E-Cadherin Rabbit Polyclonal Antibody
cat.: ER63312
Product Type: Rabbit polyclonal IgG, primary antibodies
Species reactivity: Human, Mouse, Rat
Applications: WB, IHC-P, IF-Cell, IHC-Fr, FC
Clonality: Polyclonal
Form: Liquid
Storage condition: Shipped at 4℃. Store at +4℃ short term (1-2 weeks). It is recommended to aliquot into single-use upon delivery. Store at -20℃ long term.
Storage buffer: PBS (pH7.4), 0.1% BSA, 40% Glycerol. Preservative: 0.05% Sodium Azide.
Concentration: 2ug/ul
Purification: Immunogen affinity purified.
Molecular weight: Predicted band size: 97 kDa
Isotype: IgG
Immunogen: Recombinant protein within mouse E-Cadherin aa 151-730.
Positive control: T-47D cell lysate, HCT 116 cell lysate, 4T1 cell lysate, Mouse pancreas tissue lysate, Rat pancreas tissue lysate, MCF7, 4T1, mouse pancreas tissue, rat pancreas tissue, mouse colon tissue, rat colon tissue.
Subcellular location: Cell junction, adherens junction, Cell membrane, Endosome, Golgi apparatus, trans-Golgi network, Cytoplasm, desmosome.
Recommended Dilutions:
  WB
  IHC-P
  IF-Cell
  IHC-Fr
  FC

1:10,000
1:2,000
1:500
1:1,000
1:1,000
Uniprot #: SwissProt: P12830 Human | P09803 Mouse | Q9R0T4 Rat
Alternative names: Arc 1 CADH1_HUMAN Cadherin 1 cadherin 1 type 1 E-cadherin Cadherin-1 Cadherin1 CAM 120/80 CD 324 CD324 CD324 antigen cdh1 CDHE E-Cad/CTF3 E-cadherin ECAD Epithelial cadherin epithelial calcium dependant adhesion protein LCAM Liver cell adhesion molecule UVO Uvomorulin
Images
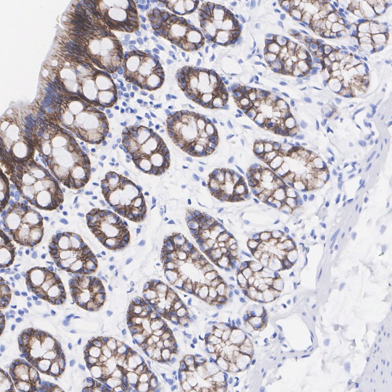
ER63312_1.jpg Fig1: Application: IHC-Fr

Species: Mouse

Site: Colon

Sample: Frozen section

Antibody concentration: 1/1,000

Antigen retrieval: Not required
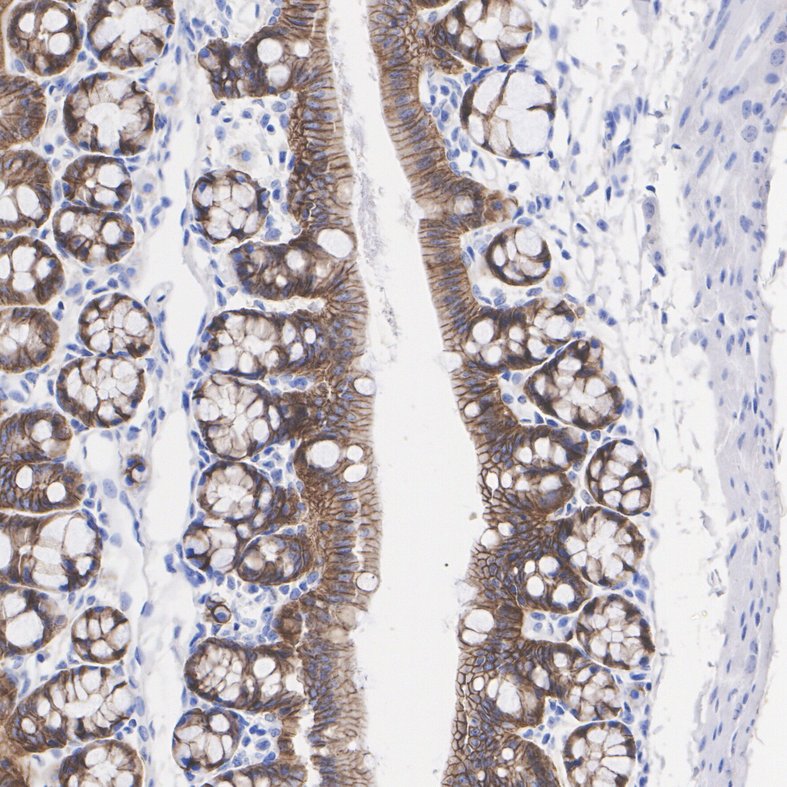
ER63312_2.jpg Fig2: Application: IHC-Fr

Species: Rat

Site: Colon

Sample: Frozen section

Antibody concentration: 1/1,000

Antigen retrieval: Not required
ER63312_3.jpg Fig3: Western blot analysis of E-Cadherin on different lysates with Rabbit anti-E-Cadherin antibody (ER63312) at 1/10,000 dilution.

Lane 1: T-47D cell lysate (20 µg/Lane)
Lane 2: MDA-MB-231 cell lysate (negative) (20 µg/Lane)
Lane 3: HCT 116 cell lysate (20 µg/Lane)
Lane 4: 4T1 cell lysate (20 µg/Lane)
Lane 5: C2C12 cell lysate (negative) (20 µg/Lane)
Lane 6: Mouse pancreas tissue lysate (20 µg/Lane)
Lane 7: Rat pancreas tissue lysate (20 µg/Lane)

Predicted band size: 97 kDa
Observed band size: 80-130 kDa
Exposure time: 8 seconds; ECL: K1801;
4-20% SDS-PAGE gel.

Proteins were transferred to a PVDF membrane and blocked with 5% NFDM/TBST for 1 hour at room temperature. The primary antibody (ER63312) at 1/10,000 dilution was used in 5% NFDM/TBST at 4℃ overnight. Goat Anti-Rabbit IgG - HRP Secondary Antibody (HA1001) at 1/50,000 dilution was used for 1 hour at room temperature.
ER63312_4.jpg Fig4: Immunocytochemistry analysis of MCF7 cells labeling E-Cadherin with Rabbit anti-E-Cadherin antibody (ER63312) at 1/500 dilution.

Cells were fixed in 4% paraformaldehyde for 15 minutes at room temperature, permeabilized with 0.1% Triton X-100 in PBS for 15 minutes at room temperature, then blocked with 1% BSA in 10% negative goat serum for 1 hour at room temperature. Cells were then incubated with Rabbit anti-E-Cadherin antibody (ER63312) at 1/500 dilution in 1% BSA in PBST overnight at 4 ℃. Goat Anti-Rabbit IgG H&L (iFluor™ 488, HA1121) was used as the secondary antibody at 1/1,000 dilution. PBS instead of the primary antibody was used as the secondary antibody only control. Nuclear DNA was labelled in blue with DAPI.

Beta tubulin (M1305-2, red) was stained at 1/100 dilution overnight at +4℃. Goat Anti-Mouse IgG H&L (iFluor™ 594, HA1126) was used as the secondary antibody at 1/1,000 dilution.
ER63312_5.jpg Fig5: Immunocytochemistry analysis of 4T1 cells labeling E-Cadherin with Rabbit anti-E-Cadherin antibody (ER63312) at 1/500 dilution.

Cells were fixed in 4% paraformaldehyde for 15 minutes at room temperature, permeabilized with 0.1% Triton X-100 in PBS for 15 minutes at room temperature, then blocked with 1% BSA in 10% negative goat serum for 1 hour at room temperature. Cells were then incubated with Rabbit anti-E-Cadherin antibody (ER63312) at 1/500 dilution in 1% BSA in PBST overnight at 4 ℃. Goat Anti-Rabbit IgG H&L (iFluor™ 488, HA1121) was used as the secondary antibody at 1/1,000 dilution. PBS instead of the primary antibody was used as the secondary antibody only control. Nuclear DNA was labelled in blue with DAPI.

Beta tubulin (M1305-2, red) was stained at 1/100 dilution overnight at +4℃. Goat Anti-Mouse IgG H&L (iFluor™ 594, HA1126) was used as the secondary antibody at 1/1,000 dilution.

C2C12 is a negative control cell.
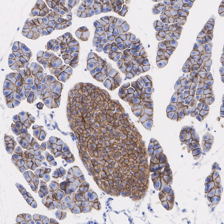
ER63312_6.jpg Fig6: Immunohistochemical analysis of paraffin-embedded mouse pancreas tissue with Rabbit anti-E-Cadherin antibody (ER63312) at 1/2,000 dilution.

The section was pre-treated using heat mediated antigen retrieval with Tris-EDTA buffer (pH 9.0) for 20 minutes. The tissues were blocked in 1% BSA for 20 minutes at room temperature, washed with ddH2O and PBS, and then probed with the primary antibody (ER63312) at 1/2,000 dilution for 1 hour at room temperature. The detection was performed using an HRP conjugated compact polymer system. DAB was used as the chromogen. Tissues were counterstained with hematoxylin and mounted with DPX.
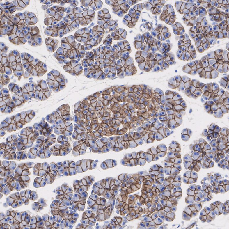
ER63312_7.jpg Fig7: Immunohistochemical analysis of paraffin-embedded rat pancreas tissue with Rabbit anti-E-Cadherin antibody (ER63312) at 1/2,000 dilution.

The section was pre-treated using heat mediated antigen retrieval with Tris-EDTA buffer (pH 9.0) for 20 minutes. The tissues were blocked in 1% BSA for 20 minutes at room temperature, washed with ddH2O and PBS, and then probed with the primary antibody (ER63312) at 1/2,000 dilution for 1 hour at room temperature. The detection was performed using an HRP conjugated compact polymer system. DAB was used as the chromogen. Tissues were counterstained with hematoxylin and mounted with DPX.
ER63312_8.jpg Fig8: Immunohistochemical analysis of paraffin-embedded mouse colon tissue with Rabbit anti-E-Cadherin antibody (ER63312) at 1/2,000 dilution.

The section was pre-treated using heat mediated antigen retrieval with Tris-EDTA buffer (pH 9.0) for 20 minutes. The tissues were blocked in 1% BSA for 20 minutes at room temperature, washed with ddH2O and PBS, and then probed with the primary antibody (ER63312) at 1/2,000 dilution for 1 hour at room temperature. The detection was performed using an HRP conjugated compact polymer system. DAB was used as the chromogen. Tissues were counterstained with hematoxylin and mounted with DPX.
ER63312_9.jpg Fig9: Immunohistochemical analysis of paraffin-embedded rat colon tissue with Rabbit anti-E-Cadherin antibody (ER63312) at 1/2,000 dilution.

The section was pre-treated using heat mediated antigen retrieval with Tris-EDTA buffer (pH 9.0) for 20 minutes. The tissues were blocked in 1% BSA for 20 minutes at room temperature, washed with ddH2O and PBS, and then probed with the primary antibody (ER63312) at 1/2,000 dilution for 1 hour at room temperature. The detection was performed using an HRP conjugated compact polymer system. DAB was used as the chromogen. Tissues were counterstained with hematoxylin and mounted with DPX.
ER63312_10.jpg Fig10: Flow cytometric analysis of MCF7 cells labeling E-Cadherin.

Cells were washed twice with cold PBS and resuspend. Then stained with the primary antibody (ER63312, 1/1,000) (red) compared with Rabbit IgG Isotype Control (green). After incubation of the primary antibody at +4℃ for an hour, the cells were stained with a iFluor™ 488 conjugate-Goat anti-Rabbit IgG Secondary antibody (HA1121) at 1/1,000 dilution for 30 minutes at +4℃. Unlabelled sample was used as a control (cells without incubation with primary antibody; black).
ER63312_11.jpg Fig11: Flow cytometric analysis of 4T1 cells labeling E-Cadherin.

Cells were washed twice with cold PBS and resuspend. Then stained with the primary antibody (ER63312, 1/1,000) (red) compared with Rabbit IgG Isotype Control (green). After incubation of the primary antibody at +4℃ for an hour, the cells were stained with a iFluor™ 488 conjugate-Goat anti-Rabbit IgG Secondary antibody (HA1121) at 1/1,000 dilution for 30 minutes at +4℃. Unlabelled sample was used as a control (cells without incubation with primary antibody; black).
Note: All products are “FOR RESEARCH USE ONLY AND ARE NOT INTENDED FOR DIAGNOSTIC OR THERAPEUTIC USE”.