PACT (PKR activating protein) / PRKRA Rabbit Polyclonal Antibody
cat.: ER62454
Product Type: Rabbit polyclonal IgG, primary antibodies
Species reactivity: Human, Mouse, Rat
Applications: WB, IHC-P
Clonality: Polyclonal
Form: Liquid
Storage condition: Shipped at 4℃. Store at +4℃ short term (1-2 weeks). It is recommended to aliquot into single-use upon delivery. Store at -20℃ long term.
Storage buffer: PBS (pH7.4), 0.1% BSA, 40% Glycerol. Preservative: 0.05% Sodium Azide.
Concentration: 2ug/ul
Purification: Immunogen affinity purified.
Molecular weight: Predicted band size: 34 kDa
Isotype: IgG
Immunogen: Recombinant protein within human PACT aa 1-313 (O75569).
Positive control: HeLa cell lysate, MCF7 cell lysate, C2C12 cell lysate, PC-12 cell lysate, Mouse testis tissue lysate, Rat testis tissue lysate, human brain tissue, mouse testis tissue, rat testis tissue, rat brain tissue.
Subcellular location: Cytoplasm, perinuclear region.
Recommended Dilutions:
  WB
  IHC-P

1:2,000
1:1,000-1:5,000
Uniprot #: SwissProt: O75569 Human | Q9WTX2 Mouse | Q4V8C7 Rat
Alternative names: DYT16 HSD14 Interferon inducible double stranded RNA dependent protein kinase activator A interferon-inducible double stranded RNA-dependent activator Interferon-inducible double stranded RNA-dependent protein kinase activator A PACT PKR associated protein X PKR associating protein X PKR-associated protein X PKR-associating protein X PRKRA PRKRA_HUMAN Protein activator of the interferon induced protein kinase Protein activator of the interferon-induced protein kinase Protein kinase Protein kinase interferon inducible double stranded RNA dependent activator RAX
Images
ER62454_1.jpg Fig1: Western blot analysis of PACT (PKR activating protein) / PRKRA on different lysates with Rabbit anti-PACT (PKR activating protein) / PRKRA antibody (ER62454) at 1/2,000 dilution.

Lane 1: HeLa cell lysate (20 µg/Lane)
Lane 2: MCF7 cell lysate (20 µg/Lane)
Lane 3: C2C12 cell lysate (20 µg/Lane)
Lane 4: PC-12 cell lysate (20 µg/Lane)
Lane 5: Mouse testis tissue lysate (40 µg/Lane)
Lane 6: Rat testis tissue lysate (40 µg/Lane)

Predicted band size: 34 kDa
Observed band size: 34 kDa

Exposure time: 4 seconds; ECL: K1801;

4-20% SDS-PAGE gel.

Proteins were transferred to a PVDF membrane and blocked with 5% NFDM/TBST for 1 hour at room temperature. The primary antibody (ER62454) at 1/2,000 dilution was used in 5% NFDM/TBST at 4℃ overnight. Goat Anti-Rabbit IgG - HRP Secondary Antibody (HA1001) at 1/50,000 dilution was used for 1 hour at room temperature.
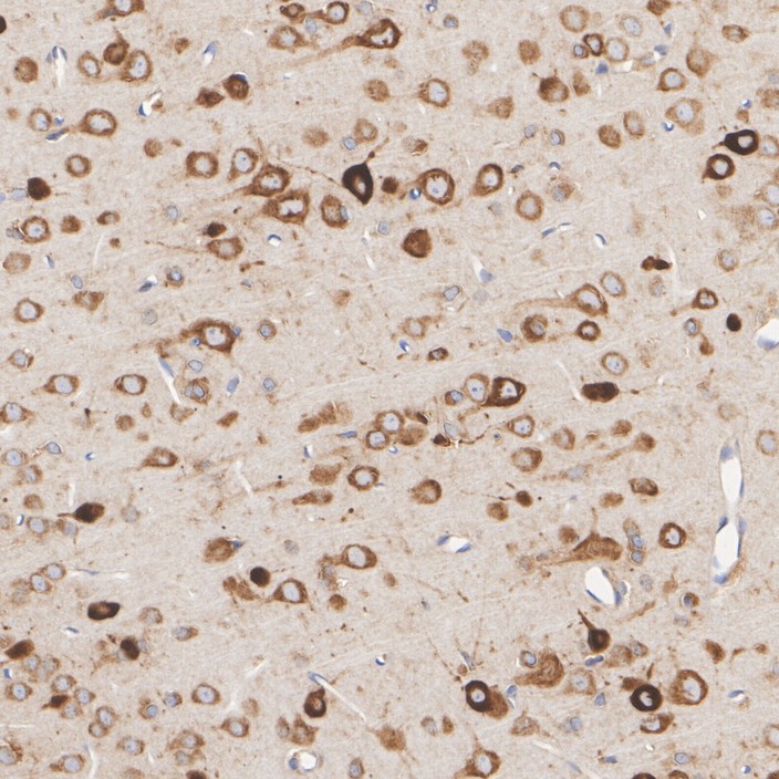
ER62454_2.jpg Fig2: Immunohistochemical analysis of paraffin-embedded human brain tissue with Rabbit anti-PACT (PKR activating protein) / PRKRA antibody (ER62454) at 1/1,000 dilution.

The section was pre-treated using heat mediated antigen retrieval with Tris-EDTA buffer (pH 9.0) for 20 minutes. The tissues were blocked in 1% BSA for 20 minutes at room temperature, washed with ddH2O and PBS, and then probed with the primary antibody (ER62454) at 1/1,000 dilution for 1 hour at room temperature. The detection was performed using an HRP conjugated compact polymer system. DAB was used as the chromogen. Tissues were counterstained with hematoxylin and mounted with DPX.
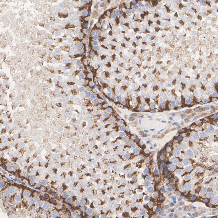
ER62454_3.jpg Fig3: Immunohistochemical analysis of paraffin-embedded mouse testis tissue with Rabbit anti-PACT (PKR activating protein) / PRKRA antibody (ER62454) at 1/5,000 dilution.

The section was pre-treated using heat mediated antigen retrieval with Tris-EDTA buffer (pH 9.0) for 20 minutes. The tissues were blocked in 1% BSA for 20 minutes at room temperature, washed with ddH2O and PBS, and then probed with the primary antibody (ER62454) at 1/5,000 dilution for 1 hour at room temperature. The detection was performed using an HRP conjugated compact polymer system. DAB was used as the chromogen. Tissues were counterstained with hematoxylin and mounted with DPX.
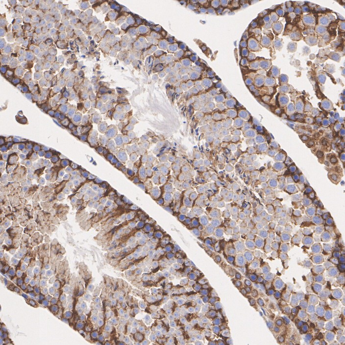
ER62454_4.jpg Fig4: Immunohistochemical analysis of paraffin-embedded rat testis tissue with Rabbit anti-PACT (PKR activating protein) / PRKRA antibody (ER62454) at 1/5,000 dilution.

The section was pre-treated using heat mediated antigen retrieval with Tris-EDTA buffer (pH 9.0) for 20 minutes. The tissues were blocked in 1% BSA for 20 minutes at room temperature, washed with ddH2O and PBS, and then probed with the primary antibody (ER62454) at 1/5,000 dilution for 1 hour at room temperature. The detection was performed using an HRP conjugated compact polymer system. DAB was used as the chromogen. Tissues were counterstained with hematoxylin and mounted with DPX.
ER62454_5.jpg Fig5: Immunohistochemical analysis of paraffin-embedded rat brain tissue with Rabbit anti-PACT (PKR activating protein) / PRKRA antibody (ER62454) at 1/5,000 dilution.

The section was pre-treated using heat mediated antigen retrieval with Tris-EDTA buffer (pH 9.0) for 20 minutes. The tissues were blocked in 1% BSA for 20 minutes at room temperature, washed with ddH2O and PBS, and then probed with the primary antibody (ER62454) at 1/5,000 dilution for 1 hour at room temperature. The detection was performed using an HRP conjugated compact polymer system. DAB was used as the chromogen. Tissues were counterstained with hematoxylin and mounted with DPX.
Note: All products are “FOR RESEARCH USE ONLY AND ARE NOT INTENDED FOR DIAGNOSTIC OR THERAPEUTIC USE”.