Alkaline Phosphatase Recombinant Rabbit Monoclonal Antibody [SA40-00]
cat.: ET1601-21
Product Type: Recombinant Rabbit monoclonal IgG, primary antibodies
Species reactivity: Human, Mouse, Rat
Applications: WB, IHC-P, IF-Tissue
Clonality: Monoclonal
Clone number: SA40-00
Form: Liquid
Storage condition: Shipped at 4℃. Store at +4℃ short term (1-2 weeks). It is recommended to aliquot into single-use upon delivery. Store at -20℃ long term.
Storage buffer: 1*TBS (pH7.4), 0.05% BSA, 40% Glycerol. Preservative: 0.05% Sodium Azide.
Concentration: 1ug/ul
Purification: Protein A affinity purified.
Molecular weight: Predicted band size: 57 kDa
Isotype: IgG
Immunogen: Synthetic peptide within human Alkaline Phosphatase aa 18-50.
Positive control: Saos-2 cell lysate, HeLa cell lysate, A549 cell lysate, Mouse liver tissue lysate, Rat liver tissue lysate, HepG2, SW480, mouse kidney tissue, mouse jawbone tissue, rat liver tissue, mouse liver tissue, Hela.
Subcellular location: Cell membrane, Mitochondrion membrane, Mitochondrion intermembrane space, Extracellular vesicle membrane.
Recommended Dilutions:
  WB
  IHC-P
  IF-Tissue

1:5,000
1:1,000-1:8,000
1:200
Uniprot #: SwissProt: P05186 Human | P09242 Mouse | P08289 Rat
Alternative names: Alkaline phosphatase Alkaline phosphatase placental Alkaline phosphatase placental type Alkaline phosphatase Regan isozyme ALP Alp1 ALPP FLJ61142 Germ-cell alkaline phosphatase nagao isozyme OTTHUMP00000164354 PALP Placental alkaline phosphatase 1 placental heat-stable alkaline phosphatase placental type PLAP PLAP-1 PLAP1 PPB1_HUMAN
Images
ET1601-21_1.jpg Fig1: Western blot analysis of Alkaline Phosphatase on different lysates with Rabbit anti-Alkaline Phosphatase antibody (ET1601-21) at 1/5,000 dilution.

Lane 1: Saos-2 cell lysate (15 µg/Lane)
Lane 2: HeLa cell lysate (15 µg/Lane)
Lane 3: A549 cell lysate (15 µg/Lane)
Lane 4: Mouse liver tissue lysate (20 µg/Lane)
Lane 5: Rat liver tissue lysate (20 µg/Lane)

Predicted band size: 57 kDa
Observed band size: 75 kDa
Exposure time: 24 seconds; ECL: K1801;
4-20% SDS-PAGE gel.

Proteins were transferred to a PVDF membrane and blocked with 5% NFDM/TBST for 1 hour at room temperature. The primary antibody (ET1601-21) at 1/5,000 dilution was used in 5% NFDM/TBST at 4℃ overnight. Goat Anti-Rabbit IgG - HRP Secondary Antibody (HA1001) at 1:50,000 dilution was used for 1 hour at room temperature.
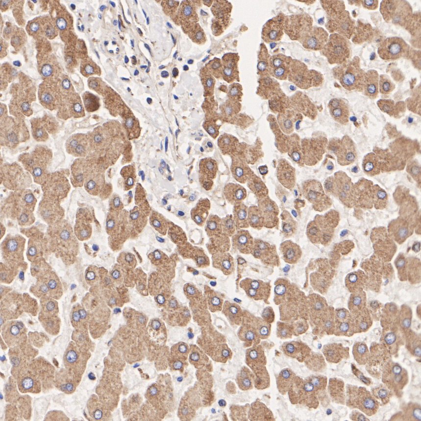
ET1601-21_2.jpg Fig2: Immunohistochemical analysis of paraffin-embedded human liver tissue with Rabbit anti-Alkaline Phosphatase antibody (ET1601-21) at 1/8,000 dilution.

The section was pre-treated using heat mediated antigen retrieval with Tris-EDTA buffer (pH 9.0) for 20 minutes. The tissues were blocked in 1% BSA for 20 minutes at room temperature, washed with ddH2O and PBS, and then probed with the primary antibody (ET1601-21) at 1/8,000 dilution for 1 hour at room temperature. The detection was performed using an HRP conjugated compact polymer system. DAB was used as the chromogen. Tissues were counterstained with hematoxylin and mounted with DPX.
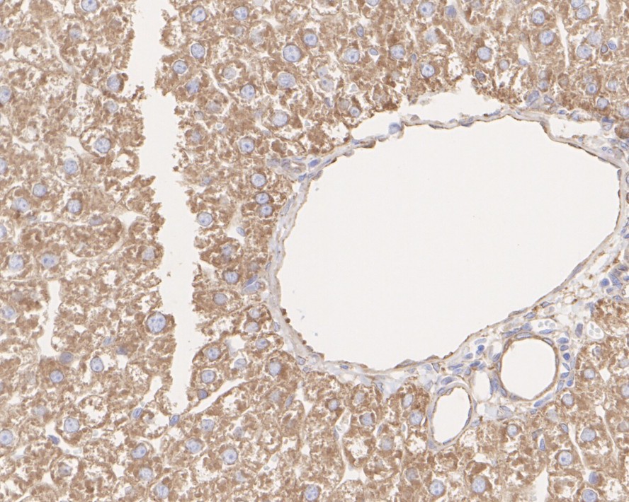
ET1601-21_3.jpg Fig3: Immunohistochemical analysis of paraffin-embedded mouse liver tissue with Rabbit anti-Alkaline Phosphatase antibody (ET1601-21) at 1/8,000 dilution.

The section was pre-treated using heat mediated antigen retrieval with Tris-EDTA buffer (pH 9.0) for 20 minutes. The tissues were blocked in 1% BSA for 20 minutes at room temperature, washed with ddH2O and PBS, and then probed with the primary antibody (ET1601-21) at 1/8,000 dilution for 1 hour at room temperature. The detection was performed using an HRP conjugated compact polymer system. DAB was used as the chromogen. Tissues were counterstained with hematoxylin and mounted with DPX.
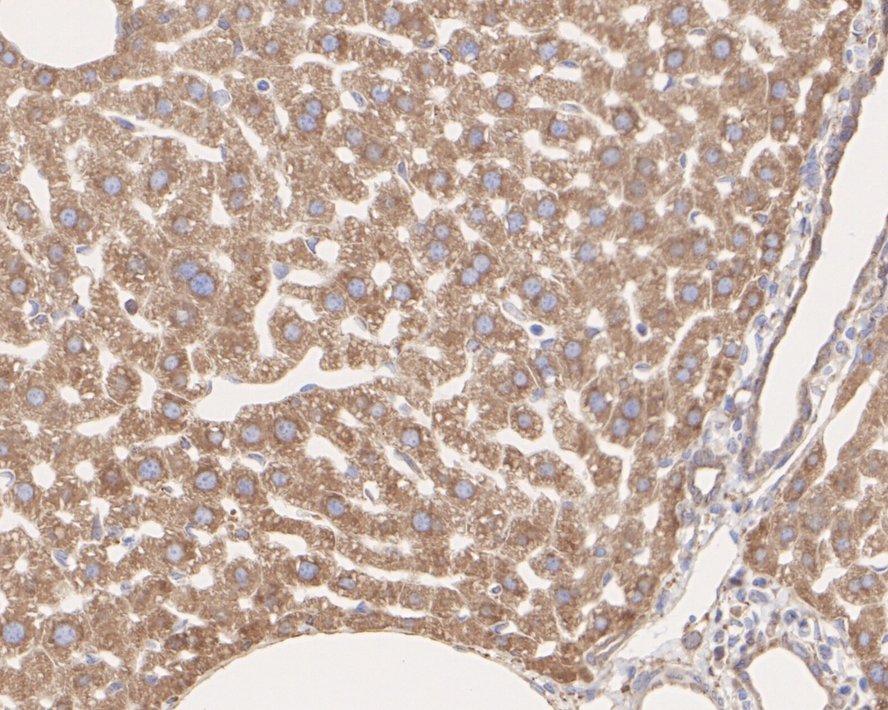
ET1601-21_4.jpg Fig4: Immunohistochemical analysis of paraffin-embedded rat liver tissue with Rabbit anti-Alkaline Phosphatase antibody (ET1601-21) at 1/8,000 dilution.

The section was pre-treated using heat mediated antigen retrieval with Tris-EDTA buffer (pH 9.0) for 20 minutes. The tissues were blocked in 1% BSA for 20 minutes at room temperature, washed with ddH2O and PBS, and then probed with the primary antibody (ET1601-21) at 1/8,000 dilution for 1 hour at room temperature. The detection was performed using an HRP conjugated compact polymer system. DAB was used as the chromogen. Tissues were counterstained with hematoxylin and mounted with DPX.
ET1601-21_5.jpg Fig5: Immunohistochemical analysis of paraffin-embedded mouse jawbone tissue with Rabbit anti-Alkaline Phosphatase antibody (ET1601-21) at 1/200 dilution.

The section was pre-treated using heat mediated antigen retrieval with Tris-EDTA buffer (pH 9.0) for 20 minutes. The tissues were blocked in 1% BSA for 20 minutes at room temperature, washed with ddH2O and PBS, and then probed with the primary antibody (ET1601-21) at 1/200 dilution for 1 hour at room temperature. The detection was performed using an HRP conjugated compact polymer system. DAB was used as the chromogen. Tissues were counterstained with hematoxylin and mounted with DPX.
ET1601-21_6.jpg Fig6: Application: IF-Tissue

Species: Human

Site: liver

Sample: Paraffin-embedded section

Antibody concentration: 1/200
ET1601-21_7.jpg Fig7: Application: IF-Tissue

Species: Mouse

Site: bone

Sample: Paraffin-embedded section

Antibody concentration: 1/200
ET1601-21_8.jpg Fig8: Application: IF-Tissue

Species: Mouse

Site: bone

Sample: Paraffin-embedded section

Antibody concentration: 1/200
Note: All products are “FOR RESEARCH USE ONLY AND ARE NOT INTENDED FOR DIAGNOSTIC OR THERAPEUTIC USE”.