TNF alpha Rabbit Polyclonal Antibody
cat.: ER65189
Product Type: Rabbit polyclonal IgG, primary antibodies
Species reactivity: Human, Mouse, Rat
Applications: WB, IHC-P, IF-Cell
Clonality: Polyclonal
Form: Liquid
Storage condition: Store at +4℃ after thawing. Aliquot store at -20℃ or -80℃. Avoid repeated freeze / thaw cycles.
Storage buffer: Liquid in PBS containing 50% glycerol, 0.5% BSA and 0.02% sodium azide.
Concentration: 1ug/ul
Purification: Immunogen affinity purified.
Molecular weight: 16 kDa
Isotype: IgG
Immunogen: The antiserum was produced against synthesized peptide derived from human TNFA. AA range:141-190
Positive control: Blood,Peripheral blood leukocyte,Placenta,Prostatic carcinoma,
Subcellular location: Cell membrane.
Recommended Dilutions:
  WB
  IHC-P
  IF-cell

1:500-1:2000
1:100-1:300
1:50-1:200
Uniprot #: SwissProt: P01375 Human
Alternative names: APC1 APC1 protein Cachectin DIF Differentiation inducing factor Macrophage cytotoxic factor Tnf TNF superfamily member 2 TNF superfamily member 2 TNF macrophage derived TNF monocyte derived TNF-a TNF-alpha TNFA TNFA_HUMAN TNFSF2 Tumor necrosis factor (TNF superfamily member 2) Tumor necrosis factor alpha Tumor necrosis factor Tumor necrosis factor ligand superfamily member 2 Tumor Necrosis Factor Membrane Form Tumor necrosis factor soluble form TNF-α TNF α
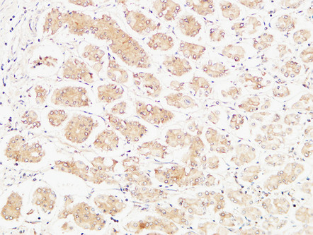
Images
ER65189_1.jpg Fig1: Western Blot analysis of jurkat cell lysate using TNF-α Polyclonal Antibody. Secondary antibody(catalog#:HA1001) was diluted at 1:20000.
ER65189_2.jpg Fig2: Immunohistochemical analysis of paraffin-embedded Human stomach. 1, Antibody was diluted at 1:100(4° overnight). 2, High-pressure and temperature EDTA, pH8.0 was used for antigen retrieval. 3,Secondary antibody was diluted at 1:200(room temperature, 30min).
ER65189_3.jpg Fig3: Immunofluorescence analysis of human-stomach tissue. 1,TNF-α Polyclonal Antibody(red) was diluted at 1:200(4℃,overnight). 2, Cy3 labled Secondary antibody was diluted at 1:300(room temperature, 50min).3, Picture B: DAPI(blue) 10min. Picture A:Target. Picture B: DAPI. Picture C: merge of A+B
Note: All products are “FOR RESEARCH USE ONLY AND ARE NOT INTENDED FOR DIAGNOSTIC OR THERAPEUTIC USE”.