Rab1A Rabbit Polyclonal Antibody
cat.: ER61098
Product Type: Rabbit polyclonal IgG, primary antibodies
Species reactivity: Human, Rat, Mouse
Applications: WB, IF-Cell, IHC-P, FC
Clonality: Polyclonal
Form: Liquid
Storage condition: Shipped at 4℃. Store at +4℃ short term (1-2 weeks). It is recommended to aliquot into single-use upon delivery. Store at -20℃ long term.
Storage buffer: PBS (pH7.4), 0.1% BSA, 40% Glycerol. Preservative: 0.05% Sodium Azide.
Concentration: 2ug/ul
Purification: Immunogen affinity purified.
Molecular weight: Predicted band size: 23 kDa
Isotype: IgG
Immunogen: Synthetic peptide within human Rab1A aa 156-205 / 205.
Positive control: U-87 MG cell lysate, U-2 OS cell lysate, NIH/3T3 cell lysate, C2C12 cell lysate, C6 cell lysate, Mouse brain tissue lysate, Rat brain tissue lysate, U-87 MG, C2C12, rat brain tissue, rat kidney tissue.
Subcellular location: Golgi apparatus, Endoplasmic reticulum, Early endosome, Cytoplasm, cytosol, Membrane, Melanosome.
Recommended Dilutions:
  WB
  IF-Cell
  IHC-P
  FC

1:2,000
1:1,00-1:2,000
1:1,000
1:1,000
Uniprot #: SwissProt: P62820 Human
Alternative names: GTP binding protein RAB 1A mKIAA3012 RAB 1 Rab 1A RAB1 RAB1, member RAS oncogene family Rab1A RAB1A member RAS oncogene family RAB1A_HUMAN Ras related protein Rab 1A Ras-associated protein RAB1 Ras-related protein Rab-1A YPT1 YPT1 related protein YPT1-related protein
Images
ER61098_1.jpg Fig1: Western blot analysis of Rab1A on different lysates with Rabbit anti-Rab1A antibody (ER61098) at 1/2,000 dilution.

Lane 1: U-87 MG cell lysate (20 µg/Lane)
Lane 2: U-2 OS cell lysate (20 µg/Lane)
Lane 3: NIH/3T3 cell lysate (20 µg/Lane)
Lane 4: C2C12 cell lysate (20 µg/Lane)
Lane 5: C6 cell lysate (20 µg/Lane)
Lane 6: Mouse brain tissue lysate (40 µg/Lane)
Lane 7: Rat brain tissue lysate (40 µg/Lane)

Predicted band size: 23 kDa
Observed band size: 23 kDa

Exposure time: 10 seconds; ECL: K1801;

4-20% SDS-PAGE gel.

Proteins were transferred to a PVDF membrane and blocked with 5% NFDM/TBST for 1 hour at room temperature. The primary antibody (ER61098) at 1/2,000 dilution was used in 5% NFDM/TBST at 4℃ overnight. Goat Anti-Rabbit IgG - HRP Secondary Antibody (HA1001) at 1/50,000 dilution was used for 1 hour at room temperature.
ER61098_2.jpg Fig2: Immunocytochemistry analysis of U-87 MG cells labeling Rab1A with Rabbit anti-Rab1A antibody (ER61098) at 1/1,000 dilution.

Cells were fixed in 4% paraformaldehyde for 15 minutes at room temperature, permeabilized with 0.1% Triton X-100 in PBS for 15 minutes at room temperature, then blocked with 1% BSA in 10% negative goat serum for 1 hour at room temperature. Cells were then incubated with Rabbit anti-Rab1A antibody (ER61098) at 1/1,000 dilution in 1% BSA in PBST overnight at 4 ℃. Goat Anti-Rabbit IgG H&L (iFluor™ 488, HA1121) was used as the secondary antibody at 1/1,000 dilution. PBS instead of the primary antibody was used as the secondary antibody only control. Nuclear DNA was labelled in blue with DAPI.

Beta tubulin (HA601187, red) was stained at 1/100 dilution overnight at +4℃. Goat Anti-Mouse IgG H&L (iFluor™ 594, HA1126) was used as the secondary antibody at 1/1,000 dilution.
ER61098_3.jpg Fig3: Immunocytochemistry analysis of C2C12 cells labeling Rab1A with Rabbit anti-Rab1A antibody (ER61098) at 1/5,000 dilution.

Cells were fixed in 4% paraformaldehyde for 15 minutes at room temperature, permeabilized with 0.1% Triton X-100 in PBS for 15 minutes at room temperature, then blocked with 1% BSA in 10% negative goat serum for 1 hour at room temperature. Cells were then incubated with Rabbit anti-Rab1A antibody (ER61098) at 1/5,000 dilution in 1% BSA in PBST overnight at 4 ℃. Goat Anti-Rabbit IgG H&L (iFluor™ 488, HA1121) was used as the secondary antibody at 1/1,000 dilution. PBS instead of the primary antibody was used as the secondary antibody only control. Nuclear DNA was labelled in blue with DAPI.

Beta tubulin (HA601187, red) was stained at 1/100 dilution overnight at +4℃. Goat Anti-Mouse IgG H&L (iFluor™ 594, HA1126) was used as the secondary antibody at 1/1,000 dilution.
ER61098_4.jpg Fig4: Immunohistochemical analysis of paraffin-embedded rat brain tissue with Rabbit anti-Rab1A antibody (ER61098) at 1/1,000 dilution.

The section was pre-treated using heat mediated antigen retrieval with Tris-EDTA buffer (pH 9.0) for 20 minutes. The tissues were blocked in 1% BSA for 20 minutes at room temperature, washed with ddH2O and PBS, and then probed with the primary antibody (ER61098) at 1/1,000 dilution for 1 hour at room temperature. The detection was performed using an HRP conjugated compact polymer system. DAB was used as the chromogen. Tissues were counterstained with hematoxylin and mounted with DPX.
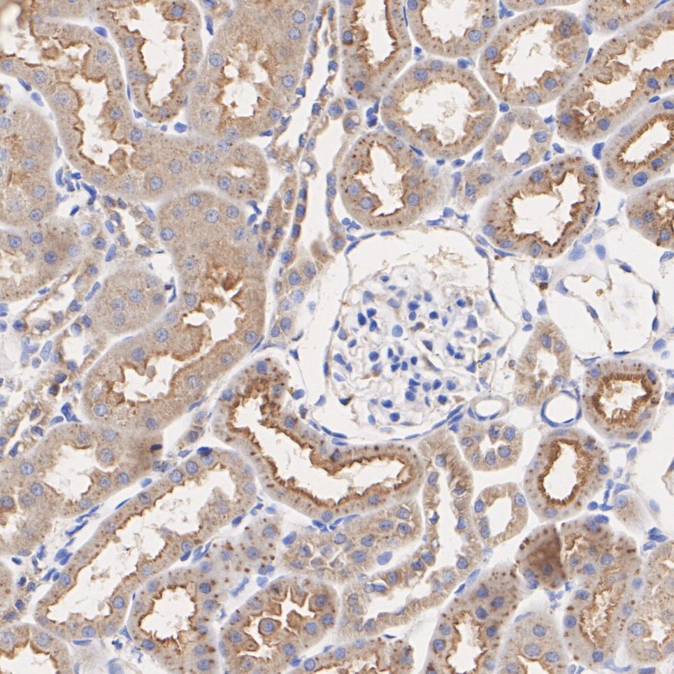
ER61098_5.jpg Fig5: Immunohistochemical analysis of paraffin-embedded rat kidney tissue with Rabbit anti-Rab1A antibody (ER61098) at 1/1,000 dilution.

The section was pre-treated using heat mediated antigen retrieval with Tris-EDTA buffer (pH 9.0) for 20 minutes. The tissues were blocked in 1% BSA for 20 minutes at room temperature, washed with ddH2O and PBS, and then probed with the primary antibody (ER61098) at 1/1,000 dilution for 1 hour at room temperature. The detection was performed using an HRP conjugated compact polymer system. DAB was used as the chromogen. Tissues were counterstained with hematoxylin and mounted with DPX.
ER61098_6.jpg Fig6: Flow cytometric analysis of U-87 MG cells labeling Rab1A.

Cells were fixed and permeabilized. Then stained with the primary antibody (ER61098, 1/1,000) (red) compared with Rabbit IgG Isotype Control (green). After incubation of the primary antibody at +4℃ for an hour, the cells were stained with a iFluor™ 488 conjugate-Goat anti-Rabbit IgG Secondary antibody (HA1121) at 1/1,000 dilution for 30 minutes at +4℃. Unlabelled sample was used as a control (cells without incubation with primary antibody; black).
Note: All products are “FOR RESEARCH USE ONLY AND ARE NOT INTENDED FOR DIAGNOSTIC OR THERAPEUTIC USE”.