Collagen XVII Recombinant Rabbit Monoclonal Antibody [SR46-05]
cat.: ET1602-14
Product Type: Recombinant Rabbit monoclonal IgG, primary antibodies
Species reactivity: Human, Mouse, Rat
Applications: WB, IF-Tissue, IHC-P, IP, mIHC
Clonality: Monoclonal
Clone number: SR46-05
Form: Liquid
Storage condition: Shipped at 4℃. Store at +4℃ short term (1-2 weeks). It is recommended to aliquot into single-use upon delivery. Store at -20℃ long term.
Storage buffer: 1*TBS (pH7.4), 0.05% BSA, 40% Glycerol. Preservative: 0.05% Sodium Azide.
Concentration: 1ug/ul
Purification: Protein A affinity purified.
Molecular weight: Predicted band size: 148 kDa
Isotype: IgG
Immunogen: Recombinant protein within Human Collagen XVII aa 1313-1420 / 1497.
Positive control: A431 cell lysate, mouse skin tissue lysate, rat skin tissue lysate, HUVEC, human skin tissue, mouse skin tissue, rat skin tissue.
Subcellular location: Cell junction, Membrane, Secreted
Recommended Dilutions:
  WB
  IF-Tissue
  IHC-P
  IP
  mIHC

1:1,000-1:5,000
1:200
1:50-1:200
Use at an assay dependent concentration.
1:100
Uniprot #: SwissProt: Q9UMD9 Human | Q07563 Mouse
Unigene: 40392 Rat
Alternative names: 180 kDa bullous pemphigoid antigen 2 Alpha 1 type XVII collagen BA16H23.2 BP 180 BP180 BPA 2 BPAG 2 BPAG2 Bullous pemphigoid antigen 2 COL17A1 Collagen 17 Collagen alpha 1 XVII chain Collagen alpha 1(XVII) chain Collagen alpha1 XVII chain Collagen type XVII alpha 1 Collagen XVII alpha 1 polypeptide CollagenXVII Epidermolysis bullosa junctional localisata variant FLJ60881 KIAA0204 LAD 1 LAD1
Images
ET1602-14_1.jpg Fig1: Western blot analysis of Collagen XVII on different lysates with Rabbit anti-Collagen XVII antibody (ET1602-14) at 1/5,000 dilution.

Lane 1: A431 cell lysate (15 µg/Lane)
Lane 2: Mouse skin tissue lysate (20 µg/Lane)
Lane 3: Rat skin tissue lysate (20 µg/Lane)

Predicted band size: 148 kDa
Observed band size: 130、180 kDa

Exposure time: 40 seconds; ECL: K1802;4-20% SDS-PAGE gel.

Proteins were transferred to a PVDF membrane and blocked with 5% NFDM/TBST for 1 hour at room temperature. The primary antibody (ET1602-14) at 1/5,000 dilution was used in 5% NFDM/TBST at room temperature for 2 hours. Goat Anti-Rabbit IgG - HRP Secondary Antibody (HA1001) at 1/50,000 dilution was used for 1 hour at room temperature.
ET1602-14_2.jpg Fig2: Western blot analysis of Collagen XVII on different lysates with Rabbit anti-Collagen XVII antibody (ET1602-14) at 1/1,000 dilution.

Lane 1: Wild-type caski whole cell lysate (10 µg).
Lane 2/3: Collagen XVII knockdown caski whole cell lysate (10 µg).

Predicted band size: 148 kDa
Observed band size: 130、180 kDa

Exposure time: 1 minutes 40 seconds; ECL: K1801;4-20% SDS-PAGE gel.

ET1602-14 was shown to specifically react with Collagen XVII in wild-type caski cells. Weakened bands were observed when Collagen XVII knockdown samples were tested. Wild-type and Collagen XVII knockdown samples were subjected to SDS-PAGE. Proteins were transferred to a PVDF membrane and blocked with 5% NFDM in TBST for 1 hour at room temperature. The primary antibody (ET1602-14) at 1/1,000 dilution were used in 5% NFDM/TBST at 4℃ overnight. Goat Anti-Rabbit IgG - HRP Secondary Antibody (HA1001) at 1/50,000 dilution was used for 1 hour at room temperature.
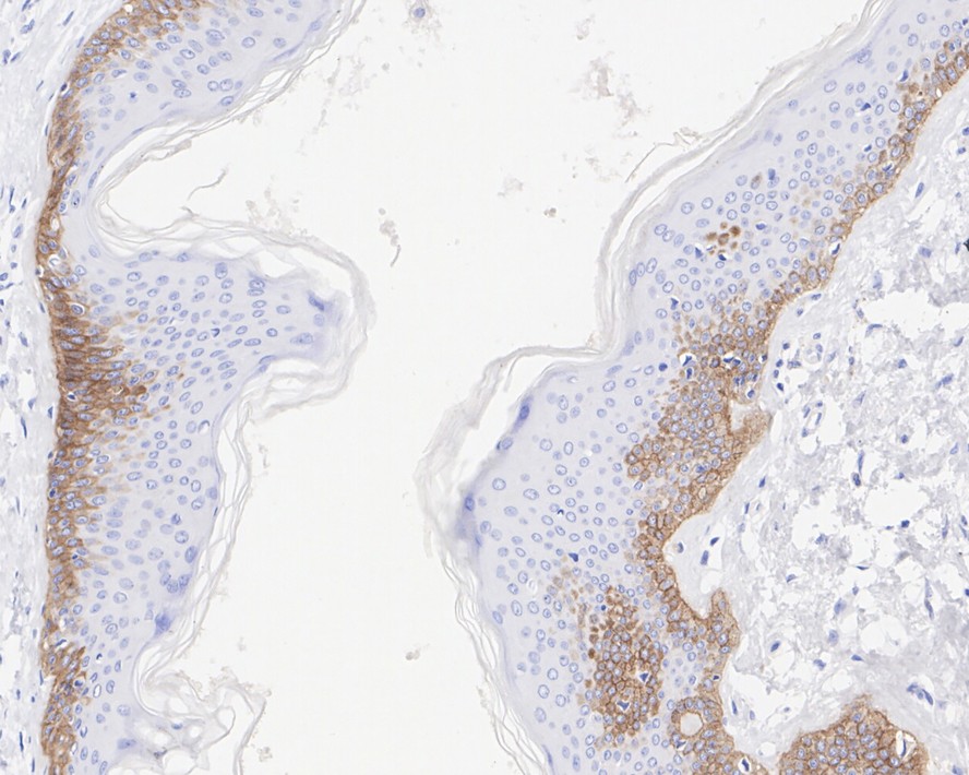
ET1602-14_3.jpg Fig3: Immunohistochemical analysis of paraffin-embedded human skin tissue with Rabbit anti-Collagen XVII antibody (ET1602-14) at 1/200 dilution.

The section was pre-treated using heat mediated antigen retrieval with Tris-EDTA buffer (pH 9.0) for 20 minutes. The tissues were blocked in 1% BSA for 20 minutes at room temperature, washed with ddH2O and PBS, and then probed with the primary antibody (ET1602-14) at 1/200 dilution for 1 hour at room temperature. The detection was performed using an HRP conjugated compact polymer system. DAB was used as the chromogen. Tissues were counterstained with hematoxylin and mounted with DPX.
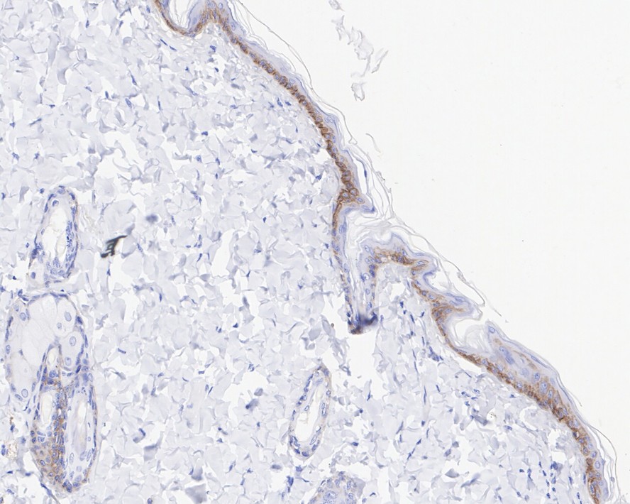
ET1602-14_4.jpg Fig4: Immunohistochemical analysis of paraffin-embedded mouse skin tissue with Rabbit anti-Collagen XVII antibody (ET1602-14) at 1/200 dilution.

The section was pre-treated using heat mediated antigen retrieval with Tris-EDTA buffer (pH 9.0) for 20 minutes. The tissues were blocked in 1% BSA for 20 minutes at room temperature, washed with ddH2O and PBS, and then probed with the primary antibody (ET1602-14) at 1/200 dilution for 1 hour at room temperature. The detection was performed using an HRP conjugated compact polymer system. DAB was used as the chromogen. Tissues were counterstained with hematoxylin and mounted with DPX.
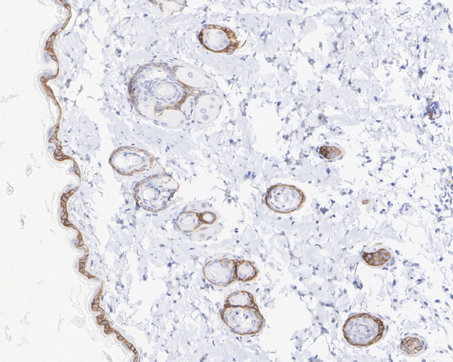
ET1602-14_5.jpg Fig5: Immunohistochemical analysis of paraffin-embedded rat skin tissue with Rabbit anti-Collagen XVII antibody (ET1602-14) at 1/200 dilution.

The section was pre-treated using heat mediated antigen retrieval with Tris-EDTA buffer (pH 9.0) for 20 minutes. The tissues were blocked in 1% BSA for 20 minutes at room temperature, washed with ddH2O and PBS, and then probed with the primary antibody (ET1602-14) at 1/200 dilution for 1 hour at room temperature. The detection was performed using an HRP conjugated compact polymer system. DAB was used as the chromogen. Tissues were counterstained with hematoxylin and mounted with DPX.
ET1602-14_6.jpg Fig6: Application: IF-Tissue

Species: Mouse

Site: skin

Sample: Paraffin-embedded section

Antibody concentration: 1/200
Note: All products are “FOR RESEARCH USE ONLY AND ARE NOT INTENDED FOR DIAGNOSTIC OR THERAPEUTIC USE”.