Filamin A Recombinant Rabbit Monoclonal Antibody [SA30-08]
cat.: ET1601-3
Product Type: Recombinant Rabbit monoclonal IgG, primary antibodies
Species reactivity: Human, Mouse, Rat, Monkey
Applications: WB, IF-Cell, IF-Tissue, IHC-P, FC
Clonality: Monoclonal
Clone number: SA30-08
Form: Liquid
Storage condition: Shipped at 4℃. Store at +4℃ short term (1-2 weeks). It is recommended to aliquot into single-use upon delivery. Store at -20℃ long term.
Storage buffer: 1*TBS (pH7.4), 0.05% BSA, 40% Glycerol. Preservative: 0.05% Sodium Azide.
Concentration: 1ug/ul
Purification: Protein A affinity purified.
Molecular weight: Predicted band size: 281 kDa
Isotype: IgG
Immunogen: Synthetic peptide within Human Filamin A aa 2,598-2,647 / 2,647.
Positive control: HeLa cell lysate, HEK-293 cell lysate, A549 cell lysate, NIH/3T3 cell lysate, C2C12 cell lysate, C6 cell lysate, COS-1 cell lysate, HeLa, C2C12, C6, human uterus tissue, mouse uterus tissue.
Subcellular location: Cytoplasm.
Recommended Dilutions:
  WB
  IF-Cell
  IF-Tissue
  IHC-P
  FC

1:2,000
1:200-1:500
1:50
1:100-1:400
1:1,000
Uniprot #: SwissProt: P21333 Human | Q8BTM8 Mouse
Gene ID: 293860 Rat
Alternative names: ABP 280 ABP-280 Actin-binding protein 280 Alpha filamin Alpha-filamin APBX CSBS CVD1 Endothelial actin binding protein Endothelial actin-binding protein Filamin 1 Filamin A alpha Filamin A Filamin-1 Filamin-A FLN FLN-A FLN1 FLNA FLNA_HUMAN FMD MNS NHBP Non muscle filamin Non-muscle filamin OPD OPD1 OPD2 XLVD XMVD
Images
ET1601-3_1.jpg Fig1: Western blot analysis of Filamin A on different lysates with Rabbit anti-Filamin A antibody (ET1601-3) at 1/2,000 dilution.

Lane 1: HeLa cell lysate
Lane 2: HEK-293 cell lysate
Lane 3: A549 cell lysate
Lane 4: NIH/3T3 cell lysate
Lane 5: C2C12 cell lysate
Lane 6: C6 cell lysate
Lane 7: COS-1 cell lysate

Lysates/proteins at 20 µg/Lane.

Predicted band size: 281 kDa
Observed band size: 281 kDa

Exposure time: 3 seconds; ECL: K1801;

4-20% SDS-PAGE gel.

Proteins were transferred to a PVDF membrane and blocked with 5% NFDM/TBST for 1 hour at room temperature. The primary antibody (ET1601-3) at 1/2,000 dilution was used in 5% NFDM/TBST at 4℃ overnight. Goat Anti-Rabbit IgG - HRP Secondary Antibody (HA1001) at 1/50,000 dilution was used for 1 hour at room temperature.
ET1601-3_2.jpg Fig2: Western blot analysis of Filamin A on different lysates with Rabbit anti-Filamin A antibody (ET1601-3) at 1/2,000 dilution.

Lane 1: HAP1-parental cell lysate
Lane 2: HAP1-Filamin A KD cell lysate

Lysates/proteins at 10 µg/Lane.

Predicted band size: 281 kDa
Observed band size: 281 kDa

Exposure time: 20 seconds; ECL: K1801;

4-20% SDS-PAGE gel.

Proteins were transferred to a PVDF membrane and blocked with 5% NFDM/TBST for 1 hour at room temperature. The primary antibody (ET1601-3) at 1/2,000 dilution was used in K1803 at 4℃ overnight. Goat Anti-Rabbit IgG - HRP Secondary Antibody (HA1001) at 1/50,000 dilution was used for 1 hour at room temperature.
ET1601-3_3.jpg Fig3: Immunocytochemistry analysis of HeLa cells labeling Filamin A with Rabbit anti-Filamin A antibody (ET1601-3) at 1/200 dilution.

Cells were fixed in 4% paraformaldehyde for 15 minutes at room temperature, permeabilized with 0.1% Triton X-100 in PBS for 15 minutes at room temperature, then blocked with 1% BSA in 10% negative goat serum for 1 hour at room temperature. Cells were then incubated with Rabbit anti-Filamin A antibody (ET1601-3) at 1/200 dilution in 1% BSA in PBST overnight at 4 ℃. Goat Anti-Rabbit IgG H&L (iFluor™ 488, HA1121) was used as the secondary antibody at 1/1,000 dilution. PBS instead of the primary antibody was used as the secondary antibody only control. Nuclear DNA was labelled in blue with DAPI.

Beta tubulin (HA601187, red) was stained at 1/100 dilution overnight at +4℃. Goat Anti-Mouse IgG H&L (iFluor™ 594, HA1126) was used as the secondary antibody at 1/1,000 dilution.
ET1601-3_4.jpg Fig4: Immunocytochemistry analysis of C2C12 cells labeling Filamin A with Rabbit anti-Filamin A antibody (ET1601-3) at 1/500 dilution.

Cells were fixed in 4% paraformaldehyde for 15 minutes at room temperature, permeabilized with 0.1% Triton X-100 in PBS for 15 minutes at room temperature, then blocked with 1% BSA in 10% negative goat serum for 1 hour at room temperature. Cells were then incubated with Rabbit anti-Filamin A antibody (ET1601-3) at 1/500 dilution in 1% BSA in PBST overnight at 4 ℃. Goat Anti-Rabbit IgG H&L (iFluor™ 488, HA1121) was used as the secondary antibody at 1/1,000 dilution. PBS instead of the primary antibody was used as the secondary antibody only control. Nuclear DNA was labelled in blue with DAPI.

Beta tubulin (HA601187, red) was stained at 1/100 dilution overnight at +4℃. Goat Anti-Mouse IgG H&L (iFluor™ 594, HA1126) was used as the secondary antibody at 1/1,000 dilution.
ET1601-3_5.jpg Fig5: Immunocytochemistry analysis of C6 cells labeling Filamin A with Rabbit anti-Filamin A antibody (ET1601-3) at 1/200 dilution.

Cells were fixed in 4% paraformaldehyde for 15 minutes at room temperature, permeabilized with 0.1% Triton X-100 in PBS for 15 minutes at room temperature, then blocked with 1% BSA in 10% negative goat serum for 1 hour at room temperature. Cells were then incubated with Rabbit anti-Filamin A antibody (ET1601-3) at 1/200 dilution in 1% BSA in PBST overnight at 4 ℃. Goat Anti-Rabbit IgG H&L (iFluor™ 488, HA1121) was used as the secondary antibody at 1/1,000 dilution. PBS instead of the primary antibody was used as the secondary antibody only control. Nuclear DNA was labelled in blue with DAPI.

Beta tubulin (HA601187, red) was stained at 1/100 dilution overnight at +4℃. Goat Anti-Mouse IgG H&L (iFluor™ 594, HA1126) was used as the secondary antibody at 1/1,000 dilution.
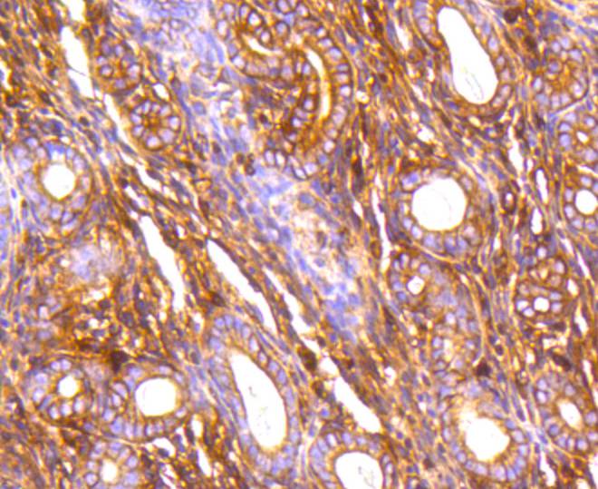
ET1601-3_6.jpg Fig6: Immunohistochemical analysis of paraffin-embedded human uterus tissue using anti-Filamin A antibody. The section was pre-treated using heat mediated antigen retrieval with Tris-EDTA buffer (pH 8.0-8.4) for 20 minutes.The tissues were blocked in 5% BSA for 30 minutes at room temperature, washed with ddH2O and PBS, and then probed with the primary antibody (ET1601-3, 1/100) for 30 minutes at room temperature. The detection was performed using an HRP conjugated compact polymer system. DAB was used as the chromogen. Tissues were counterstained with hematoxylin and mounted with DPX.
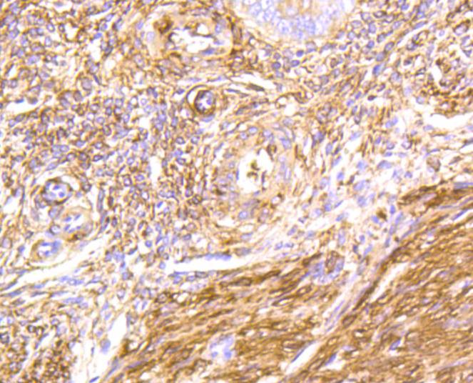
ET1601-3_7.jpg Fig7: Immunohistochemical analysis of paraffin-embedded mouse uterus tissue using anti-Filamin A antibody. The section was pre-treated using heat mediated antigen retrieval with Tris-EDTA buffer (pH 8.0-8.4) for 20 minutes.The tissues were blocked in 5% BSA for 30 minutes at room temperature, washed with ddH2O and PBS, and then probed with the primary antibody (ET1601-3, 1/400) for 30 minutes at room temperature. The detection was performed using an HRP conjugated compact polymer system. DAB was used as the chromogen. Tissues were counterstained with hematoxylin and mounted with DPX.
ET1601-3_8.jpg Fig8: Flow cytometric analysis of HeLa cells labeling Filamin A.

Cells were fixed and permeabilized. Then stained with the primary antibody (ET1601-3, 1/1,000) (red) compared with Rabbit IgG Isotype Control (green). After incubation of the primary antibody at +4℃ for an hour, the cells were stained with a iFluor™ 488 conjugate-Goat anti-Rabbit IgG Secondary antibody (HA1121) at 1/1,000 dilution for 30 minutes at +4℃. Unlabelled sample was used as a control (cells without incubation with primary antibody; black).
Note: All products are “FOR RESEARCH USE ONLY AND ARE NOT INTENDED FOR DIAGNOSTIC OR THERAPEUTIC USE”.