Paxillin Recombinant Rabbit Monoclonal Antibody [SY23-02]
cat.: ET1607-22
Product Type: Recombinant Rabbit monoclonal IgG, primary antibodies
Species reactivity: Human, Mouse, Rat
Applications: WB, IF-Cell, IF-Tissue, IHC-P, IP
Clonality: Monoclonal
Clone number: SY23-02
Form: Liquid
Storage condition: Shipped at 4℃. Store at +4℃ short term (1-2 weeks). It is recommended to aliquot into single-use upon delivery. Store at -20℃ long term.
Storage buffer: 1*TBS (pH7.4), 0.05% BSA, 40% Glycerol. Preservative: 0.05% Sodium Azide.
Concentration: 1ug/ul
Purification: Protein A affinity purified.
Molecular weight: Predicted band size: 65 kDa
Isotype: IgG
Immunogen: Synthetic peptide within Human Paxillin aa 1-59 / 591.
Positive control: HeLa cell lysate, A431 cell lysate, PANC-1 cell lysate, RAW264.7 cell lysate, C6 cell lysate, Rat testis tissue lysate, SK-OV-3, HeLa, C6, human kidney tissue, mouse testis tissue, human breast carcinoma tissue, mouse ovary tissue, rat testis tissue.
Subcellular location: Cytoplasm, cytoskeleton, Cell junction, focal adhesion, cell cortex.
Recommended Dilutions:
  WB
  IF-Cell
  IF-Tissue
  IHC-P
  IP

1:1,000-1:5,000
1:50-1:200
1:50-1:200
1:50-1:200
Use at an assay dependent concentration.
Uniprot #: SwissProt: P49023 Human | Q8VI36 Mouse | Q66H76 Rat
Alternative names: FLJ16691 FLJ23042 Paired box protein Pax 1 PAX 1 PAX1 PAXI_HUMAN Paxillin alpha Paxillin PXN PXN protein
Images
ET1607-22_1.jpg Fig1: Western blot analysis of Paxillin on different lysates with Rabbit anti-Paxillin antibody (ET1607-22) at 1/5,000 dilution.

Lane 1: HeLa cell lysate
Lane 2: A431 cell lysate
Lane 3: PANC-1 cell lysate
Lane 4: RAW264.7 cell lysate

Lysates/proteins at 15 µg/Lane.

Predicted band size: 65 kDa
Observed band size: 65 kDa

Exposure time: 2 minutes; ECL: K1801;

4-20% SDS-PAGE gel.

Proteins were transferred to a PVDF membrane and blocked with 5% NFDM/TBST for 1 hour at room temperature. The primary antibody (ET1607-22) at 1/5,000 dilution was used in 5% NFDM/TBST at 4℃ overnight. Goat Anti-Rabbit IgG - HRP Secondary Antibody (HA1001) at 1/50,000 dilution was used for 1 hour at room temperature.
ET1607-22_2.jpg Fig2: Western blot analysis of Paxillin on different lysates with Rabbit anti-Paxillin antibody (ET1607-22) at 1/1,000 dilution.

Lane 1: C6 cell lysate (20 µg/Lane)
Lane 2: Rat testis tissue lysate (40 µg/Lane)

Predicted band size: 65 kDa
Observed band size: 65 kDa

Exposure time: 8 seconds; ECL: K1801;

4-20% SDS-PAGE gel.

Proteins were transferred to a PVDF membrane and blocked with 5% NFDM/TBST for 1 hour at room temperature. The primary antibody (ET1607-22) at 1/1,000 dilution was used in 5% NFDM/TBST at 4℃ overnight. Goat Anti-Rabbit IgG - HRP Secondary Antibody (HA1001) at 1/50,000 dilution was used for 1 hour at room temperature.
ET1607-22_3.jpg Fig3: Immunocytochemistry analysis of SK-OV-3 cells labeling Paxillin with Rabbit anti-Paxillin antibody (ET1607-22) at 1/100 dilution.

Cells were fixed in 4% paraformaldehyde for 15 minutes at room temperature, permeabilized with 0.1% Triton X-100 in PBS for 15 minutes at room temperature, then blocked with 1% BSA in 10% negative goat serum for 1 hour at room temperature. Cells were then incubated with Rabbit anti-Paxillin antibody (ET1607-22) at 1/100 dilution in 1% BSA in PBST overnight at 4 ℃. Goat Anti-Rabbit IgG H&L (iFluor™ 488, HA1121) was used as the secondary antibody at 1/1,000 dilution. PBS instead of the primary antibody was used as the secondary antibody only control. Nuclear DNA was labelled in blue with DAPI.

Beta tubulin (HA601187, red) was stained at 1/100 dilution overnight at +4℃. Goat Anti-Mouse IgG H&L (iFluor™ 594, HA1126) was used as the secondary antibody at 1/1,000 dilution.
ET1607-22_4.jpg Fig4: Immunocytochemistry analysis of HeLa cells labeling Paxillin with Rabbit anti-Paxillin antibody (ET1607-22) at 1/100 dilution.

Cells were fixed in 4% paraformaldehyde for 15 minutes at room temperature, permeabilized with 0.1% Triton X-100 in PBS for 15 minutes at room temperature, then blocked with 1% BSA in 10% negative goat serum for 1 hour at room temperature. Cells were then incubated with Rabbit anti-Paxillin antibody (ET1607-22) at 1/100 dilution in 1% BSA in PBST overnight at 4 ℃. Goat Anti-Rabbit IgG H&L (iFluor™ 488, HA1121) was used as the secondary antibody at 1/1,000 dilution. PBS instead of the primary antibody was used as the secondary antibody only control. Nuclear DNA was labelled in blue with DAPI.

Beta tubulin (HA601187, red) was stained at 1/100 dilution overnight at +4℃. Goat Anti-Mouse IgG H&L (iFluor™ 594, HA1126) was used as the secondary antibody at 1/1,000 dilution.
ET1607-22_5.jpg Fig5: Immunocytochemistry analysis of C6 cells labeling Paxillin with Rabbit anti-Paxillin antibody (ET1607-22) at 1/50 dilution.

Cells were fixed in 4% paraformaldehyde for 20 minutes at room temperature, permeabilized with 0.1% Triton X-100 in PBS for 5 minutes at room temperature, then blocked with 1% BSA in 10% negative goat serum for 1 hour at room temperature. Cells were then incubated with Rabbit anti-Paxillin antibody (ET1607-22) at 1/50 dilution in 1% BSA in PBST overnight at 4 ℃. Goat Anti-Rabbit IgG H&L (iFluor™ 488, HA1121) was used as the secondary antibody at 1/1,000 dilution. PBS instead of the primary antibody was used as the secondary antibody only control. Nuclear DNA was labelled in blue with DAPI.

Beta tubulin (M1305-2, red) was stained at 1/100 dilution overnight at +4℃. Goat Anti-Mouse IgG H&L (iFluor™ 594, HA1126) was used as the secondary antibody at 1/1,000 dilution.
ET1607-22_6.jpg Fig6: Immunohistochemical analysis of paraffin-embedded human kidney tissue using anti-Paxillin antibody. The section was pre-treated using heat mediated antigen retrieval with Tris-EDTA buffer (pH 8.0-8.4) for 20 minutes.The tissues were blocked in 5% BSA for 30 minutes at room temperature, washed with ddH2O and PBS, and then probed with the primary antibody (ET1607-22, 1/50) for 30 minutes at room temperature. The detection was performed using an HRP conjugated compact polymer system. DAB was used as the chromogen. Tissues were counterstained with hematoxylin and mounted with DPX.
ET1607-22_7.jpg Fig7: Immunohistochemical analysis of paraffin-embedded mouse testis tissue using anti-Paxillin antibody. The section was pre-treated using heat mediated antigen retrieval with Tris-EDTA buffer (pH 8.0-8.4) for 20 minutes.The tissues were blocked in 5% BSA for 30 minutes at room temperature, washed with ddH2O and PBS, and then probed with the primary antibody (ET1607-22, 1/50) for 30 minutes at room temperature. The detection was performed using an HRP conjugated compact polymer system. DAB was used as the chromogen. Tissues were counterstained with hematoxylin and mounted with DPX.
ET1607-22_8.jpg Fig8: Immunohistochemical analysis of paraffin-embedded human breast carcinoma tissue using anti-Paxillin antibody. The section was pre-treated using heat mediated antigen retrieval with Tris-EDTA buffer (pH 8.0-8.4) for 20 minutes.The tissues were blocked in 5% BSA for 30 minutes at room temperature, washed with ddH2O and PBS, and then probed with the primary antibody (ET1607-22, 1/50) for 30 minutes at room temperature. The detection was performed using an HRP conjugated compact polymer system. DAB was used as the chromogen. Tissues were counterstained with hematoxylin and mounted with DPX.
ET1607-22_9.jpg Fig9: Immunohistochemical analysis of paraffin-embedded mouse ovary tissue using anti-Paxillin antibody. The section was pre-treated using heat mediated antigen retrieval with Tris-EDTA buffer (pH 8.0-8.4) for 20 minutes.The tissues were blocked in 5% BSA for 30 minutes at room temperature, washed with ddH2O and PBS, and then probed with the primary antibody (ET1607-22, 1/50) for 30 minutes at room temperature. The detection was performed using an HRP conjugated compact polymer system. DAB was used as the chromogen. Tissues were counterstained with hematoxylin and mounted with DPX.
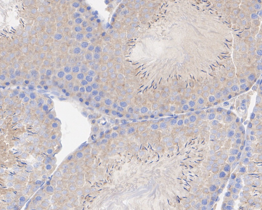
ET1607-22_10.jpg Fig10: Immunohistochemical analysis of paraffin-embedded rat testis tissue using anti-Paxillin antibody. The section was pre-treated using heat mediated antigen retrieval with Tris-EDTA buffer (pH 8.0-8.4) for 20 minutes.The tissues were blocked in 5% BSA for 30 minutes at room temperature, washed with ddH2O and PBS, and then probed with the primary antibody (ET1607-22, 1/200) for 30 minutes at room temperature. The detection was performed using an HRP conjugated compact polymer system. DAB was used as the chromogen. Tissues were counterstained with hematoxylin and mounted with DPX.
Note: All products are “FOR RESEARCH USE ONLY AND ARE NOT INTENDED FOR DIAGNOSTIC OR THERAPEUTIC USE”.