PI 3-Kinase p110γ Rabbit Polyclonal Antibody
cat.: ER65965
Product Type: Rabbit polyclonal IgG, primary antibodies
Species reactivity: Human, Mouse
Applications: WB, IHC, IF, ELISA
Clonality: Polyclonal
Form: Liquid
Storage condition: -15℃ to -25℃/1 year(Do not lower than -25℃)
Storage buffer: Liquid in PBS containing 50% glycerol, 0.5% BSA and 0.02% sodium azide.
Concentration: 1ug/ul
Purification: Immunogen affinity purified.
Molecular weight: 120 kDa
Isotype: IgG
Immunogen: The antiserum was produced against synthesized peptide derived from human PIK3CG. AA range:881-930
Subcellular location: Cytoplasm, Cell membrane.
Recommended Dilutions:
  WB
  IHC
  IF
  ELISA

1:50-1:2,000
1:100-1:300
1:50-1:200
1:40,000
Uniprot #: SwissProt: P48736 Human | Q9JHG7 Mouse
Alternative names: PIK3CG ; Phosphatidylinositol 4 ; 5-bisphosphate 3-kinase catalytic subunit gamma isoform ; PI3-kinase subunit gamma ; PI3K-gamma ; PI3Kgamma ; PtdIns-3-kinase subunit gamma ; Phosphatidylinositol 4,5-bisphosphate 3-kinase 110 kDa catalytic subunit
Images
ER65965_1.jpg Fig1: Western blot analysis of PIK3CG Antibody. The lane on the right is blocked with the PIK3CG peptide.
ER65965_2.jpg Fig2: Western blot analysis of the lysates from Jurkat cells using PIK3CG antibody.
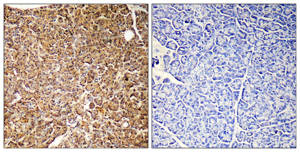
ER65965_3.jpg Fig3: Immunohistochemistryt analysis of paraffin-embedded human pancreas, using PIK3CG Antibody. The lane on the right is blocked with the PIK3CG peptide.
Note: All products are “FOR RESEARCH USE ONLY AND ARE NOT INTENDED FOR DIAGNOSTIC OR THERAPEUTIC USE”.