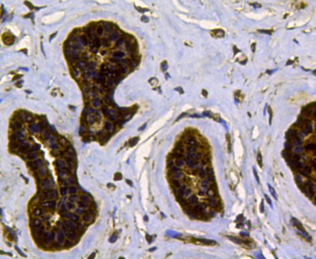
ER31213_6.jpg Fig6: Immunohistochemical analysis of paraffin-e.mbedded human breast cancer tissue using anti-CDk1 antibody. Counter stained with hematoxylin
ER31213_7.jpg Fig7: Immunohistochemical analysis of paraffin-embedded mouse spleen tissue using anti-CDk1 antibody. Counter stained with hematoxylin.
ER31213_8.jpg Fig8: Flow cytometric analysis of HeLa cells labeling CDk1.

Cells were fixed and permeabilized. Then stained with the primary antibody (ER31213, 1/1,000) (red) compared with Rabbit IgG Isotype Control (green). After incubation of the primary antibody at +4℃ for an hour, the cells were stained with a iFluor™ 488 conjugate-Goat anti-Rabbit IgG Secondary antibody (HA1121) at 1/1,000 dilution for 30 minutes at +4℃. Unlabelled sample was used as a control (cells without incubation with primary antibody; black).
Note: All products are “FOR RESEARCH USE ONLY AND ARE NOT INTENDED FOR DIAGNOSTIC OR THERAPEUTIC USE”.