LAMP2a Recombinant Rabbit Monoclonal Antibody [SA46-01]
cat.: ET1601-24
Product Type: Recombinant Rabbit monoclonal IgG, primary antibodies
Species reactivity: Human, Mouse, Rat
Applications: WB, IHC-P, IP
Clonality: Monoclonal
Clone number: SA46-01
Form: Liquid
Storage condition: Shipped at 4℃. Store at +4℃ short term (1-2 weeks). It is recommended to aliquot into single-use upon delivery. Store at -20℃ long term.
Storage buffer: 1*TBS (pH7.4), 0.05% BSA, 40% Glycerol. Preservative: 0.05% Sodium Azide.
Concentration: 1ug/ul
Purification: Protein A affinity purified.
Molecular weight: Predicted band size: 45 kDa
Isotype: IgG
Immunogen: Synthetic peptide within Human LAMP2a aa 361-410 / 410.
Positive control: SK-MEL-28 cell lysate, HeLa cell lysate, JAR cell lysate, U-937 cell lysate, RAW264.7 cell lysate, NIH/3T3 cell lysate, PC-12 cell lysate, mouse liver tissue lysate, rat liver tissue lysate, rat lung tissue lysate, human kidney tissue, human liver tissue, human pancreas tissue, mouse kidney tissue, mouse placenta tissue, mouse pancreas tissue, rat kidney tissue.
Subcellular location: Cell membrane, Endosome membrane, Lysosome membrane
Recommended Dilutions:
  WB
  IHC-P
  IP

1:5,000
1:500
Use at an assay dependent concentration.
Uniprot #: SwissProt: P13473 Human | P17047 Mouse | P17046 Rat
Alternative names: CD107 antigen-like family member B CD107b LAMP 2 Lamp 2a LAMP-2 LAMP2 LAMP2_HUMAN Lysosome-associated membrane glycoprotein 2 Lysosome-associated membrane protein 2
Images
ET1601-24_1.jpg Fig1: Western blot analysis of LAMP2a on different lysates with Rabbit anti-LAMP2a antibody (ET1601-24) at 1/5,000 dilution.

Lane 1: SK-MEL-28 cell lysate (20 µg/Lane)
Lane 2: HeLa cell lysate (20 µg/Lane)
Lane 3: JAR cell lysate (20 µg/Lane)
Lane 4: U-937 cell lysate (20 µg/Lane)
Lane 5: RAW264.7 cell lysate (15 µg/Lane)
Lane 6: NIH/3T3 cell lysate (15 µg/Lane)
Lane 7: PC-12 cell lysate (15 µg/Lane)
Lane 8: Mouse liver tissue lysate (30 µg/Lane)
Lane 9: Rat liver tissue lysate (30 µg/Lane)
Lane 10: Rat lung tissue lysate (30 µg/Lane)

Predicted band size: 45 kDa
Observed band size: 70-140 kDa

Exposure time: Lane 1-4: 2 minutes 37 seconds; Lane 5-10: 5 minutes;

4-20% SDS-PAGE gel.

Proteins were transferred to a PVDF membrane and blocked with 5% NFDM/TBST for 1 hour at room temperature. The primary antibody (ET1601-24) at 1/5,000 dilution was used in 5% NFDM/TBST at 4℃ overnight. Goat Anti-Rabbit IgG - HRP Secondary Antibody (HA1001) at 1:50,000 dilution was used for 1 hour at room temperature.
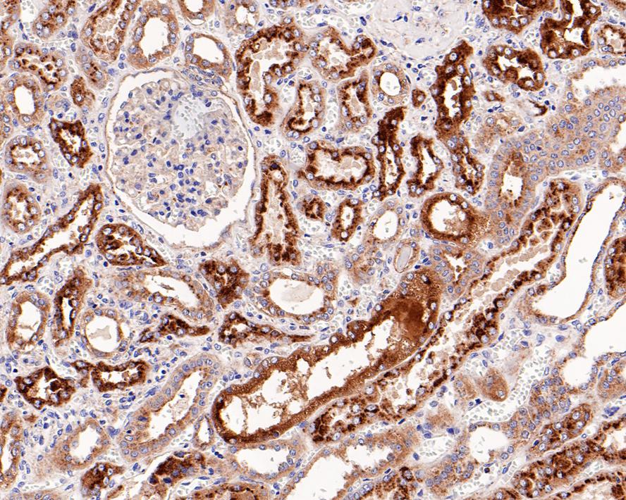
ET1601-24_2.jpg Fig2: Immunohistochemical analysis of paraffin-embedded human kidney tissue with Rabbit anti-LAMP2a antibody (ET1601-24) at 1/500 dilution.

The section was pre-treated using heat mediated antigen retrieval with Tris-EDTA buffer (pH 9.0) for 20 minutes. The tissues were blocked in 1% BSA for 20 minutes at room temperature, washed with ddH2O and PBS, and then probed with the primary antibody (ET1601-24) at 1/500 dilution for 1 hour at room temperature. The detection was performed using an HRP conjugated compact polymer system. DAB was used as the chromogen. Tissues were counterstained with hematoxylin and mounted with DPX.
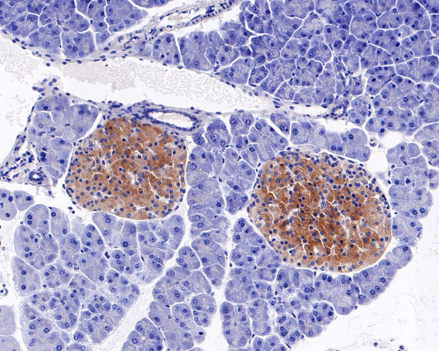
ET1601-24_3.jpg Fig3: Immunohistochemical analysis of paraffin-embedded mouse pancreas tissue with Rabbit anti-LAMP2a antibody (ET1601-24) at 1/500 dilution.

The section was pre-treated using heat mediated antigen retrieval with Tris-EDTA buffer (pH 9.0) for 20 minutes. The tissues were blocked in 1% BSA for 20 minutes at room temperature, washed with ddH2O and PBS, and then probed with the primary antibody (ET1601-24) at 1/500 dilution for 1 hour at room temperature. The detection was performed using an HRP conjugated compact polymer system. DAB was used as the chromogen. Tissues were counterstained with hematoxylin and mounted with DPX.
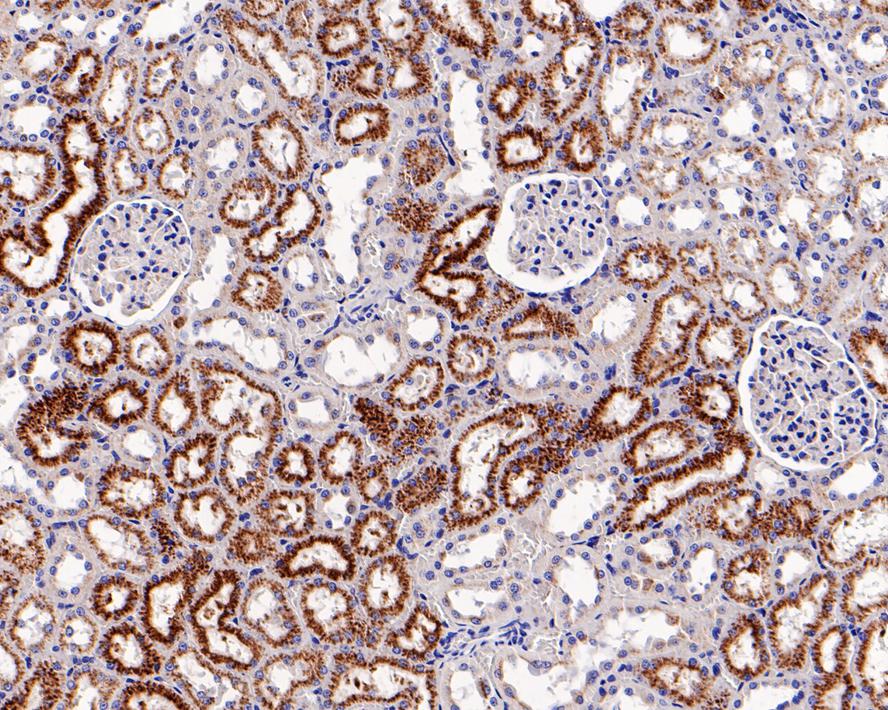
ET1601-24_4.jpg Fig4: Immunohistochemical analysis of paraffin-embedded rat kidney tissue with Rabbit anti-LAMP2a antibody (ET1601-24) at 1/500 dilution.

The section was pre-treated using heat mediated antigen retrieval with Tris-EDTA buffer (pH 9.0) for 20 minutes. The tissues were blocked in 1% BSA for 20 minutes at room temperature, washed with ddH2O and PBS, and then probed with the primary antibody (ET1601-24) at 1/500 dilution for 1 hour at room temperature. The detection was performed using an HRP conjugated compact polymer system. DAB was used as the chromogen. Tissues were counterstained with hematoxylin and mounted with DPX.
ET1601-24_5.jpg Fig5: LAMP2a was immunoprecipitated from 0.2 mg SK-MEL-28 cell lysate with ET1601-24 at 2 µg/25 µl beads. Western blot was performed from the immunoprecipitate using ET1601-24 at 1/2,000 dilution. HRP Conjugated Rabbit IgG kappa light chain antibody (M1208-2) at 1/5,000 dilution was used for 1 hour at room temperature.

Lane 1: SK-MEL-28 cell lysate (Input)
Lane 2: ET1601-24 IP in SK-MEL-28 cell lysate
Lane 3: Rabbit IgG instead of ET1601-24 in SK-MEL-28 cell lysate

Blocking/Dilution buffer: 5% NFDM/TBST
Exposure time: 20 seconds; ECL: K1801
Note: All products are “FOR RESEARCH USE ONLY AND ARE NOT INTENDED FOR DIAGNOSTIC OR THERAPEUTIC USE”.