PCB Rabbit Polyclonal Antibody
cat.: ER64531
Product Type: Rabbit polyclonal IgG, primary antibodies
Species reactivity: Human, Mouse, Rat
Applications: WB, IF-Cell, IHC-P, FC
Clonality: Polyclonal
Form: Liquid
Storage condition: Shipped at 4℃. Store at +4℃ short term (1-2 weeks). It is recommended to aliquot into single-use upon delivery. Store at -20℃ long term.
Storage buffer: PBS (pH7.4), 0.1% BSA, 40% Glycerol. Preservative: 0.05% Sodium Azide.
Concentration: 1ug/ul
Purification: Immunogen affinity purified.
Molecular weight: Predicted band size: 130 kDa
Isotype: IgG
Immunogen: Recombinant protein within Human PCB aa 450-1178.
Positive control: HepG2 cell lysate, Huh7 cell lysate, NIH/3T3 cell lysate, PC-12 cell lysate, Mouse kidney tissue lysate, Rat liver tissue lysate, Rat brain tissue lysate, HepG2, NIH/3T3, mouse liver tissue, rat liver tissue.
Subcellular location: Mitochondrion matrix.
Recommended Dilutions:
  WB
  IF-Cell
  IHC-P
  FC

1:5,000-1:20,000
1:500
1:1,000
1:1,000
Uniprot #: SwissProt: P11498 Human | Q05920 Mouse | P52873 Rat
Alternative names: mitochondrial OTTHUMP00000235155 OTTHUMP00000235156 PC PCB Pcx PYC_HUMAN Pyruvate carboxylase Pyruvate carboxylase mitochondrial Pyruvic carboxylase
Images
ER64531_1.jpg Fig1: Western blot analysis of PCB on different lysates with Rabbit anti-PCB antibody (ER64531) at 1/5,000 dilution.

Lane 1: HepG2 cell lysate
Lane 2: Huh7 cell lysate
Lane 3: NIH/3T3 cell lysate
Lane 4: PC-12 cell lysate
Lane 5: Mouse kidney tissue lysate
Lane 6: Rat liver tissue lysate
Lane 7: Rat brain tissue lysate

Lysates/proteins at 20 µg/Lane.

Predicted band size: 130 kDa
Observed band size: 130 kDa

Exposure time: 2 seconds; ECL: K1801;

4-20% SDS-PAGE gel.

Proteins were transferred to a PVDF membrane and blocked with 5% NFDM/TBST for 1 hour at room temperature. The primary antibody (ER64531) at 1/5,000 dilution was used in 5% NFDM/TBST at 4℃ overnight. Goat Anti-Rabbit IgG - HRP Secondary Antibody (HA1001) at 1/50,000 dilution was used for 1 hour at room temperature.
ER64531_2.jpg Fig2: Western blot analysis of PCB on different lysates with Rabbit anti-PCB antibody (ER64531) at 1/10,000 dilution.

Lane 1: HAP1-parental cell lysate
Lane 2: HAP1-PCB KD cell lysate

Lysates/proteins at 10 µg/Lane.

Predicted band size: 130 kDa
Observed band size: 130 kDa

Exposure time: 21 seconds; ECL: K1801;

4-20% SDS-PAGE gel.

Proteins were transferred to a PVDF membrane and blocked with 5% NFDM/TBST for 1 hour at room temperature. The primary antibody (ER64531) at 1/10,000 dilution was used in primary antibody dilution (K1803) at 4℃ overnight. Goat Anti-Rabbit IgG - HRP Secondary Antibody (HA1001) at 1/50,000 dilution was used for 1 hour at room temperature.
ER64531_3.jpg Fig3: Immunocytochemistry analysis of HepG2 cells labeling PCB with Rabbit anti-PCB antibody (ER64531) at 1/500 dilution.

Cells were fixed in 4% paraformaldehyde for 15 minutes at room temperature, permeabilized with 0.1% Triton X-100 in PBS for 15 minutes at room temperature, then blocked with 1% BSA in 10% negative goat serum for 1 hour at room temperature. Cells were then incubated with Rabbit anti-PCB antibody (ER64531) at 1/500 dilution in 1% BSA in PBST overnight at 4 ℃. Goat Anti-Rabbit IgG H&L (iFluor™ 488, HA1121) was used as the secondary antibody at 1/1,000 dilution. PBS instead of the primary antibody was used as the secondary antibody only control. Nuclear DNA was labelled in blue with DAPI.

Beta tubulin (HA601187, red) was stained at 1/100 dilution overnight at +4℃. Goat Anti-Mouse IgG H&L (iFluor™ 594, HA1126) was used as the secondary antibody at 1/1,000 dilution.
ER64531_4.jpg Fig4: Immunocytochemistry analysis of NIH/3T3 cells labeling PCB with Rabbit anti-PCB antibody (ER64531) at 1/500 dilution.

Cells were fixed in 4% paraformaldehyde for 15 minutes at room temperature, permeabilized with 0.1% Triton X-100 in PBS for 15 minutes at room temperature, then blocked with 1% BSA in 10% negative goat serum for 1 hour at room temperature. Cells were then incubated with Rabbit anti-PCB antibody (ER64531) at 1/500 dilution in 1% BSA in PBST overnight at 4 ℃. Goat Anti-Rabbit IgG H&L (iFluor™ 488, HA1121) was used as the secondary antibody at 1/1,000 dilution. PBS instead of the primary antibody was used as the secondary antibody only control. Nuclear DNA was labelled in blue with DAPI.

Beta tubulin (HA601187, red) was stained at 1/100 dilution overnight at +4℃. Goat Anti-Mouse IgG H&L (iFluor™ 594, HA1126) was used as the secondary antibody at 1/1,000 dilution.
ER64531_5.jpg Fig5: Immunohistochemical analysis of paraffin-embedded mouse liver tissue with Rabbit anti-PCB antibody (ER64531) at 1/1,000 dilution.

The section was pre-treated using heat mediated antigen retrieval with Tris-EDTA buffer (pH 9.0) for 20 minutes. The tissues were blocked in 1% BSA for 20 minutes at room temperature, washed with ddH2O and PBS, and then probed with the primary antibody (ER64531) at 1/1,000 dilution for 1 hour at room temperature. The detection was performed using an HRP conjugated compact polymer system. DAB was used as the chromogen. Tissues were counterstained with hematoxylin and mounted with DPX.
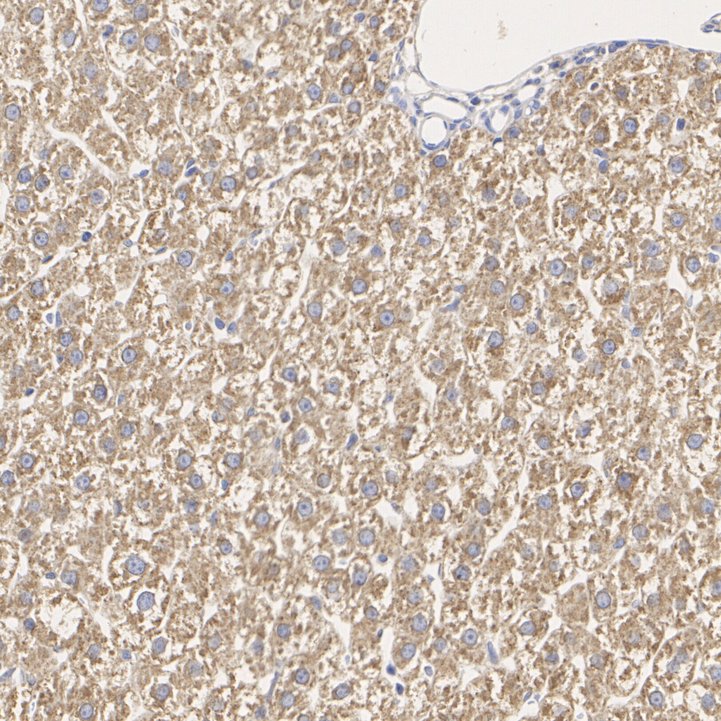
ER64531_6.jpg Fig6: Immunohistochemical analysis of paraffin-embedded rat liver tissue with Rabbit anti-PCB antibody (ER64531) at 1/1,000 dilution.

The section was pre-treated using heat mediated antigen retrieval with Tris-EDTA buffer (pH 9.0) for 20 minutes. The tissues were blocked in 1% BSA for 20 minutes at room temperature, washed with ddH2O and PBS, and then probed with the primary antibody (ER64531) at 1/1,000 dilution for 1 hour at room temperature. The detection was performed using an HRP conjugated compact polymer system. DAB was used as the chromogen. Tissues were counterstained with hematoxylin and mounted with DPX.
ER64531_7.jpg Fig7: Flow cytometric analysis of HepG2 cells labeling PCB.

Cells were fixed and permeabilized. Then stained with the primary antibody (ER64531, 1/1,000) (red) compared with Rabbit IgG Isotype Control (green). After incubation of the primary antibody at +4℃ for an hour, the cells were stained with a iFluor™ 488 conjugate-Goat anti-Rabbit IgG Secondary antibody (HA1121) at 1/1,000 dilution for 30 minutes at +4℃. Unlabelled sample was used as a control (cells without incubation with primary antibody; black).
ER64531_8.jpg Fig8: Flow cytometric analysis of NIH/3T3 cells labeling PCB.

Cells were fixed and permeabilized. Then stained with the primary antibody (ER64531, 1/1,000) (red) compared with Rabbit IgG Isotype Control (green). After incubation of the primary antibody at +4℃ for an hour, the cells were stained with a iFluor™ 488 conjugate-Goat anti-Rabbit IgG Secondary antibody (HA1121) at 1/1,000 dilution for 30 minutes at +4℃. Unlabelled sample was used as a control (cells without incubation with primary antibody; black).
Note: All products are “FOR RESEARCH USE ONLY AND ARE NOT INTENDED FOR DIAGNOSTIC OR THERAPEUTIC USE”.