Cytokeratin 19 Recombinant Rabbit Monoclonal Antibody [SA30-06]
cat.: ET1601-6
Product Type: Recombinant Rabbit monoclonal IgG, primary antibodies
Species reactivity: Human, Mouse, Rat
Applications: WB, IF-Cell, IF-Tissue, IHC-P, FC, mIHC
Clonality: Monoclonal
Clone number: SA30-06
Form: Liquid
Storage condition: Shipped at 4℃. Store at +4℃ short term (1-2 weeks). It is recommended to aliquot into single-use upon delivery. Store at -20℃ long term.
Storage buffer: 1*TBS (pH7.4), 0.05% BSA, 40% Glycerol. Preservative: 0.05% Sodium Azide.
Concentration: 1ug/ul
Purification: Protein A affinity purified.
Molecular weight: Predicted band size: 44 kDa
Isotype: IgG
Immunogen: Synthetic peptide within Human Cytokeratin 19 aa 348-400 / 400.
Positive control: MCF-7 cell lysates, AGS, human liver tissue, human breast carcinoma tissue, human breast tissue, mouse liver tissue, human kidney tissue, human placenta tissue, MCF7, human stomach carcinoma tissue, human colon tissue, mouse pancreas.
Subcellular location: Cytoplasm
Recommended Dilutions:
  WB
  IF-Cell
  IF-Tissue
  IHC-P
  FC
  mIHC

1:2,000-1:5,000
1:500
1:500
1:1,000
1:1,000
1:2,000-1:10,000
Uniprot #: SwissProt: P08727 Human | P19001 Mouse | Q63279 Rat
Alternative names: 40 kDa keratin intermediate filament CK 19 CK-19 CK19 Cytokeratin 19 Cytokeratin-19 K19 K1C19_HUMAN K1CS Keratin 19 Keratin type I 40 kD Keratin type I 40kD Keratin type I cytoskeletal 19 Keratin, type I cytoskeletal 19 Keratin, type I, 40 kd Keratin-19 KRT19 MGC15366
Images
ET1601-6_1.jpg Fig1: Western blot analysis of Cytokeratin 19 on different lysates with Rabbit anti-Cytokeratin 19 antibody (ET1601-6) at 1/2,000 dilution.

Lane 1: HepG2 cell lysate
Lane 2: MCF-7 cell lysate
Lane 3: Rat lung tissue lysate

Lysates/proteins at 20 µg/Lane.

Predicted band size: 44 kDa
Observed band size: 44 kDa

Exposure time: 9 seconds; ECL: K1801;

4-20% SDS-PAGE gel.

Proteins were transferred to a PVDF membrane and blocked with 5% NFDM/TBST for 1 hour at room temperature. The primary antibody (ET1601-6) at 1/2,000 dilution was used in 5% NFDM/TBST at 4℃ overnight. Goat Anti-Rabbit IgG - HRP Secondary Antibody (HA1001) at 1/50,000 dilution was used for 1 hour at room temperature.
ET1601-6_2.jpg Fig2: Western blot analysis of Cytokeratin 19 with anti-Cytokeratin 19 antibody [SA30-06] (ET1601-6) at 1/5,000 dilution.
Lane 1: Wild-type HepG2 whole cell lysate (20 µg).
Lane 2/3: Cytokeratin 19 knockout HepG2 whole cell lysate (20 µg).

Proteins were transferred to a PVDF membrane and blocked with 5% NFDM in TBST for 1 hour at room temperature. The primary Anti-Cytokeratin 19 Antibody (ET1601-6, 1/5,000) and anti-HSP90 antibody (ET1605-56, 1/10,000) were used in 5% BSA at room temperature for 2 hours. Goat Anti-Rabbit IgG H&L (HRP) Secondary Antibody (HA1001) at 1/200,000 dilution was used for 1 hour at room temperature.
ET1601-6_3.jpg Fig3: Fluorescence multiplex immunohistochemical analysis of mouse pancreas (Formalin/PFA-fixed paraffin-embedded sections). Panel A: the merged image of anti-β-catenin (ET1601-5, Red), anti-Glucagon (ET1702-20, Green), anti-Insulin (ET1601-12, White), anti-CK19 (ET1601-6, Magenta) and anti-aSMA (ET1607-53, Yellow) on mouse pancreas. HRP Conjugated UltraPolymer Goat Polyclonal Antibody HA1119/HA1120 was used as a secondary antibody. The immunostaining was performed with the Sequential Immuno-staining Kit (IRISKit™MH010101, www.luminiris.cn). The section was incubated in five rounds of staining: in the order of ET1601-5 (1/2,000 dilution), ET1702-20 (1/6,000 dilution), ET1601-12 (1/8,000 dilution), ET1601-6 (1/5,000 dilution) and ET1607-53 (1/10,000 dilution) for 20 mins at room temperature. Each round was followed by a separate fluorescent tyramide signal amplification system. Heat mediated antigen retrieval with Tris-EDTA buffer (pH 9.0) for 30 mins at 95℃. DAPI (blue) was used as a nuclear counter stain. Image acquisition was performed with Olympus VS200 Slide Scanner.
ET1601-6_4.jpg Fig4: Fluorescence multiplex immunohistochemical analysis of mouse liver (Formalin/PFA-fixed paraffin-embedded sections). Panel A: the merged image of anti-HNF4α (HA721006, Cyan), anti-CK19 (ET1601-6, Magenta) and anti-aSMA (ET1607-53, Yellow) on mouse liver. HRP Conjugated UltraPolymer Goat Polyclonal Antibody HA1119/HA1120 was used as a secondary antibody. The immunostaining was performed with the Sequential Immuno-staining Kit (IRISKit™MH010101, www.luminiris.cn). The section was incubated in three rounds of staining: in the order of HA721006 (1/5,000 dilution), ET1601-6 (1/10,000 dilution) and ET1607-53 (1/10,000 dilution) for 20 mins at room temperature. Each round was followed by a separate fluorescent tyramide signal amplification system. Heat mediated antigen retrieval with Tris-EDTA buffer (pH 9.0) for 30 mins at 95℃. DAPI (blue) was used as a nuclear counter stain. Image acquisition was performed with Olympus VS200 Slide Scanner.
ET1601-6_5.jpg Fig5: Fluorescence multiplex immunohistochemical analysis of mouse pancreas (Formalin/PFA-fixed paraffin-embedded sections). Panel A: the merged image of anti-Cytokeratin 19 (ET1601-6, White) and anti-PAX6 (ET1612-58, Violet) on pancreas. HRP Conjugated UltraPolymer Goat Polyclonal Antibody HA1119/HA1120 was used as a secondary antibody. The immunostaining was performed with the Sequential Immuno-staining Kit (IRISKit™MH010101, www.luminiris.cn). The section was incubated in two rounds of staining: in the order of ET1601-6 (1/5,000 dilution) and ET1612-58 (1/1,000 dilution) for 20 mins at room temperature. Each round was followed by a separate fluorescent tyramide signal amplification system. Heat mediated antigen retrieval with Tris-EDTA buffer (pH 9.0) for 30 mins at 95℃. DAPI (blue) was used as a nuclear counter stain. Image acquisition was performed with Zeiss Observer 7 Inverted Fluorescence Microscope.
ET1601-6_6.jpg Fig6: Fluorescence multiplex immunohistochemical analysis of mouse liver (Formalin/PFA-fixed paraffin-embedded sections). Panel A: the merged image of anti-Th (ET1611-12, Green), anti-HNF4a (HA721006, Magenta), anti-CK19 (ET1601-6, Cyan), anti-α-sma (ET1607-53, Red) and anti-β-catenin (ET1601-5, Yellow) on liver. HRP Conjugated UltraPolymer Goat Polyclonal Antibody HA1119/HA1120 was used as a secondary antibody. The immunostaining was performed with the Sequential Immuno-staining Kit (IRISKit™MH010101, www.luminiris.cn). The section was incubated in three rounds of staining: in the order of ET1611-12 (1/1,000 dilution), HA721006 (1/2,000 dilution), ET1601-6 (1/3,000 dilution), ET1607-53 (1/10,000 dilution) and ET1601-5 (1/2,000 dilution) for 20 mins at room temperature. Each round was followed by a separate fluorescent tyramide signal amplification system. Heat mediated antigen retrieval with Tris-EDTA buffer (pH 9.0) for 30 mins at 95℃. DAPI (blue) was used as a nuclear counter stain. Image acquisition was performed with Olympus VS200 Slide Scanner.
ET1601-6_7.jpg Fig7: Immunohistochemical analysis of paraffin-embedded human liver tissue with Rabbit anti-Cytokeratin 19 antibody (ET1601-6) at 1/1,000 dilution.

The section was pre-treated using heat mediated antigen retrieval with Tris-EDTA buffer (pH 9.0) for 20 minutes. The tissues were blocked in 1% BSA for 20 minutes at room temperature, washed with ddH2O and PBS, and then probed with the primary antibody (ET1601-6) at 1/1,000 dilution for 1 hour at room temperature. The detection was performed using an HRP conjugated compact polymer system. DAB was used as the chromogen. Tissues were counterstained with hematoxylin and mounted with DPX.
ET1601-6_8.jpg Fig8: Immunohistochemical analysis of paraffin-embedded human breast carcinoma tissue with Rabbit anti-Cytokeratin 19 antibody (ET1601-6) at 1/1,500 dilution.

The section was pre-treated using heat mediated antigen retrieval with Tris-EDTA buffer (pH 9.0) for 20 minutes. The tissues were blocked in 1% BSA for 20 minutes at room temperature, washed with ddH2O and PBS, and then probed with the primary antibody (ET1601-6) at 1/1,500 dilution for 1 hour at room temperature. The detection was performed using an HRP conjugated compact polymer system. DAB was used as the chromogen. Tissues were counterstained with hematoxylin and mounted with DPX.
ET1601-6_9.jpg Fig9: Immunohistochemical analysis of paraffin-embedded human breast carcinoma tissue with Rabbit anti-Cytokeratin 19 antibody (ET1601-6) at 1/1,500 dilution.

The section was not undergone antigen retrieval. The tissues were blocked in 1% BSA for 20 minutes at room temperature, washed with ddH2O and PBS, and then probed with the primary antibody (ET1601-6) at 1/1,500 dilution for 1 hour at room temperature. The detection was performed using an HRP conjugated compact polymer system. DAB was used as the chromogen. Tissues were counterstained with hematoxylin and mounted with DPX.
ET1601-6_10.jpg Fig10: Immunohistochemical analysis of paraffin-embedded human breast tissue with Rabbit anti-Cytokeratin 19 antibody (ET1601-6) at 1/1,500 dilution.

The section was not undergone antigen retrieval. The tissues were blocked in 1% BSA for 20 minutes at room temperature, washed with ddH2O and PBS, and then probed with the primary antibody (ET1601-6) at 1/1,500 dilution for 1 hour at room temperature. The detection was performed using an HRP conjugated compact polymer system. DAB was used as the chromogen. Tissues were counterstained with hematoxylin and mounted with DPX.
ET1601-6_11.jpg Fig11: Immunohistochemical analysis of paraffin-embedded human stomach carcinoma tissue with Rabbit anti-Cytokeratin 19 antibody (ET1601-6) at 1/1,500 dilution.

The section was pre-treated using heat mediated antigen retrieval with Tris-EDTA buffer (pH 9.0) for 20 minutes. The tissues were blocked in 1% BSA for 20 minutes at room temperature, washed with ddH2O and PBS, and then probed with the primary antibody (ET1601-6) at 1/1,500 dilution for 1 hour at room temperature. The detection was performed using an HRP conjugated compact polymer system. DAB was used as the chromogen. Tissues were counterstained with hematoxylin and mounted with DPX.
ET1601-6_12.jpg Fig12: Immunohistochemical analysis of paraffin-embedded human kidney tissue with Rabbit anti-Cytokeratin 19 antibody (ET1601-6) at 1/1,000 dilution.

The section was pre-treated using heat mediated antigen retrieval with Tris-EDTA buffer (pH 9.0) for 20 minutes. The tissues were blocked in 1% BSA for 20 minutes at room temperature, washed with ddH2O and PBS, and then probed with the primary antibody (ET1601-6) at 1/1,000 dilution for 1 hour at room temperature. The detection was performed using an HRP conjugated compact polymer system. DAB was used as the chromogen. Tissues were counterstained with hematoxylin and mounted with DPX.
ET1601-6_13.jpg Fig13: Immunohistochemical analysis of paraffin-embedded mouse kidney tissue with Rabbit anti-Cytokeratin 19 antibody (ET1601-6) at 1/1,000 dilution.

The section was pre-treated using heat mediated antigen retrieval with Tris-EDTA buffer (pH 9.0) for 20 minutes. The tissues were blocked in 1% BSA for 20 minutes at room temperature, washed with ddH2O and PBS, and then probed with the primary antibody (ET1601-6) at 1/1,000 dilution for 1 hour at room temperature. The detection was performed using an HRP conjugated compact polymer system. DAB was used as the chromogen. Tissues were counterstained with hematoxylin and mounted with DPX.
ET1601-6_14.jpg Fig14: Immunohistochemical analysis of paraffin-embedded rat kidney tissue with Rabbit anti-Cytokeratin 19 antibody (ET1601-6) at 1/1,000 dilution.

The section was pre-treated using heat mediated antigen retrieval with Tris-EDTA buffer (pH 9.0) for 20 minutes. The tissues were blocked in 1% BSA for 20 minutes at room temperature, washed with ddH2O and PBS, and then probed with the primary antibody (ET1601-6) at 1/1,000 dilution for 1 hour at room temperature. The detection was performed using an HRP conjugated compact polymer system. DAB was used as the chromogen. Tissues were counterstained with hematoxylin and mounted with DPX.
ET1601-6_15.jpg Fig15: Immunocytochemistry analysis of MCF7 cells labeling Cytokeratin 19 with Rabbit anti-Cytokeratin 19 antibody (ET1601-6) at 1/500 dilution.

Cells were fixed in 4% paraformaldehyde for 20 minutes at room temperature, permeabilized with 0.1% Triton X-100 in PBS for 5 minutes at room temperature, then blocked with 1% BSA in 10% negative goat serum for 1 hour at room temperature. Cells were then incubated with Rabbit anti-Cytokeratin 19 antibody (ET1601-6) at 1/500 dilution in 1% BSA in PBST overnight at 4 ℃. Goat Anti-Rabbit IgG H&L (iFluor™ 488, HA1121) was used as the secondary antibody at 1/1,000 dilution. PBS instead of the primary antibody was used as the secondary antibody only control. Nuclear DNA was labelled in blue with DAPI.

Beta tubulin (M1305-2, red) was stained at 1/100 dilution overnight at +4℃. Goat Anti-Mouse IgG H&L (iFluor™ 594, HA1126) was used as the secondary antibody at 1/1,000 dilution.
ET1601-6_16.jpg Fig16: Immunofluorescence analysis of paraffin-embedded human kidney tissue labeling Cytokeratin 19 (ET1601-6).

The section was pre-treated using heat mediated antigen retrieval with Tris-EDTA buffer (pH 9.0) for 20 minutes. The tissues were blocked in 10% negative goat serum for 1 hour at room temperature, washed with PBS. And then probed with the primary antibodies Cytokeratin 19 (ET1601-6, red) at 1/500 dilution at +4℃ overnight, washed with PBS.

Goat Anti-Rabbit IgG H&L (iFluor™ 594, HA1122) was used as the secondary antibodies at 1/1,000 dilution. Nuclei were counterstained with DAPI (blue).
ET1601-6_17.jpg Fig17: Immunofluorescence analysis of paraffin-embedded mouse liver tissue labeling Cytokeratin 19 with Rabbit anti-Cytokeratin 19 antibody (ET1601-6) at 1/500 dilution.

The section was pre-treated using heat mediated antigen retrieval with Tris-EDTA buffer (pH 9.0) for 20 minutes. The tissues were blocked in 10% negative goat serum for 1 hour at room temperature, washed with PBS, and then probed with the primary antibody (ET1601-6, green) at 1/500 dilution overnight at 4 ℃, washed with PBS. Goat Anti-Rabbit IgG H&L (iFluor™ 488, HA1121) was used as the secondary antibody at 1/1,000 dilution. Nuclei were counterstained with DAPI (blue).
ET1601-6_18.jpg Fig18: Flow cytometric analysis of MCF7 cells labeling Cytokeratin 19.

Cells were fixed and permeabilized. Then stained with the primary antibody (ET1601-6, 1/1,000) (red) compared with Rabbit IgG Isotype Control (green). After incubation of the primary antibody at +4℃ for an hour, the cells were stained with a iFluor™ 488 conjugate-Goat anti-Rabbit IgG Secondary antibody (HA1121) at 1/1,000 dilution for 30 minutes at +4℃. Unlabelled sample was used as a control (cells without incubation with primary antibody; black).
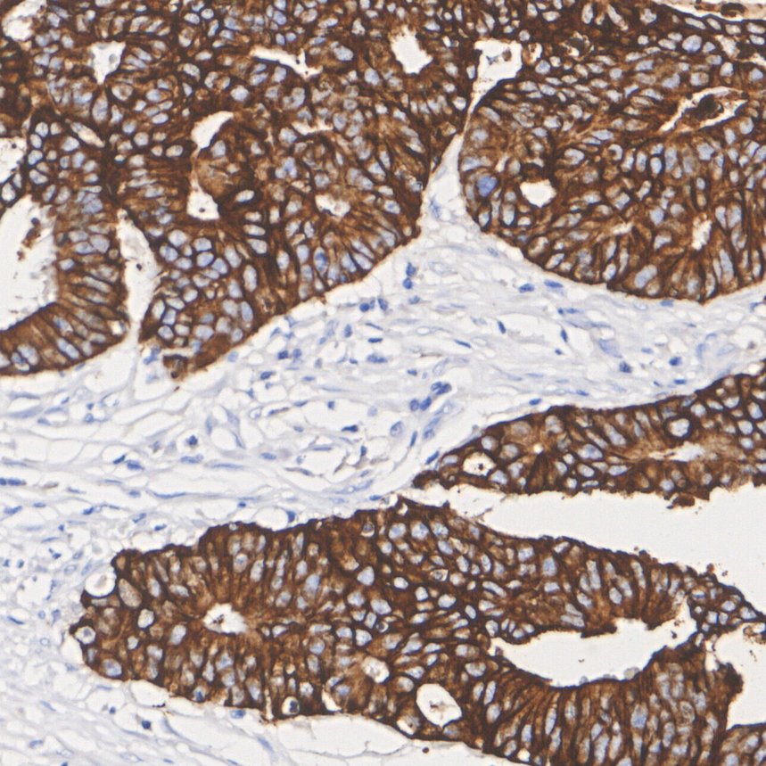
ET1601-6_19.jpg Fig19: Immunohistochemical analysis of paraffin-embedded human colon cancer tissue with Rabbit anti-Cytokeratin 19 antibody (ET1601-6) at 1/500 dilution.

Heat mediated antigen retrieval with Tris-EDTA buffer (pH 9.0, epitope retrieval solution 2) for 20 mins. The section was incubated with ET1601-6 for 30 mins at room temperature. The immunostaining was performed on a Leica Biosystems BOND® RX instrument. DAB was used as the chromogen. Tissues were counterstained with hematoxylin and mounted with DPX.
ET1601-6_20.jpg Fig20: Immunohistochemical analysis of paraffin embedded human colon cancer tissue using anti-Cytokeratin 19 antibody (1/200) performed on the Ventana® BenchMark ULTRA.
ET1601-6_21.jpg Fig21: Immunohistochemical analysis of paraffin embedded human colon cancer tissue using anti-Cytokeratin 19 antibody (1/200) performed on the Dako Omnis.
ET1601-6_22.jpg Fig22: Application: Immunohistochemistry (IHC-P)

Species: Human
Tissue: Colon cancer
Sample: Paraffin-embedded section

Primary antibody dilution: 1/500

Antigen retrieval: ER2
Platform: Leica Biosystems BOND® RX
Note: All products are “FOR RESEARCH USE ONLY AND ARE NOT INTENDED FOR DIAGNOSTIC OR THERAPEUTIC USE”.