cMet Rabbit Polyclonal Antibody
cat.: ER40501
Product Type: Rabbit polyclonal IgG, primary antibodies
Species reactivity: Human, Mouse, Rat
Applications: WB, IF-Cell, IHC-P, FC
Clonality: Polyclonal
Form: Liquid
Storage condition: Shipped at 4℃. Store at +4℃ short term (1-2 weeks). It is recommended to aliquot into single-use upon delivery. Store at -20℃ long term.
Storage buffer: 1*PBS (pH7.4), 0.2% BSA, 40% Glycerol. Preservative: 0.05% Sodium Azide.
Concentration: 1ug/ul
Purification: Immunogen affinity purified.
Molecular weight: Predicted band size: 156 kDa
Isotype: IgG
Immunogen: Synthetic peptide within mouse cMet aa 641-690 / 1,379.
Positive control: Mouse liver tissue lysate, Mouse kidney tissue lysate, D3 cell lysate, MEF cell lysate, N2A, Hela, HepG2, mouse liver tissue, mouse spleen tissue.
Subcellular location: Secreted, membrane.
Recommended Dilutions:
  WB
  IF-Cell
  IHC-P
  FC

1:1,000
1:200
1:200
1:100-1:200
Uniprot #: SwissProt: P08581 Human | P16056 Mouse | P97523 Rat
Alternative names: AUTS9 c met D249 Hepatocyte growth factor receptor HGF HGF receptor HGF/SF receptor HGFR MET Met proto oncogene tyrosine kinase MET proto oncogene, receptor tyrosine kinase Met proto-oncogene (hepatocyte growth factor receptor) Met proto-oncogene Met protooncogene MET_HUMAN Oncogene MET Par4 Proto-oncogene c-Met RCCP2 Scatter factor receptor SF receptor Tyrosine-protein kinase Met
Images
ER40501_1.jpg Fig1: Western blot analysis of cMet on different cell lysates using anti-cMet antibody at 1/1,000 dilution.
Positive control:
Lane 1: Mouse liver tissue lysate
Lane 2: Mouse kidney tissue lysate
Lane 3: D3 cell lysate
Lane 4: MEF cell lysate
ER40501_2.jpg Fig2: ICC staining cMet in N2A cells (green). Cells were fixed in paraformaldehyde, permeabilised with 0.25% Triton X100/PBS.
ER40501_3.jpg Fig3: ICC staining cMet in Hela cells (green). Cells were fixed in paraformaldehyde, permeabilised with 0.25% Triton X100/PBS.
ER40501_4.jpg Fig4: ICC staining cMet in HepG2 cells (green). Cells were fixed in paraformaldehyde, permeabilised with 0.25% Triton X100/PBS.
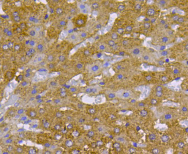
ER40501_5.jpg Fig5: Immunohistochemical analysis of paraffin-embedded mouse liver tissue using anti-cMet antibody. Counter stained with hematoxylin.
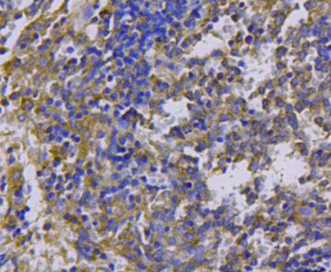
ER40501_6.jpg Fig6: Immunohistochemical analysis of paraffin-embedded mouse spleen tissue using anti-cMet antibody. Counter stained with hematoxylin.
ER40501_7.jpg Fig7: Flow cytometric analysis of Hela cells with cMet antibody at 1/100 dilution (blue) compared with an unlabelled control (cells without incubation with primary antibody; red). Goat anti rabbit IgG (FITC) was used as the secondary antibody.
Note: All products are “FOR RESEARCH USE ONLY AND ARE NOT INTENDED FOR DIAGNOSTIC OR THERAPEUTIC USE”.