Cofilin Rabbit Polyclonal Antibody
cat.: ER63062
Product Type: Rabbit polyclonal IgG, primary antibodies
Species reactivity: Human, Mouse, Rat
Applications: WB, IHC-P
Clonality: Polyclonal
Form: Liquid
Storage condition: Shipped at 4℃. Store at +4℃ short term (1-2 weeks). It is recommended to aliquot into single-use upon delivery. Store at -20℃ long term.
Storage buffer: PBS (pH7.4), 0.1% BSA, 40% Glycerol. Preservative: 0.05% Sodium Azide.
Concentration: 2ug/ul
Purification: Immunogen affinity purified.
Molecular weight: Predicted band size: 19 kDa
Isotype: IgG
Immunogen: Synthetic peptide within human Cofilin aa 51-100 / 166.
Positive control: Hela cell lysate, HEK-293 cell lysate, VERO cell lysate, NIH/3T3 cell lysate, PC-12 cell lysate, Mouse spleen tissue lysate, Rat brain tissue lysate, human breast cancer tissue, human stomach tissue, mouse colon tissue, rat colon tissue.
Subcellular location: Nucleus matrix, Cytoplasm, Cytoskeleton, Cell projection.
Recommended Dilutions:
  WB
  IHC-P

1:2,000
1:1,000
Uniprot #: SwissProt: P23528 Human | P18760 Mouse | P45592 Rat
Alternative names: 18 kDa phosphoprotein CFL 1 CFL CFL1 COF1_HUMAN Cofilin 1 Cofilin 1 non muscle Cofilin Cofilin non muscle isoform Cofilin-1 epididymis secretory protein Li 15 HEL-S-15 non-muscle isoform p18
Images
ER63062_1.jpg Fig1: Western blot analysis of Cofilin on different lysates with Rabbit anti-Cofilin antibody (ER63062) at 1/2,000 dilution.

Lane 1: Hela cell lysate (20 µg/Lane)
Lane 2: HEK-293 cell lysate (20 µg/Lane)
Lane 3: VERO cell lysate (20 µg/Lane)
Lane 4: NIH/3T3 cell lysate (20 µg/Lane)
Lane 5: PC-12 cell lysate (20 µg/Lane)
Lane 6: Mouse spleen tissue lysate (40 µg/Lane)
Lane 7: Rat brain tissue lysate (40 µg/Lane)

Predicted band size: 19 kDa
Observed band size: 19 kDa

Exposure time: 30 seconds; ECL: K1801;

4-20% SDS-PAGE gel.

Proteins were transferred to a PVDF membrane and blocked with 5% NFDM/TBST for 1 hour at room temperature. The primary antibody (ER63062) at 1/2,000 dilution was used in 5% NFDM/TBST at 4℃ overnight. Goat Anti-Rabbit IgG - HRP Secondary Antibody (HA1001) at 1/50,000 dilution was used for 1 hour at room temperature.
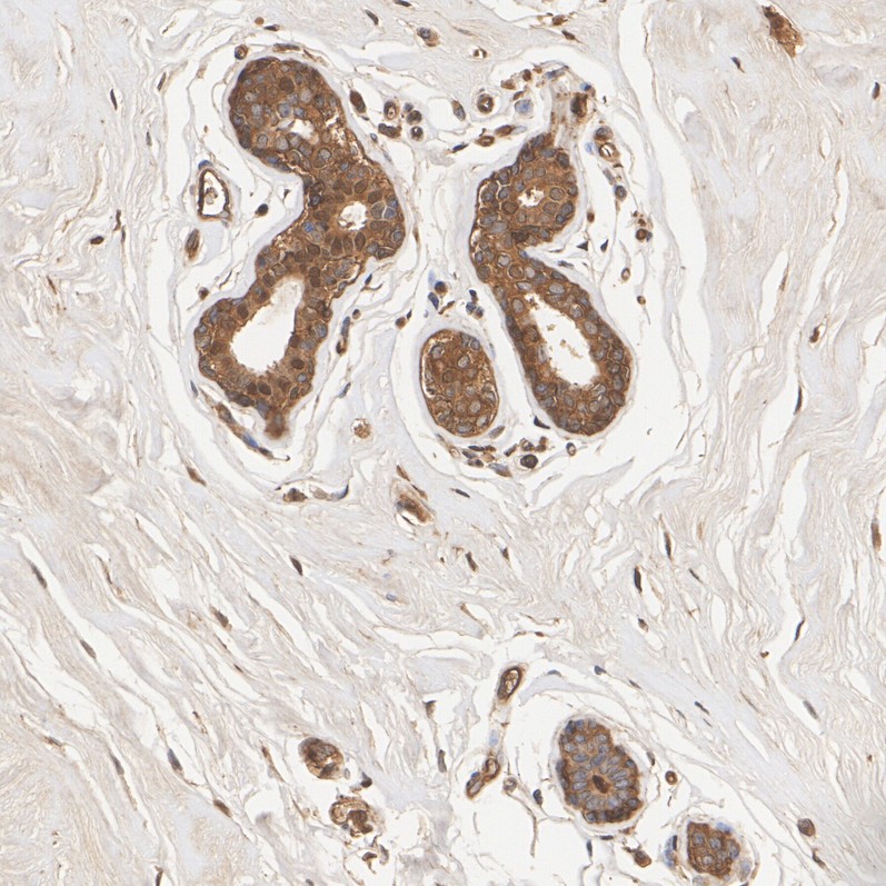
ER63062_2.jpg Fig2: Immunohistochemical analysis of paraffin-embedded human breast cancer tissue with Rabbit anti-Cofilin antibody (ER63062) at 1/1,000 dilution.

The section was pre-treated using heat mediated antigen retrieval with Tris-EDTA buffer (pH 9.0) for 20 minutes. The tissues were blocked in 1% BSA for 20 minutes at room temperature, washed with ddH2O and PBS, and then probed with the primary antibody (ER63062) at 1/1,000 dilution for 1 hour at room temperature. The detection was performed using an HRP conjugated compact polymer system. DAB was used as the chromogen. Tissues were counterstained with hematoxylin and mounted with DPX.
ER63062_3.jpg Fig3: Immunohistochemical analysis of paraffin-embedded human stomach tissue with Rabbit anti-Cofilin antibody (ER63062) at 1/1,000 dilution.

The section was pre-treated using heat mediated antigen retrieval with Tris-EDTA buffer (pH 9.0) for 20 minutes. The tissues were blocked in 1% BSA for 20 minutes at room temperature, washed with ddH2O and PBS, and then probed with the primary antibody (ER63062) at 1/1,000 dilution for 1 hour at room temperature. The detection was performed using an HRP conjugated compact polymer system. DAB was used as the chromogen. Tissues were counterstained with hematoxylin and mounted with DPX.
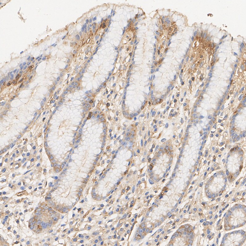
ER63062_4.jpg Fig4: Immunohistochemical analysis of paraffin-embedded mouse colon tissue with Rabbit anti-Cofilin antibody (ER63062) at 1/1,000 dilution.

The section was pre-treated using heat mediated antigen retrieval with Tris-EDTA buffer (pH 9.0) for 20 minutes. The tissues were blocked in 1% BSA for 20 minutes at room temperature, washed with ddH2O and PBS, and then probed with the primary antibody (ER63062) at 1/1,000 dilution for 1 hour at room temperature. The detection was performed using an HRP conjugated compact polymer system. DAB was used as the chromogen. Tissues were counterstained with hematoxylin and mounted with DPX.
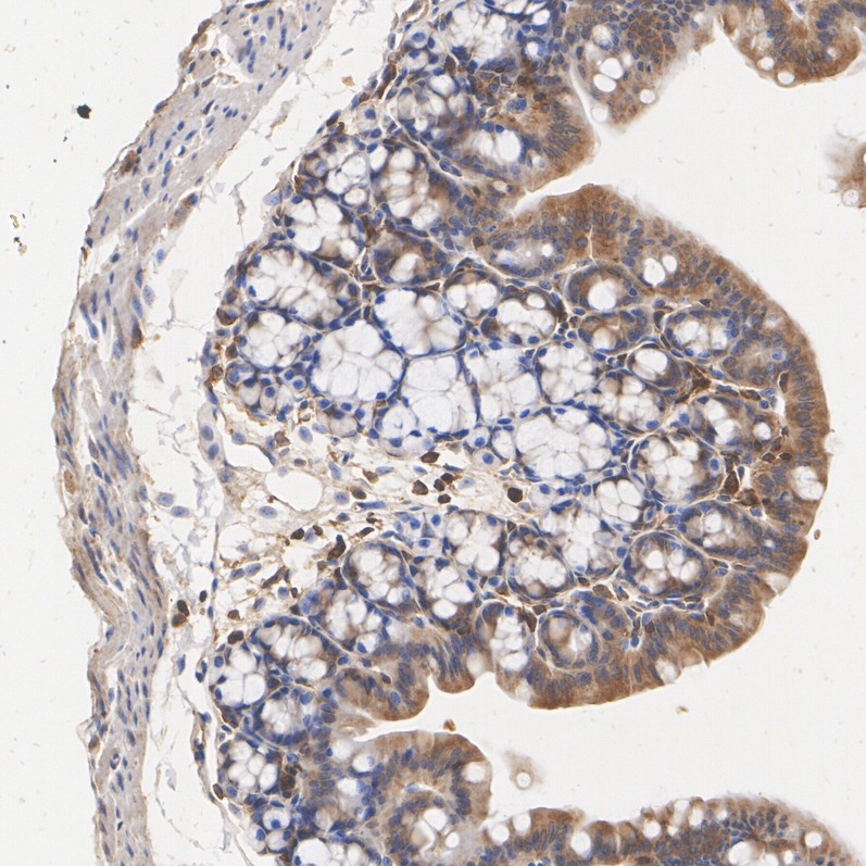
ER63062_5.jpg Fig5: Immunohistochemical analysis of paraffin-embedded rat colon tissue with Rabbit anti-Cofilin antibody (ER63062) at 1/1,000 dilution.

The section was pre-treated using heat mediated antigen retrieval with Tris-EDTA buffer (pH 9.0) for 20 minutes. The tissues were blocked in 1% BSA for 20 minutes at room temperature, washed with ddH2O and PBS, and then probed with the primary antibody (ER63062) at 1/1,000 dilution for 1 hour at room temperature. The detection was performed using an HRP conjugated compact polymer system. DAB was used as the chromogen. Tissues were counterstained with hematoxylin and mounted with DPX.
Note: All products are “FOR RESEARCH USE ONLY AND ARE NOT INTENDED FOR DIAGNOSTIC OR THERAPEUTIC USE”.