PHD1 / prolyl hydroxylase Recombinant Rabbit Monoclonal Antibody [SP00-48]
cat.: ET1604-5
Product Type: Recombinant Rabbit monoclonal IgG, primary antibodies
Species reactivity: Human, Mouse, Rat
Applications: WB, IF-Cell, IF-Tissue, IHC-P, FC
Clonality: Monoclonal
Clone number: SP00-48
Form: Liquid
Storage condition: Shipped at 4℃. Store at +4℃ short term (1-2 weeks). It is recommended to aliquot into single-use upon delivery. Store at -20℃ long term.
Storage buffer: 1*TBS (pH7.4), 0.05% BSA, 40% Glycerol. Preservative: 0.05% Sodium Azide.
Concentration: 1ug/ul
Purification: Protein A affinity purified.
Molecular weight: Predicted band size: 44 kDa
Isotype: IgG
Immunogen: Recombinant protein within Human PHD1 aa 1-91 / 407.
Positive control: HeLa cell lysate, NIH/3T3 cell lysate, PC-12 cell lysate, Mouse brain tissue lysate, Mouse heart tissue lysate, Rat brain tissue lysate, Rat heart tissue lysate, Hela, A549, SKOV-3, human breast cancer tissue, mouse testis tissue.
Subcellular location: Nucleus.
Recommended Dilutions:
  WB
  IF-Cell
  IF-Tissue
  IHC-P
  FC

1:1,000-1:5,000
1:50-1:200
1:50-1:200
1:1,000
1:50-1:100
Uniprot #: SwissProt: Q96KS0 Human | Q91YE2 Mouse | Q6AYU4 Rat
Alternative names: DKFZp434E026 EGL nine (C.elegans) homolog 2 Egl nine homolog 2 (C. elegans) Egl nine homolog 2 EGLN 2 EGLN2 EGLN2_HUMAN EIT 6 EIT6 Estrogen-induced tag 6 HIF P4H 1 HIF PH1 HIF prolyl hydroxylase 1 HIF-PH1 HIF-prolyl hydroxylase 1 HIFPH 1 HIFPH1 HPH 3 HPH-1 HPH-3 HPH3 Hypoxia inducible factor prolyl hydroxylase 1 Hypoxia-inducible factor prolyl hydroxylase 1 P4H1 PHD 1 PhD1 prolyl hydroxylase domain containing protein 1 Prolyl hydroxylase domain-containing protein 1
Images
ET1604-5_1.jpg Fig1: Western blot analysis of PHD1 / prolyl hydroxylase on different lysates with Rabbit anti-PHD1 / prolyl hydroxylase antibody (ET1604-5) at 1/1,000 dilution.

Lane 1: HeLa cell lysate (20 µg/Lane)
Lane 2: NIH/3T3 cell lysate (20 µg/Lane)
Lane 3: PC-12 cell lysate (20 µg/Lane)
Lane 4: Mouse brain tissue lysate (40 µg/Lane)
Lane 5: Mouse heart tissue lysate (40 µg/Lane)
Lane 6: Rat brain tissue lysate (40 µg/Lane)
Lane 7: Rat heart tissue lysate (40 µg/Lane)

Predicted band size: 44 kDa
Observed band size: 50 kDa

Exposure time: 10 seconds; ECL: K1801;

4-20% SDS-PAGE gel.

Proteins were transferred to a PVDF membrane and blocked with 5% NFDM/TBST for 1 hour at room temperature. The primary antibody (ET1604-5) at 1/1,000 dilution was used in 5% NFDM/TBST at 4℃ overnight. Goat Anti-Rabbit IgG - HRP Secondary Antibody (HA1001) at 1/50,000 dilution was used for 1 hour at room temperature.
ET1604-5_2.jpg Fig2: ICC staining of PHD1 / prolyl hydroxylase in Hela cells (green). Formalin fixed cells were permeabilized with 0.1% Triton X-100 in TBS for 10 minutes at room temperature and blocked with 1% Blocker BSA for 15 minutes at room temperature. Cells were probed with the primary antibody (ET1604-5, 1/50) for 1 hour at room temperature, washed with PBS. Alexa Fluor®488 Goat anti-Rabbit IgG was used as the secondary antibody at 1/1,000 dilution. The nuclear counter stain is DAPI (blue).
ET1604-5_3.jpg Fig3: ICC staining of PHD1 / prolyl hydroxylase in A549 cells (green). Formalin fixed cells were permeabilized with 0.1% Triton X-100 in TBS for 10 minutes at room temperature and blocked with 1% Blocker BSA for 15 minutes at room temperature. Cells were probed with the primary antibody (ET1604-5, 1/50) for 1 hour at room temperature, washed with PBS. Alexa Fluor®488 Goat anti-Rabbit IgG was used as the secondary antibody at 1/1,000 dilution. The nuclear counter stain is DAPI (blue).
ET1604-5_4.jpg Fig4: ICC staining of PHD1 / prolyl hydroxylase in SKOV-3 cells (green). Formalin fixed cells were permeabilized with 0.1% Triton X-100 in TBS for 10 minutes at room temperature and blocked with 1% Blocker BSA for 15 minutes at room temperature. Cells were probed with the primary antibody (ET1604-5, 1/50) for 1 hour at room temperature, washed with PBS. Alexa Fluor®488 Goat anti-Rabbit IgG was used as the secondary antibody at 1/1,000 dilution. The nuclear counter stain is DAPI (blue).
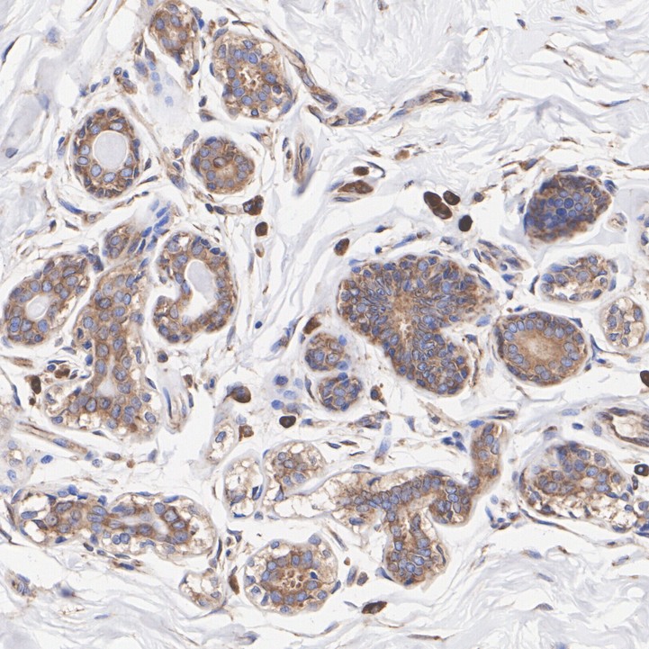
ET1604-5_5.jpg Fig5: Immunohistochemical analysis of paraffin-embedded human breast cancer tissue with Rabbit anti-PHD1 / prolyl hydroxylase antibody (ET1604-5) at 1/1,000 dilution.

The section was pre-treated using heat mediated antigen retrieval with Tris-EDTA buffer (pH 9.0) for 20 minutes. The tissues were blocked in 1% BSA for 20 minutes at room temperature, washed with ddH2O and PBS, and then probed with the primary antibody (ET1604-5) at 1/1,000 dilution for 1 hour at room temperature. The detection was performed using an HRP conjugated compact polymer system. DAB was used as the chromogen. Tissues were counterstained with hematoxylin and mounted with DPX.
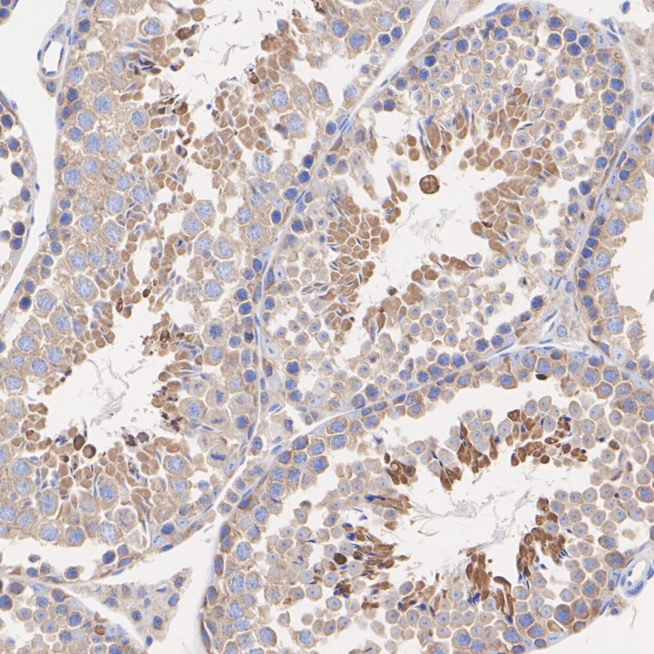
ET1604-5_6.jpg Fig6: Immunohistochemical analysis of paraffin-embedded mouse testis tissue with Rabbit anti-PHD1 / prolyl hydroxylase antibody (ET1604-5) at 1/1,000 dilution.

The section was pre-treated using heat mediated antigen retrieval with Tris-EDTA buffer (pH 9.0) for 20 minutes. The tissues were blocked in 1% BSA for 20 minutes at room temperature, washed with ddH2O and PBS, and then probed with the primary antibody (ET1604-5) at 1/1,000 dilution for 1 hour at room temperature. The detection was performed using an HRP conjugated compact polymer system. DAB was used as the chromogen. Tissues were counterstained with hematoxylin and mounted with DPX.
ET1604-5_7.jpg Fig7: Flow cytometric analysis of PHD1 / prolyl hydroxylase was done on Hela cells. The cells were fixed, permeabilized and stained with the primary antibody (ET1604-5, 1/50) (blue). After incubation of the primary antibody at room temperature for an hour, the cells were stained with a Alexa Fluor 488-conjugated Goat anti-Rabbit IgG Secondary antibody at 1/1000 dilution for 30 minutes.Unlabelled sample was used as a control (cells without incubation with primary antibody; red).
Note: All products are “FOR RESEARCH USE ONLY AND ARE NOT INTENDED FOR DIAGNOSTIC OR THERAPEUTIC USE”.