RPL27A Rabbit Polyclonal Antibody
cat.: ER64831
Product Type: Rabbit polyclonal IgG, primary antibodies
Species reactivity: Human, Mouse, Rat
Applications: WB, IHC-P
Clonality: Polyclonal
Form: Liquid
Storage condition: Shipped at 4℃. Store at +4℃ short term (1-2 weeks). It is recommended to aliquot into single-use upon delivery. Store at -20℃ long term.
Storage buffer: PBS (pH7.4), 0.1% BSA, 40% Glycerol. Preservative: 0.05% Sodium Azide.
Concentration: 2ug/ul
Purification: Immunogen affinity purified.
Molecular weight: Predicted band size: 17 kDa
Isotype: IgG
Immunogen: Synthetic peptide within human aa 1-50.
Positive control: A549 cell lysate, 293T cell lysate, HeLa cell lysate, 3T3-L1 cell lysate, Rat pancreas tissue lysate, mouse pancreas tissue, mouse stomach tissue, rat pancreas tissue, rat stomach tissue.
Subcellular location: Cytoplasm.
Recommended Dilutions:
  WB
  IHC-P

1:5,000
1:1,000
Uniprot #: SwissProt: P46776 Human | P14115 Mouse | P18445 Rat
Alternative names: 60S ribosomal protein L27a FLJ43464 ribosomal protein L27a RL27A_HUMAN rpl27a
Images
ER64831_1.jpg Fig1: Western blot analysis of RPL27A on different lysates with Rabbit anti-RPL27A antibody (ER64831) at 1/5,000 dilution.

Lane 1: A549 cell lysate (15 µg/Lane)
Lane 2: 293T cell lysate (15 µg/Lane)
Lane 3: HeLa cell lysate (15 µg/Lane)
Lane 4: 3T3-L1 cell lysate (15 µg/Lane)
Lane 5: Rat pancreas tissue lysate (15 µg/Lane)

Predicted band size: 17 kDa
Observed band size: 17 kDa

Exposure time: 25 seconds; ECL: K1801;
4-20% SDS-PAGE gel.

Proteins were transferred to a PVDF membrane and blocked with 5% NFDM/TBST for 1 hour at room temperature. The primary antibody (ER64831) at 1/5,000 dilution was used in primary antibody dilution (K1803) at 4℃ overnight. Goat Anti-Rabbit IgG - HRP Secondary Antibody (HA1001) at 1/50,000 dilution was used for 1 hour at room temperature.
ER64831_2.jpg Fig2: Immunohistochemical analysis of paraffin-embedded mouse pancreas tissue with Rabbit anti-RPL27A antibody (ER64831) at 1/1,000 dilution.

The section was pre-treated using heat mediated antigen retrieval with Tris-EDTA buffer (pH 9.0) for 20 minutes. The tissues were blocked in 1% BSA for 20 minutes at room temperature, washed with ddH2O and PBS, and then probed with the primary antibody (ER64831) at 1/1,000 dilution for 1 hour at room temperature. The detection was performed using an HRP conjugated compact polymer system. DAB was used as the chromogen. Tissues were counterstained with hematoxylin and mounted with DPX.
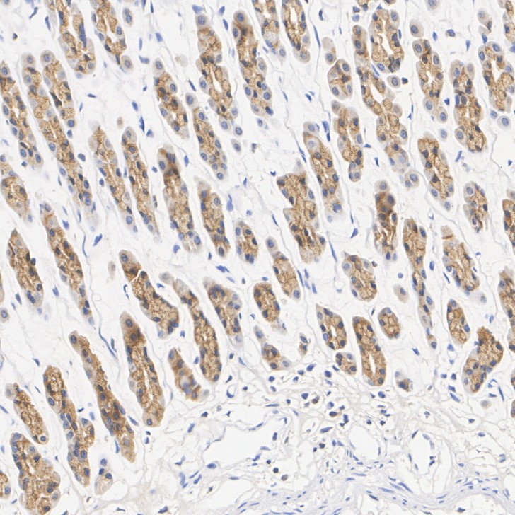
ER64831_3.jpg Fig3: Immunohistochemical analysis of paraffin-embedded mouse stomach tissue with Rabbit anti-RPL27A antibody (ER64831) at 1/1,000 dilution.

The section was pre-treated using heat mediated antigen retrieval with Tris-EDTA buffer (pH 9.0) for 20 minutes. The tissues were blocked in 1% BSA for 20 minutes at room temperature, washed with ddH2O and PBS, and then probed with the primary antibody (ER64831) at 1/1,000 dilution for 1 hour at room temperature. The detection was performed using an HRP conjugated compact polymer system. DAB was used as the chromogen. Tissues were counterstained with hematoxylin and mounted with DPX.
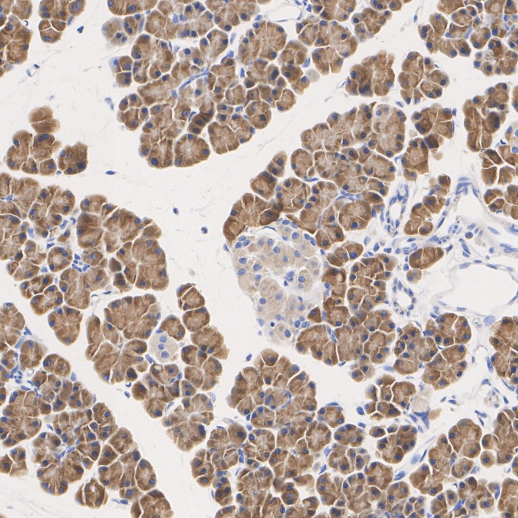
ER64831_4.jpg Fig4: Immunohistochemical analysis of paraffin-embedded rat pancreas tissue with Rabbit anti-RPL27A antibody (ER64831) at 1/1,000 dilution.

The section was pre-treated using heat mediated antigen retrieval with Tris-EDTA buffer (pH 9.0) for 20 minutes. The tissues were blocked in 1% BSA for 20 minutes at room temperature, washed with ddH2O and PBS, and then probed with the primary antibody (ER64831) at 1/1,000 dilution for 1 hour at room temperature. The detection was performed using an HRP conjugated compact polymer system. DAB was used as the chromogen. Tissues were counterstained with hematoxylin and mounted with DPX.
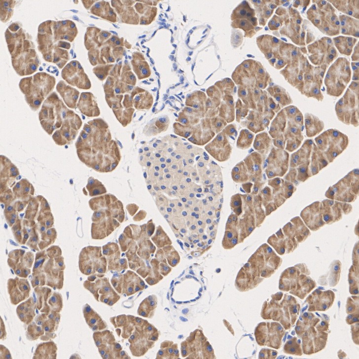
ER64831_5.jpg Fig5: Immunohistochemical analysis of paraffin-embedded rat stomach tissue with Rabbit anti-RPL27A antibody (ER64831) at 1/1,000 dilution.

The section was pre-treated using heat mediated antigen retrieval with Tris-EDTA buffer (pH 9.0) for 20 minutes. The tissues were blocked in 1% BSA for 20 minutes at room temperature, washed with ddH2O and PBS, and then probed with the primary antibody (ER64831) at 1/1,000 dilution for 1 hour at room temperature. The detection was performed using an HRP conjugated compact polymer system. DAB was used as the chromogen. Tissues were counterstained with hematoxylin and mounted with DPX.
Note: All products are “FOR RESEARCH USE ONLY AND ARE NOT INTENDED FOR DIAGNOSTIC OR THERAPEUTIC USE”.