Phospho-JAK2 (Y1007 + Y1008) Recombinant Rabbit Monoclonal Antibody [SY24-03]
cat.: ET1607-34
Product Type: Recombinant Rabbit monoclonal IgG, primary antibodies
Species reactivity: Human, Mouse, Rat
Applications: WB, IF-Cell, IHC-P, IP
Clonality: Monoclonal
Clone number: SY24-03
Form: Liquid
Storage condition: Shipped at 4℃. Store at +4℃ short term (1-2 weeks). It is recommended to aliquot into single-use upon delivery. Store at -20℃ long term.
Storage buffer: 1*TBS (pH7.4), 0.05% BSA, 40% Glycerol. Preservative: 0.05% Sodium Azide.
Concentration: 1ug/ul
Purification: Protein A affinity purified.
Molecular weight: Predicted band size: 131 kDa
Isotype: IgG
Immunogen: Synthetic phospho-peptide corresponding to residues surrounding Tyr1007 and 1008 of human JAK2.
Positive control: HeLa treated with 1mM sodium orthovanadate for 30 minutes cell lysate, human lung carcinoma tissue, human tonsil tissue, human kidney tissue, rat kidney tissue, mouse kidney tissue.
Subcellular location: Nucleus, Endomembrane system, Cytoplasm.
Recommended Dilutions:
  WB
  IF-Cell
  IHC-P
  IP

1:1,000
1:50-1:200
1:200-1:500
Use at an assay dependent concentration.
Uniprot #: SwissProt: O60674 Human | Q62120 Mouse | Q62689 Rat
Alternative names: JAK 2 JAK-2 JAK2 JAK2_HUMAN Janus Activating Kinase 2 Janus kinase 2 (a protein tyrosine kinase) Janus kinase 2 JTK 10 JTK10 kinase Jak2 OTTHUMP00000043260 THCYT3 Tyrosine protein kinase JAK2 Tyrosine-protein kinase JAK2
Images
ET1607-34_1.jpg Fig1: Western blot analysis of Phospho-JAK2 (Y1007 + Y1008) on different lysates with Rabbit anti-Phospho-JAK2 (Y1007 + Y1008) antibody (ET1607-34) at 1/1,000 dilution.

Lane 1: HeLa cell lysate
Lane 2: HeLa treated with 1mM sodium orthovanadate for 30 minutes cell lysate

Lysates/proteins at 20 µg/Lane.

Predicted band size: 131 kDa
Observed band size: 120 kDa

Exposure time: 3 minute; ECL: K1801;

4-20% SDS-PAGE gel.

Proteins were transferred to a PVDF membrane and blocked with 5% NFDM/TBST for 1 hour at room temperature. The primary antibody (ET1607-34) at 1/1,000 dilution was used in 5% NFDM/TBST at 4℃ overnight. Goat Anti-Rabbit IgG - HRP Secondary Antibody (HA1001) at 1/50,000 dilution was used for 1 hour at room temperature.
ET1607-34_2.jpg Fig2: ICC staining of Phospho-JAK2 (Y1007 + Y1008) in Hela cells (green). Formalin fixed cells were permeabilized with 0.1% Triton X-100 in TBS for 10 minutes at room temperature and blocked with 1% Blocker BSA for 15 minutes at room temperature. Cells were probed with the primary antibody (ET1607-34, 1/50) for 1 hour at room temperature, washed with PBS. Alexa Fluor®488 Goat anti-Rabbit IgG was used as the secondary antibody at 1/1,000 dilution. The nuclear counter stain is DAPI (blue).
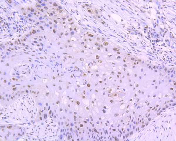
ET1607-34_3.jpg Fig3: Immunohistochemical analysis of paraffin-embedded human lung carcinoma tissue using anti-Phospho-JAK2 (Y1007 + Y1008) antibody. The section was pre-treated using heat mediated antigen retrieval with Tris-EDTA buffer (pH 8.0-8.4) for 20 minutes.The tissues were blocked in 5% BSA for 30 minutes at room temperature, washed with ddH2O and PBS, and then probed with the primary antibody (ET1607-34, 1/200) for 30 minutes at room temperature. The detection was performed using an HRP conjugated compact polymer system. DAB was used as the chromogen. Tissues were counterstained with hematoxylin and mounted with DPX.
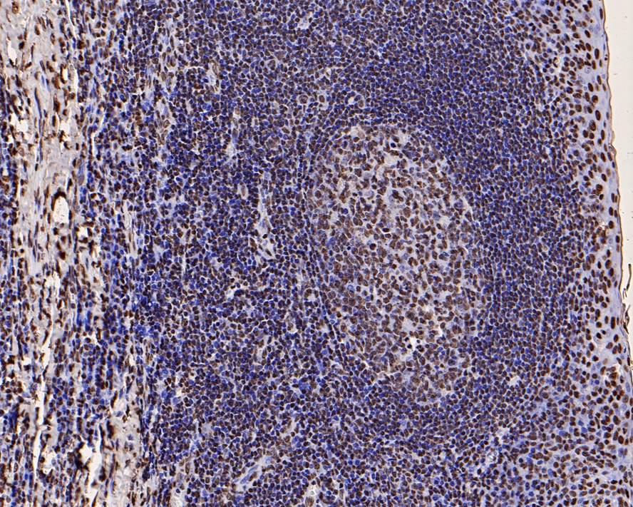
ET1607-34_4.jpg Fig4: Immunohistochemical analysis of paraffin-embedded human tonsil tissue with Rabbit anti-Phospho-JAK2 (Y1007 + Y1008) antibody (ET1607-34) at 1/500 dilution.

The section was pre-treated using heat mediated antigen retrieval with sodium citrate buffer (pH 6.0) for 2 minutes. The tissues were blocked in 1% BSA for 20 minutes at room temperature, washed with ddH2O and PBS, and then probed with the primary antibody (ET1607-34) at 1/500 dilution for 1 hour at room temperature. The detection was performed using an HRP conjugated compact polymer system. DAB was used as the chromogen. Tissues were counterstained with hematoxylin and mounted with DPX.
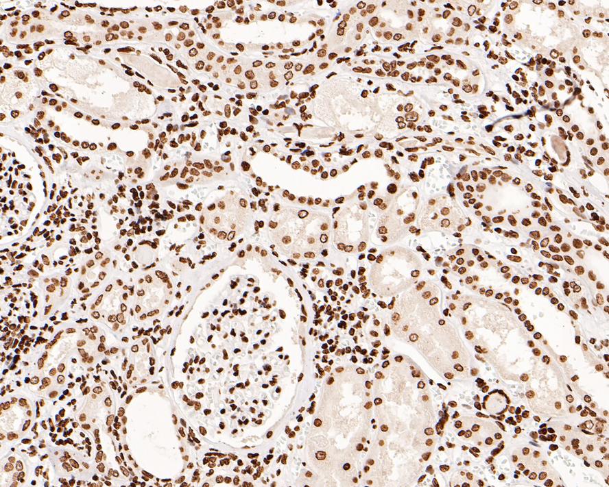
ET1607-34_5.jpg Fig5: Immunohistochemical analysis of paraffin-embedded human kidney tissue with Rabbit anti-Phospho-JAK2 (Y1007 + Y1008) antibody (ET1607-34) at 1/500 dilution.

The section was pre-treated using heat mediated antigen retrieval with sodium citrate buffer (pH 6.0) for 2 minutes. The tissues were blocked in 1% BSA for 20 minutes at room temperature, washed with ddH2O and PBS, and then probed with the primary antibody (ET1607-34) at 1/500 dilution for 1 hour at room temperature. The detection was performed using an HRP conjugated compact polymer system. DAB was used as the chromogen. Tissues were counterstained with hematoxylin and mounted with DPX.
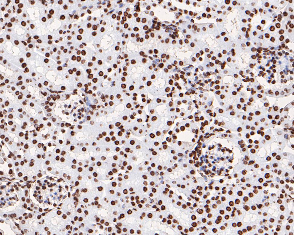
ET1607-34_6.jpg Fig6: Immunohistochemical analysis of paraffin-embedded rat kidney tissue with Rabbit anti-Phospho-JAK2 (Y1007 + Y1008) antibody (ET1607-34) at 1/500 dilution.

The section was pre-treated using heat mediated antigen retrieval with sodium citrate buffer (pH 6.0) for 2 minutes. The tissues were blocked in 1% BSA for 20 minutes at room temperature, washed with ddH2O and PBS, and then probed with the primary antibody (ET1607-34) at 1/500 dilution for 1 hour at room temperature. The detection was performed using an HRP conjugated compact polymer system. DAB was used as the chromogen. Tissues were counterstained with hematoxylin and mounted with DPX.
ET1607-34_7.jpg Fig7: Immunohistochemical analysis of paraffin-embedded mouse kidney tissue using anti-Phospho-JAK2 (Y1007 + Y1008) antibody. The section was pre-treated using heat mediated antigen retrieval with sodium citrate buffer (pH 6.0) for 20 minutes. The tissues were blocked in 5% BSA for 30 minutes at room temperature, washed with ddH2O and PBS, and then probed with the primary antibody (ET1607-34, 1/200) for 30 minutes at room temperature. The detection was performed using an HRP conjugated compact polymer system. DAB was used as the chromogen. Tissues were counterstained with hematoxylin and mounted with DPX.
Note: All products are “FOR RESEARCH USE ONLY AND ARE NOT INTENDED FOR DIAGNOSTIC OR THERAPEUTIC USE”.