Hsp90 beta Recombinant Rabbit Monoclonal Antibody [SY46-01]
cat.: ET1605-56
Product Type: Recombinant Rabbit monoclonal IgG, primary antibodies
Species reactivity: Human, Mouse, Rat
Applications: WB, IF-Cell, IF-Tissue, IHC-P, FC
Clonality: Monoclonal
Clone number: SY46-01
Form: Liquid
Storage condition: Shipped at 4℃. Store at +4℃ short term (1-2 weeks). It is recommended to aliquot into single-use upon delivery. Store at -20℃ long term.
Storage buffer: 1*TBS (pH7.4), 0.05% BSA, 40% Glycerol. Preservative: 0.05% Sodium Azide.
Concentration: 1ug/ul
Purification: Protein A affinity purified.
Molecular weight: Predicted band size: 83 kDa
Isotype: IgG
Immunogen: Recombinant protein within Human Hsp90 beta aa 485-724 / 724.
Positive control: HEK-293 cell lysate, HeLa cell lysate, A431 cell lysate, K-562 cell lysate, RAW264.7 cell lysate, PC-12 cell lysate, mouse heart tissue lysate, rat heart tissue lysate, human liver tissue lysate, mouse liver tissue lysate, rat liver tissue lysate, human kidney tissue lysate, mouse kidney tissue lysate, rat kidney tissue lysate, HeLa, NIH/3T3, human colon carcinoma tissue, human breast carcinoma tissue, human tonsil tissue.
Subcellular location: Cytoplasm, Melanosome,Nucleus,Secreted,Cell membrane,Dynein axonemal particle .
Recommended Dilutions:
  WB
  IF-Cell
  IF-Tissue
  IHC-P
  FC

1:5,000-1:20,000
1:1,000
1:100-1:500
1:400
1:500-1:1,000
Uniprot #: SwissProt: P08238 Human | P11499 Mouse | P34058 Rat
Alternative names: 90 kda heat shock protein beta HSP90 beta D6S182 FLJ26984 Heat shock 84 kDa Heat shock 90kD protein 1, beta Heat shock 90kDa protein 1 beta Heat shock protein 90 alpha family class B member 1 Heat shock protein 90 kDa Heat shock protein 90kDa alpha (cytosolic) class B member 1 Heat shock protein 90kDa alpha family class B member 1 Heat shock protein beta Heat shock protein HSP 90 beta Heat shock protein HSP 90-beta HS90B_HUMAN HSP 84 HSP 90 HSP 90 b HSP 90b HSP84 HSP90 BETA hsp90ab1 HSP90B HSPC2 HSPCB
Images
ET1605-56_1.jpg Fig1: Western blot analysis of Hsp90 beta on different lysates with Rabbit anti-Hsp90 beta antibody (ET1605-56) at 1/10,000 dilution.

Lane 1: HEK-293 cell lysate (20 µg/Lane)
Lane 2: HeLa cell lysate (20 µg/Lane)
Lane 3: A431 cell lysate (20 µg/Lane)
Lane 4: K-562 cell lysate (20 µg/Lane)
Lane 5: RAW264.7 cell lysate (20 µg/Lane)
Lane 6: PC-12 cell lysate (20 µg/Lane)
Lane 7: Mouse heart tissue lysate (40 µg/Lane)
Lane 8: Rat heart tissue lysate (40 µg/Lane)
Lane 9: Human liver tissue lysate (40 µg/Lane)
Lane 10: Mouse liver tissue lysate (40 µg/Lane)
Lane 11: Rat liver tissue lysate (40 µg/Lane)
Lane 12: Human kidney tissue lysate (40 µg/Lane)
Lane 13: Mouse kidney tissue lysate (40 µg/Lane)
Lane 14: Rat kidney tissue lysate (40 µg/Lane)

Predicted band size: 83 kDa
Observed band size: 90 kDa
Exposure time: 1 minute 21 seconds;
4-20% SDS-PAGE gel.

Proteins were transferred to a PVDF membrane and blocked with 5% NFDM/TBST for 1 hour at room temperature. The primary antibody (ET1605-56) at 1/10,000 dilution was used in 5% NFDM/TBST at room temperature for 2 hours. Goat Anti-Rabbit IgG - HRP Secondary Antibody (HA1001) at 1/50,000 dilution was used for 1 hour at room temperature.
ET1605-56_2.jpg Fig2: Immunocytochemistry analysis of HeLa cells labeling Hsp90 beta with Rabbit anti-Hsp90 beta antibody (ET1605-56) at 1/1,000 dilution.

Cells were fixed in 100% precooled methanol for 5 minutes at room temperature, then blocked with 1% BSA in 10% negative goat serum for 1 hour at room temperature. Cells were then incubated with Rabbit anti-Hsp90 beta antibody (ET1605-56) at 1/1,000 dilution in 1% BSA in PBST overnight at 4 ℃. Goat Anti-Rabbit IgG H&L (iFluor™ 488, HA1121) was used as the secondary antibody at 1/1,000 dilution. PBS instead of the primary antibody was used as the secondary antibody only control. Nuclear DNA was labelled in blue with DAPI.

Beta tubulin (M1305-2, red) was stained at 1/100 dilution overnight at +4℃. Goat Anti-Mouse IgG H&L (iFluor™ 594, HA1126) was used as the secondary antibody at 1/1,000 dilution.
ET1605-56_3.jpg Fig3: Immunocytochemistry analysis of NIH/3T3 cells labeling Hsp90 beta with Rabbit anti-Hsp90 beta antibody (ET1605-56) at 1/1,000 dilution.

Cells were fixed in 100% precooled methanol for 5 minutes at room temperature, then blocked with 1% BSA in 10% negative goat serum for 1 hour at room temperature. Cells were then incubated with Rabbit anti-Hsp90 beta antibody (ET1605-56) at 1/1,000 dilution in 1% BSA in PBST overnight at 4 ℃. Goat Anti-Rabbit IgG H&L (iFluor™ 488, HA1121) was used as the secondary antibody at 1/1,000 dilution. PBS instead of the primary antibody was used as the secondary antibody only control. Nuclear DNA was labelled in blue with DAPI.

Beta tubulin (M1305-2, red) was stained at 1/100 dilution overnight at +4℃. Goat Anti-Mouse IgG H&L (iFluor™ 594, HA1126) was used as the secondary antibody at 1/1,000 dilution.
ET1605-56_4.jpg Fig4: Western blot analysis of Hsp90 beta on different lysates with Rabbit anti-Hsp90 beta antibody (ET1605-56) at 1/20,000 dilution.

Lane 1: HAP1-parental cell lysate
Lane 2: HAP1-Hsp90 beta KD cell lysate

Lysates/proteins at 10 µg/Lane.

Predicted band size: 83 kDa
Observed band size: 90 kDa

Exposure time: 3 seconds; ECL: K1801;

4-20% SDS-PAGE gel.

Proteins were transferred to a PVDF membrane and blocked with 5% NFDM/TBST for 1 hour at room temperature. The primary antibody (ET1605-56) at 1/20,000 dilution was used in primary antibody dilution (K1803) at 4℃ overnight. Goat Anti-Rabbit IgG - HRP Secondary Antibody (HA1001) at 1/50,000 dilution was used for 1 hour at room temperature.
ET1605-56_5.jpg Fig5: Immunohistochemical analysis of paraffin-embedded human colon carcinoma tissue using anti-Hsp90 beta antibody. The section was pre-treated using heat mediated antigen retrieval with Tris-EDTA buffer (pH 8.0-8.4) for 20 minutes.The tissues were blocked in 5% BSA for 30 minutes at room temperature, washed with ddH2O and PBS, and then probed with the primary antibody (ET1605-56, 1/200) for 30 minutes at room temperature. The detection was performed using an HRP conjugated compact polymer system. DAB was used as the chromogen. Tissues were counterstained with hematoxylin and mounted with DPX.
ET1605-56_6.jpg Fig6: Immunohistochemical analysis of paraffin-embedded human breast carcinoma tissue using anti-Hsp90 beta antibody. The section was pre-treated using heat mediated antigen retrieval with Tris-EDTA buffer (pH 8.0-8.4) for 20 minutes.The tissues were blocked in 5% BSA for 30 minutes at room temperature, washed with ddH2O and PBS, and then probed with the primary antibody (ET1605-56, 1/200) for 30 minutes at room temperature. The detection was performed using an HRP conjugated compact polymer system. DAB was used as the chromogen. Tissues were counterstained with hematoxylin and mounted with DPX.
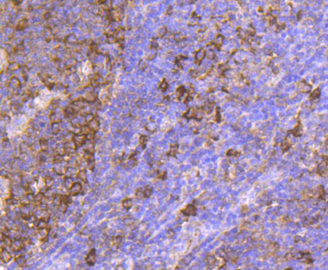
ET1605-56_7.jpg Fig7: Immunohistochemical analysis of paraffin-embedded human tonsil tissue using anti-Hsp90 beta antibody. The section was pre-treated using heat mediated antigen retrieval with Tris-EDTA buffer (pH 8.0-8.4) for 20 minutes.The tissues were blocked in 5% BSA for 30 minutes at room temperature, washed with ddH2O and PBS, and then probed with the primary antibody (ET1605-56, 1/50) for 30 minutes at room temperature. The detection was performed using an HRP conjugated compact polymer system. DAB was used as the chromogen. Tissues were counterstained with hematoxylin and mounted with DPX.
ET1605-56_8.jpg Fig8: Flow cytometric analysis of HeLa cells labeling Hsp90 beta.

Cells were fixed and permeabilized. Then stained with the primary antibody (ET1605-56, 1μg/mL) (red) compared with Rabbit IgG Isotype Control (green). After incubation of the primary antibody at +4℃ for an hour, the cells were stained with a iFluor™ 488 conjugate-Goat anti-Rabbit IgG Secondary antibody (HA1121) at 1/1,000 dilution for 30 minutes at +4℃. Unlabelled sample was used as a control (cells without incubation with primary antibody; black).
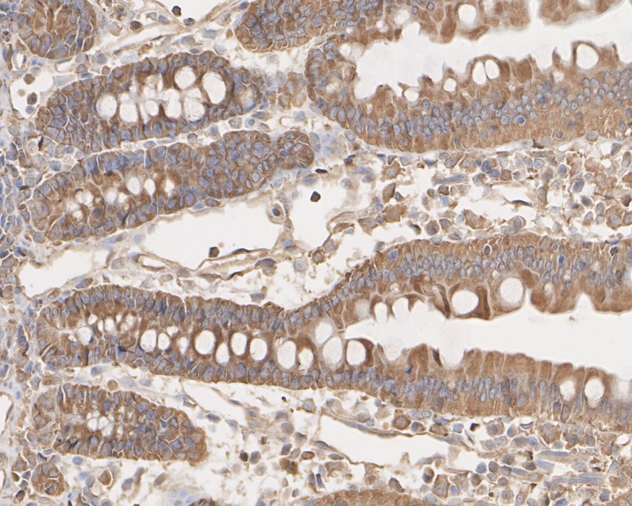
ET1605-56_9.jpg Fig9: Immunohistochemical analysis of paraffin-embedded rat small intestine tissue with Rabbit anti-Hsp90 beta antibody (ET1605-56) at 1/20,000 dilution.

The section was pre-treated using heat mediated antigen retrieval with Tris-EDTA buffer (pH 9.0) for 20 minutes. The tissues were blocked in 1% BSA for 20 minutes at room temperature, washed with ddH2O and PBS, and then probed with the primary antibody (ET1605-56) at 1/1,000 dilution for 1 hour at room temperature. The detection was performed using an HRP conjugated compact polymer system. DAB was used as the chromogen. Tissues were counterstained with hematoxylin and mounted with DPX.
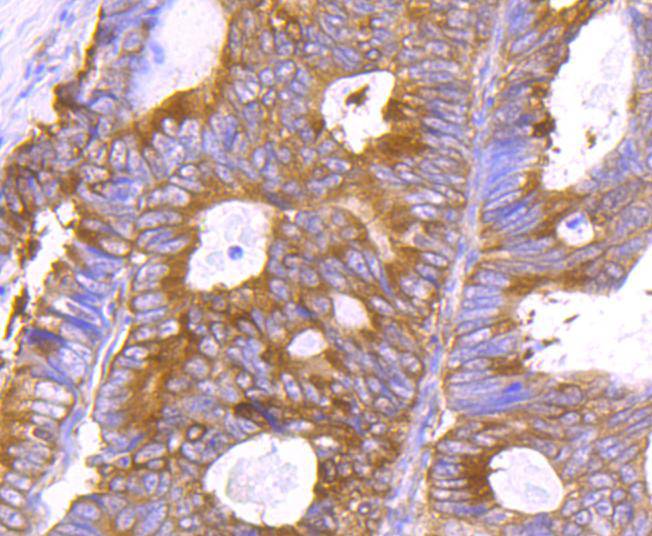
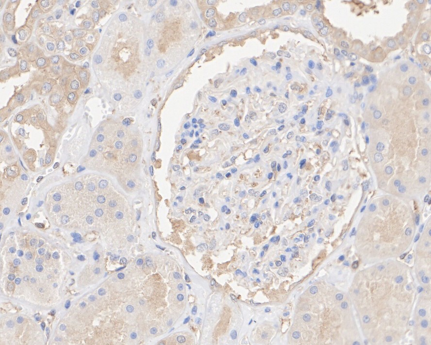
ET1605-56_10.jpg Fig10: Immunohistochemical analysis of paraffin-embedded human kidney tissue with Rabbit anti-Hsp90 beta antibody (ET1605-56) at 1/50,000 dilution.

The section was pre-treated using heat mediated antigen retrieval with Tris-EDTA buffer (pH 9.0) for 20 minutes. The tissues were blocked in 1% BSA for 20 minutes at room temperature, washed with ddH2O and PBS, and then probed with the primary antibody (ET1605-56) at 1/1,000 dilution for 1 hour at room temperature. The detection was performed using an HRP conjugated compact polymer system. DAB was used as the chromogen. Tissues were counterstained with hematoxylin and mounted with DPX.
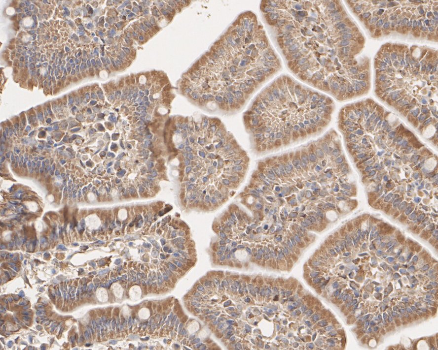
ET1605-56_11.jpg Fig11: Immunohistochemical analysis of paraffin-embedded mouse small intestine tissue with Rabbit anti-Hsp90 beta antibody (ET1605-56) at 1/20,000 dilution.

The section was pre-treated using heat mediated antigen retrieval with Tris-EDTA buffer (pH 9.0) for 20 minutes. The tissues were blocked in 1% BSA for 20 minutes at room temperature, washed with ddH2O and PBS, and then probed with the primary antibody (ET1605-56) at 1/1,000 dilution for 1 hour at room temperature. The detection was performed using an HRP conjugated compact polymer system. DAB was used as the chromogen. Tissues were counterstained with hematoxylin and mounted with DPX.
ET1605-56_12.jpg Fig12: Immunohistochemical analysis of paraffin-embedded human small intestine tissue with Rabbit anti-Hsp90 beta antibody (ET1605-56) at 1/20,000 dilution.

The section was pre-treated using heat mediated antigen retrieval with Tris-EDTA buffer (pH 9.0) for 20 minutes. The tissues were blocked in 1% BSA for 20 minutes at room temperature, washed with ddH2O and PBS, and then probed with the primary antibody (ET1605-56) at 1/1,000 dilution for 1 hour at room temperature. The detection was performed using an HRP conjugated compact polymer system. DAB was used as the chromogen. Tissues were counterstained with hematoxylin and mounted with DPX.
Note: All products are “FOR RESEARCH USE ONLY AND ARE NOT INTENDED FOR DIAGNOSTIC OR THERAPEUTIC USE”.