MAP4K1 / HPK1 Rabbit Polyclonal Antibody
cat.: ER63713
Product Type: Rabbit polyclonal IgG, primary antibodies
Species reactivity: Human, Rat
Applications: WB, IHC-P
Clonality: Polyclonal
Form: Liquid
Storage condition: Shipped at 4℃. Store at +4℃ short term (1-2 weeks). It is recommended to aliquot into single-use upon delivery. Store at -20℃ long term.
Storage buffer: PBS (pH7.4), 0.1% BSA, 40% Glycerol. Preservative: 0.05% Sodium Azide.
Concentration: 2ug/ul
Purification: Immunogen affinity purified.
Molecular weight: Predicted band size: 91 kDa
Isotype: IgG
Immunogen: Recombinant protein within human MAP4K1 aa 301-500.
Positive control: Raji cell lysate, Daudi cell lysate, human spleen tissue, rat spleen tissue.
Subcellular location: Cytoplasm, membrane.
Recommended Dilutions:
  WB
  IHC-P

1:500-1:2,000
1:200
Uniprot #: SwissProt: Q92918 Human
Alternative names: Hematopoietic progenitor kinase 1 Hematopoietic progenitor kinase HPK1 Human Hematopoietic Progenitor Kinase M4K1_HUMAN Map4k1 MAPK/ERK kinase kinase kinase 1 MEK kinase kinase 1 MEKKK 1 Mitogen activated protein kinase kinase kinase kinase 1 Mitogen-activated protein kinase kinase kinase kinase 1
Images
ER63713_1.jpg Fig1: Western blot analysis of MAP4K1 / HPK1 on different lysates with Rabbit anti-MAP4K1 / HPK1 antibody (ER63713) at 1/2,000 dilution.

Lane 1: Raji cell lysate
Lane 2: Daudi cell lysate

Lysates/proteins at 20 µg/Lane.

Predicted band size: 91 kDa
Observed band size: 97 kDa

Exposure time: 10 seconds; ECL: K1801;
4-20% SDS-PAGE gel.

Proteins were transferred to a PVDF membrane and blocked with 5% NFDM/TBST for 1 hour at room temperature. The primary antibody (ER63713) at 1/2,000 dilution was used in 5% NFDM/TBST at 4℃ overnight. Goat Anti-Rabbit IgG - HRP Secondary Antibody (HA1001) at 1/50,000 dilution was used for 1 hour at room temperature.
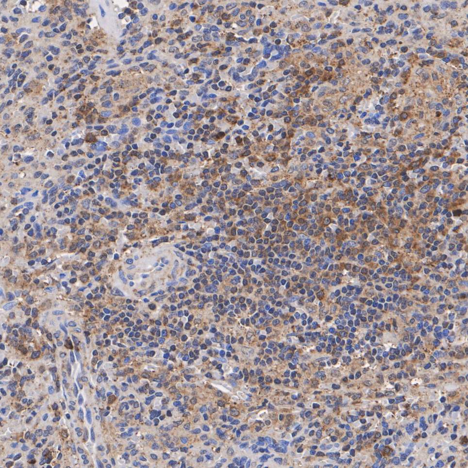
ER63713_2.jpg Fig2: Immunohistochemical analysis of paraffin-embedded human spleen tissue with Rabbit anti-MAP4K1 / HPK1 antibody (ER63713) at 1/200 dilution.

The section was pre-treated using heat mediated antigen retrieval with Tris-EDTA buffer (pH 9.0) for 20 minutes. The tissues were blocked in 1% BSA for 20 minutes at room temperature, washed with ddH2O and PBS, and then probed with the primary antibody (ER63713) at 1/200 dilution for 1 hour at room temperature. The detection was performed using an HRP conjugated compact polymer system. DAB was used as the chromogen. Tissues were counterstained with hematoxylin and mounted with DPX.
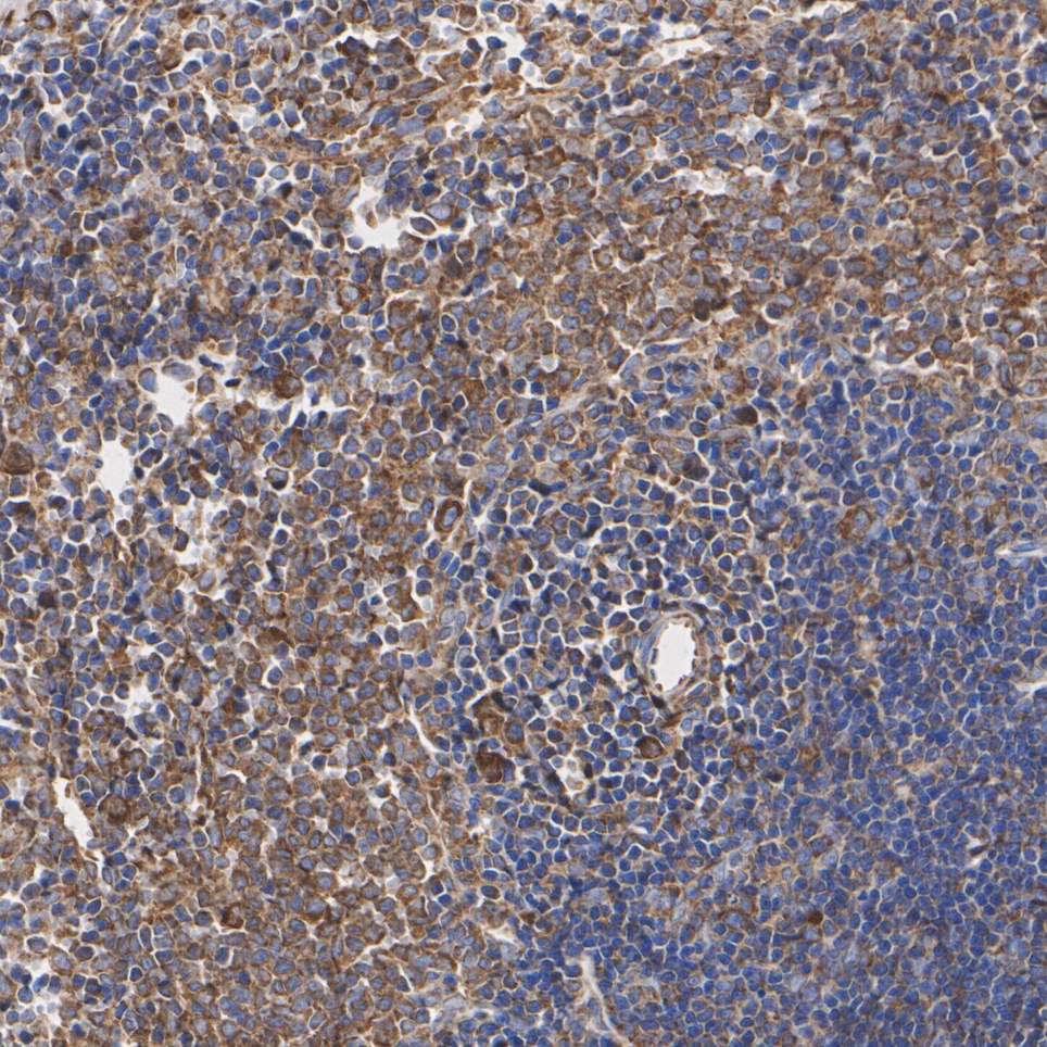
ER63713_3.jpg Fig3: Immunohistochemical analysis of paraffin-embedded rat spleen tissue with Rabbit anti-MAP4K1 / HPK1 antibody (ER63713) at 1/200 dilution.

The section was pre-treated using heat mediated antigen retrieval with Tris-EDTA buffer (pH 9.0) for 20 minutes. The tissues were blocked in 1% BSA for 20 minutes at room temperature, washed with ddH2O and PBS, and then probed with the primary antibody (ER63713) at 1/200 dilution for 1 hour at room temperature. The detection was performed using an HRP conjugated compact polymer system. DAB was used as the chromogen. Tissues were counterstained with hematoxylin and mounted with DPX.
Note: All products are “FOR RESEARCH USE ONLY AND ARE NOT INTENDED FOR DIAGNOSTIC OR THERAPEUTIC USE”.