 
	            	| Product Type: | Rabbit polyclonal IgG, primary antibodies | 
|---|---|
| Species reactivity: | Human, Mouse, Rat | 
| Applications: | WB, IF-Cell, IHC-P | 
| Clonality: | Polyclonal | 
| Form: | Liquid | 
| Storage condition: | Shipped at 4℃. Store at +4℃ short term (1-2 weeks). It is recommended to aliquot into single-use upon delivery. Store at -20℃ long term. | 
| Storage buffer: | 1*PBS (pH7.4), 0.2% BSA, 40% Glycerol. Preservative: 0.05% Sodium Azide. | 
| Concentration: | 1ug/ul | 
| Purification: | Immunogen affinity purified. | 
| Molecular weight: | Predicted band size: 58 kDa | 
| Isotype: | IgG | 
| Immunogen: | Synthetic peptide within residues of PDI aa 476-525 / 525. | 
| Positive control: | Hela cell lysate, MCF-7 cell lysate, PANC cell lysate, HepG2 cell lysate, HUVEC cell lysate, NIH/3T3 cell lysate, L929 cell lysate, F9 cell lysate, Jurkat cell lysate, A431 cell lysate, A549 cell lysate, mouse liver tissue lysate, mouse kidney tissue lysate, mouse brain tissue lysate, Human kidney tissue lysate, Human brain tissue lysate, Human liver tissue lysate, HUVEC, A549, NIH/3T3, human lung carcinoma tissue, human colon carcinoma tissue. | 
| Subcellular location: | Endoplasmic reticulum. | 
| Recommended Dilutions: WB IF-Cell IHC-P | 1:500-1:1,000 1:200 1:200 | 
| Uniprot #: | SwissProt: Q13087 Human | 
| Alternative names: | Pancreas specific protein disulfide isomerase Pancreas-specific protein disulfide isomerase Pancreatic protein disulfide isomerase PDA2 PDI PDIA2 PDIA2_HUMAN PDIp PDIR Protein disulfide isomerase A2 Protein disulfide isomerase Protein disulfide isomerase associated 2 Protein disulfide isomerase family A member 2 Protein disulfide isomerase pancreatic Protein disulfide-isomerase A2 Rho GDP dissociation inhibitor gamma | 
|   | Fig1:
	        				Western blot analysis of PDI on different lysates using anti- PDI antibody at 1/1,000 dilution. Positive control: Lane 1: Hela cell lysate Lane 2: MCF-7 cell lysate Lane 3: PANC cell lysate Lane 4: HepG2 cell lysate Lane 5: HUVEC cell lysate Lane 6: NIH/3T3 cell lysate Lane 7: L929 cell lysate Lane 8: F9 cell lysate Lane 9: Jurkat cell lysate Lane 10: A431 cell lysate Lane 11: A549 cell lysate Lane 12: Mouse liver tissue lysate Lane 13: Mouse kidney tissue lysate Lane 14: Mouse brain tissue lysate Lane 15: Human kidney tissue lysate Lane 16: Human brain tissue lysate Lane 17: Human liver tissue lysate | 
|   | Fig2: ICC staining PDI in HUVEC cells (green). The nuclear counter stain is DAPI (blue). Cells were fixed in paraformaldehyde, permeabilised with 0.25% Triton X100/PBS. | 
|   | Fig3: ICC staining PDI in A549 cells (green). The nuclear counter stain is DAPI (blue). Cells were fixed in paraformaldehyde, permeabilised with 0.25% Triton X100/PBS. | 
|   | Fig4: ICC staining PDI in NIH/3T3 cells (green). The nuclear counter stain is DAPI (blue). Cells were fixed in paraformaldehyde, permeabilised with 0.25% Triton X100/PBS. | 
|   | Fig5: Immunohistochemical analysis of paraffin-embedded human lung carcinoma tissue using anti-PDI antibody. Counter stained with hematoxylin. | 
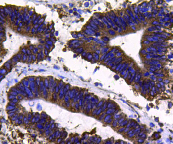
|   | Fig6: Immunohistochemical analysis of paraffin-embedded human colon carcinoma tissue using anti-PDI antibody. Counter stained with hematoxylin. |